相关产品推荐更多 >
万千商家帮你免费找货
0 人在求购买到急需产品
- 详细信息
- 文献和实验
- 技术资料
- 免疫原:
Purified recombinant human PPP1CA protein fragments expressed in E.coli.
- 亚型:
IgG1
- 形态:
Liquid
- 保存条件:
Store as concentrated solution. Centrifuge briefly prior to opening vial. For short-term storage (1-2 weeks), store at 4ºC. For long-term storage, aliquot and store at -20ºC or below. Avoid multiple freeze-thaw cycles.
- 克隆性:
Monoclonal
- 标记物:
Unconjugated
- 适应物种:
Human
- 保质期:
12 months from the shipping date of the product.
- 抗原来源:
Human
- 目录编号:
GTX49238
- 级别:
Primary Antibodies
- 库存:
Available
- 供应商:
GeneTex
- 宿主:
Mouse
- 应用范围:
WB, ICC/IF, IHC-P
- 浓度:
Batch dependent (Please refer to the vial label for the specific concentration.)
- 靶点:
PPP1A
- 抗体英文名:
PPP1A antibody [1C11-C10-H5-E9]
- 抗体名:
PPP1A 抗体 [1C11-C10-H5-E9]
- 规格:
100 μg
WB analysis of A431, Jurkat and HeLa lysates using PPP1A antibody at a dilution of 1:1,000.
ICC/IF analysis of HeLa cells using PPP1A antibody at a dilution of 1:300.
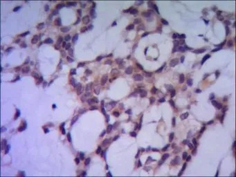
IHC-P analysis of human breast cancer using PPP1A antibody.
风险提示:丁香通仅作为第三方平台,为商家信息发布提供平台空间。用户咨询产品时请注意保护个人信息及财产安全,合理判断,谨慎选购商品,商家和用户对交易行为负责。对于医疗器械类产品,请先查证核实企业经营资质和医疗器械产品注册证情况。
文献和实验Intracellular Immunofluorescent Staining for Flow Cytometry
Guide Mouse Cytokines: Intracellular Staining Quick Guide Mouse Cytokine Cell Source Activation Incubation Time Restimulation Intracellular Block Antibody
技术资料暂无技术资料 索取技术资料





![GAS1 antibody [11C47]](https://img1.dxycdn.com/2023/0711/451/6106825198874858761-14.jpg!wh200)
![SDCCAG8 antibody [N1N3]](https://custom.dxycdn.com/trademd/upload/pic/2011/12/14/1323695851.jpg!small.t.1)


