相关产品推荐更多 >
万千商家帮你免费找货
0 人在求购买到急需产品
- 详细信息
- 文献和实验
- 技术资料
- 免疫原:
Recombinant protein containing residues 300-400 of human PLK1.
- 亚型:
IgG2b
- 形态:
Liquid
- 保存条件:
Store as concentrated solution. Centrifuge briefly prior to opening vial. For short-term storage (1-2 weeks), store at 4ºC. For long-term storage, aliquot and store at -20ºC or below. Avoid multiple freeze-thaw cycles.
- 克隆性:
Monoclonal
- 标记物:
Unconjugated
- 适应物种:
Human, Mouse, Rat
- 保质期:
12 months from the shipping date of the product.
- 抗原来源:
Human
- 目录编号:
GTX15779
- 级别:
Primary Antibodies
- 库存:
Available
- 供应商:
GeneTex
- 宿主:
Mouse
- 应用范围:
WB, ICC/IF, IHC-P, IP, ELISA, IHC
- 浓度:
1 mg/ml (Please refer to the vial label for the specific concentration.)
- 靶点:
PLK1
- 抗体英文名:
PLK1 antibody [13E8]
- 抗体名:
PLK1 抗体 [13E8]
- 规格:
100 μg
ICC/IF analysis of HeLa cells using GTX15779 PLK1 antibody [13E8].
Fixation : 4% PFA
Permeabilization : 0.1% Triton X-100 for 10 minute
Dilution : 3 μg/ml in 0.1% BSA and incubated for overnight at 4ºC
ICC/IF analysis of HeLa cells using GTX15779 PLK1 antibody [13E8]. Cells were probed without (right) or with(left) an antibody.
Green : Primary antibody
Blue : Nuclei
Red : Actin
Fixation : formaldehyde
Dilution : 1:20 overnight at 4ºC
WB analysis of PLK1 knockdown HeLa cells (lane 3), scrambled siRNA transfected cells (lane 2) and untransfected cells (lane 1) using GTX15779 PLK1 antibody [13E8].
Dilution : 1 μg/ml
WB analysis of whole cell extracts (30μg) of HeLa (Lane 1), treated with Nocodazole (500nM for 18 hrs) (Lane2), SW-480 (Lane 3), treated with Nocodazole (500nM for 18 hrs) (Lane 4), COLO 205 (Lane 5), HCT 116 (Lane 6), K-562 (Lane 7), MDA-MB-231 (Lane 8), HepG2 (Lane 9), A549 (Lane 10) using GTX15779 PLK1 antibody [13E8].
Dilution : 1:1000
ICC/IF analysis of U251 cells using GTX15779 PLK1 antibody [13E8]. Cells were probed without (right) or with(left) an antibody.
Green : Primary antibody
Blue : Nuclei
Red : Actin
Fixation : formaldehyde
Dilution : 1:20 overnight at 4ºC
WB analysis of untreated or Nocodazole (100nM, 48 hours) treated U2OS lysate from non-targeting control or PLK1 siRNA transfected U2OS cells using GTX15779 PLK1 antibody [13E8].
Dilution : 1:1000
Loading : 25 μg
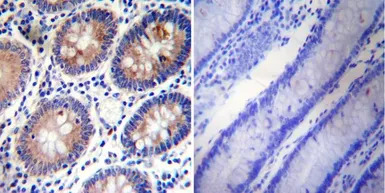
IHC-P analysis of human colon tissue using GTX15779 PLK1 antibody [13E8].
Left : Primary antibody
Right : Negative control without primary antibody
Antigen retrieval : heat induced antigen retrieval was performed using 10mM sodium citrate (pH6.0) buffer, microwaved for 8-15 minutes
Dilution : 1:200
ICC/IF analysis of HeLa cells using GTX15779 PLK1 antibody [13E8].
Progression of cells through subsequent phases of the cell cycle results in differential localization of PLK1 in spindle poles, kinetochores and cleavage furrow.
Green : Primary antibody
Blue : Nuclei
Red : Actin
Fixation : 4% PFA
Permeabilization : 0.1% Triton X-100 for 10 minute
Dilution : 3 μg/ml in 0.1% BSA and incubated for overnight at 4ºC
ICC/IF analysis of WiDr cells using GTX15779 PLK1 antibody [13E8]. Cells were probed without (right) or with(left) an antibody.
Green : Primary antibody
Blue : Nuclei
Red : Actin
Fixation : formaldehyde
Dilution : 1:20 overnight at 4ºC
风险提示:丁香通仅作为第三方平台,为商家信息发布提供平台空间。用户咨询产品时请注意保护个人信息及财产安全,合理判断,谨慎选购商品,商家和用户对交易行为负责。对于医疗器械类产品,请先查证核实企业经营资质和医疗器械产品注册证情况。
文献和实验上海西唐生物科技有限公司 021-55229872, 65333639 www.westang.com 人sCD13 (sCD13)ELISA 试剂盒 ( 用于血清、血浆、细胞培养上清液和其它生物体液内 ) 原理 本实验采用双抗体夹心 ABC-ELISA 法。用抗人 sCD13 单抗包被于酶标板上,标准品和样品中的 sCD13与单抗结合,加入生物素化的抗人 sCD13 ,形成
大鼠Caspase-13(Caspase-13)ELISA试剂盒 说明书
上海西唐生物科技有限公司 021-55229872, 65333639 www.westang.com 大鼠 Caspase-13(Caspase-13)ELISA 试剂盒 ( 用于血清、血浆、细胞培养上清液和其它生物体液内 ) 原理 本实验采用双抗体夹心 ABC-ELISA 法。用抗大鼠 Caspase-13 单抗包被于酶标板上,标准品和样品中的 Caspase-13 与单抗结合,加入生物素化的抗大
Buffer and save the flowthrough.(12) Wash with 6 ml Buffer A, 6 ml Buffer B, and 6 ml Buffer A. Hold at room temperature for 30 minutes.(13) Wash with 6 ml Buffer B, 6 ml Buffer A, and 6 ml Buffer B. Wash with Storage Buffer and hold at 4°C.(14) To purify
技术资料暂无技术资料 索取技术资料






![IL6 antibody [32C11]](https://img1.dxycdn.com/2023/0711/451/6106825198874858761-14.jpg!wh200)



