相关产品推荐更多 >
万千商家帮你免费找货
0 人在求购买到急需产品
- 详细信息
- 文献和实验
- 技术资料
- 免疫原:
Purified human serum LDL
- 亚型:
IgG2b
- 形态:
Liquid
- 保存条件:
Store as concentrated solution. Centrifuge briefly prior to opening vial. For short-term storage (1-2 weeks), store at 4ºC. For long-term storage, aliquot and store at -20ºC or below. Avoid multiple freeze-thaw cycles.
- 克隆性:
Monoclonal
- 标记物:
Unconjugated
- 适应物种:
Human
- 保质期:
12 months from the shipping date of the product.
- 抗原来源:
Human
- 目录编号:
GTX15665
- 级别:
Primary Antibodies
- 库存:
Available
- 供应商:
GeneTex
- 宿主:
Mouse
- 应用范围:
IHC-P, IP, ELISA, RIA
- 浓度:
1 mg/ml (Please refer to the vial label for the specific concentration.)
- 靶点:
Apolipoprotein B
- 抗体英文名:
Apolipoprotein B antibody [F2C3]
- 抗体名:
Apolipoprotein B 抗体 [F2C3]
- 规格:
100 μg
IHC-P analysis of human small intestine tissue using GTX15665 Apolipoprotein B antibody [F2C3].
Right : Primary antibody
Left : Negative control without primary antibody
Antigen retrieval : 10mM sodium citrate (pH 6.0), microwaved for 8-15 min
Dilution : 1:20
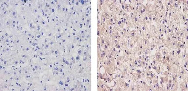
IHC-P analysis of human liver tissue using GTX15665 Apolipoprotein B antibody [F2C3].
Right : Primary antibody
Left : Negative control without primary antibody
Antigen retrieval : 10mM sodium citrate (pH 6.0), microwaved for 8-15 min
Dilution : 1:20
风险提示:丁香通仅作为第三方平台,为商家信息发布提供平台空间。用户咨询产品时请注意保护个人信息及财产安全,合理判断,谨慎选购商品,商家和用户对交易行为负责。对于医疗器械类产品,请先查证核实企业经营资质和医疗器械产品注册证情况。
文献和实验Purification of Rat Hepatic Lipase Essentially Free of Apolipoprotein E and Apolipoprotein B
Hepatic lipase (HL) is necessary for efficient clearance of triglyceride-rich lipoproteins from plasma (1 ). In humans, HL deficiency leads to the accumulation of triglyceride-rich intermediate density lipoproteins (IDL), LDL, and large HDL
人的载脂蛋白有两种表达形式: apoB-48和apoB-100。该基因的序列在肝、肠组织细胞中是相同的,但产物不同。在肝细胞中,产物为4563个氨基酸残基的肽:apoB-100; 但在肠细胞中,产物为只含2152个氨基酸残基的apoB-48, 缺失了apoB-100的N端同LDL受体结合的结构域。原因是在mRNA水平上将2153位的谷氨酰胺的密码子CAA中的C编辑成为U,形成一个终止密码子UAA,结果使蛋白质的合成提前终止,合成一个新的相对分子质量约为250kDa的蛋白
Production of Bispecif ic and Trispecific F(ab)2 and F(ab)3 Antibody Derivatives
Bispecific antibodies (BsAbs) are hybrid molecules designed to combine two antibodies with different specificities. This dual specificity has led to their application in a variety of diagnostic situations that require the crosslinking
技术资料暂无技术资料 索取技术资料





![KPNA4 antibody [C3], C-term](https://img1.dxycdn.com/2023/0711/255/2344116916935858761-14.jpg!wh200)


![TROVE2 antibody [N2C3]](https://img1.dxycdn.com/2023/0516/895/8887749495766728561-14.jpg!wh200)
![PRG2 antibody [1.B.787]](https://custom.dxycdn.com/trademd/upload/pic/2011/12/14/1323695840.jpg!small.t.1)

