相关产品推荐更多 >
万千商家帮你免费找货
0 人在求购买到急需产品
- 详细信息
- 文献和实验
- 技术资料
- 免疫原:
Purified human plasma Apo A-1
- 亚型:
IgG2a
- 形态:
Liquid
- 保存条件:
Store as concentrated solution. Centrifuge briefly prior to opening vial. For short-term storage (1-2 weeks), store at 4ºC. For long-term storage, aliquot and store at -20ºC or below. Avoid multiple freeze-thaw cycles.
- 克隆性:
Monoclonal
- 标记物:
Unconjugated
- 适应物种:
Human
- 保质期:
12 months from the shipping date of the product.
- 抗原来源:
Human
- 目录编号:
GTX15660
- 级别:
Primary Antibodies
- 库存:
Available
- 供应商:
GeneTex
- 宿主:
Mouse
- 应用范围:
WB, IHC-P, IP, ELISA, RIA
- 浓度:
1 mg/ml (Please refer to the vial label for the specific concentration.)
- 靶点:
MA5-14667 may not be as successful for detecting endogenous Apo A-1 by Western blot.
- 抗体英文名:
Apolipoprotein A1 antibody [6001]
- 抗体名:
Apolipoprotein A1 抗体 [6001]
- 规格:
100 μg
WB analysis of the indicated amounts of a recombinant human Apo A-1-hIgG1Fc fusion protein or a recombinant mouse Apo A-1-hIgG1Fc fusion protein using GTX15660 Apolipoprotein A1 antibody [6001].
Dilution : 1:1000
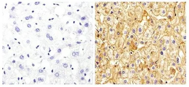
IHC-P analysis of human liver tissue sections using GTX15660 Apolipoprotein A1 antibody [6001].
Right : Primary antibody
Left : Negative control without primary antibody
Antigen retrieval : microwaved for 10 minutes in 10mM sodium citrate, pH 6.0
Dilution : 1:100
Sandwich ELISA analysis of recombinant human Apo A-1 or recombinant mouse Apo A-1 protein ranging from 1.6-1000ng/ml using GTX15660 Apolipoprotein A1 antibody [6001] (detection antibody) and Apo A-1 rabbit oligoclonal antibody (capture antibody).
Sandwich ELISA analysis of recombinant human Apo A-1 standards ranging from 1.6-1000ng/ml (A) or 100ul of diluted normal human serum or diluted serum from a patient with dyslipidemia (B) using GTX15660 Apolipoprotein A1 antibody [6001] (detection antibody) and Apo A-1 rabbit oligoclonal antibody (capture antibody).
风险提示:丁香通仅作为第三方平台,为商家信息发布提供平台空间。用户咨询产品时请注意保护个人信息及财产安全,合理判断,谨慎选购商品,商家和用户对交易行为负责。对于医疗器械类产品,请先查证核实企业经营资质和医疗器械产品注册证情况。
文献和实验人a1-抗胰蛋白酶(a1-Antitrypsin)ELISA试剂盒 说明书
ml 标准品( Standards ): 200ug/ 瓶 2 瓶 底物工作液( TMB Solution ) 12ml 第一抗体工作液( Biotinylated Antibody ) 12ml 终止
大鼠a1-酸性糖蛋白(a1-AGP)ELISA试剂盒 说明书
品( Standards ): 5000ug/ 瓶 2 瓶 底物工作液( TMB Solution ) 12ml 第一抗体工作液( Biotinylated Antibody ) 12ml 终止液 ( Stop Solution
人整合素a1b1(Integrin a1b1)ELISA试剂盒 说明书
第一抗体工作液( Biotinylated Antibody ) 12ml 终止液 (Stop Solution ) 12ml 准备试剂与收集血样 1. 收集标本:血清、血浆(EDTA )、细胞培养上清液、组织匀浆等尽早检测, 2-8 ℃ 保存48 小时;更长时间须
技术资料暂无技术资料 索取技术资料





![LUZP1 antibody [N1], N-term](https://img1.dxycdn.com/2023/0516/050/2572066211091928561-14.jpg!wh200)
![IGFBP3 antibody [N3C2], Internal](https://custom.dxycdn.com/trademd/upload/pic/2011/12/20/1324015994.jpg!small.t.1)

