相关产品推荐更多 >
万千商家帮你免费找货
0 人在求购买到急需产品
- 详细信息
- 文献和实验
- 技术资料
- 免疫原:
Synthetic peptide corresponding to residues A(884) P Y Q G P D A V P G A L D(897) of human alpha Actinin 4.
- 亚型:
IgG
- 形态:
Liquid
- 保存条件:
Store as concentrated solution. Centrifuge briefly prior to opening vial. For short-term storage (1-2 weeks), store at 4ºC. For long-term storage, aliquot and store at -20ºC or below. Avoid multiple freeze-thaw cycles.
- 克隆性:
Monoclonal
- 标记物:
Unconjugated
- 适应物种:
Human, Mouse
- 保质期:
12 months from the shipping date of the product.
- 抗原来源:
Human
- 目录编号:
GTX15648
- 级别:
Primary Antibodies
- 库存:
Available
- 供应商:
GeneTex
- 宿主:
Mouse
- 应用范围:
WB, ICC/IF, IHC-P, FACS, ELISA
- 浓度:
1 mg/ml (Please refer to the vial label for the specific concentration.)
- 靶点:
alpha Actinin 4
- 抗体英文名:
alpha Actinin 4 antibody [7H6]
- 抗体名:
alpha Actinin 4 抗体 [7H6]
- 规格:
100 μg
IHC-P analysis of human tonsil tissue using GTX15648 alpha Actinin 4 antibody [7H6].
Left : Primary antibody
Right : Negative control without primary antibody
Antigen retrieval : heat induced antigen retrieval was performed using 10mM sodium citrate (pH6.0) buffer, microwaved for 8-15 minutes
Dilution : 1:200
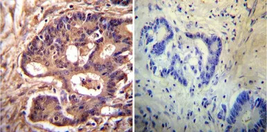
IHC-P analysis of human colon carcinoma tissue using GTX15648 alpha Actinin 4 antibody [7H6].
Left : Primary antibody
Right : Negative control without primary antibody
Antigen retrieval : heat induced antigen retrieval was performed using 10mM sodium citrate (pH6.0) buffer, microwaved for 8-15 minutes
Dilution : 1:200
WB analysis of samples using GTX15648 alpha Actinin 4 antibody [7H6].
IHC-P analysis of human kidney tissue using GTX15648 alpha Actinin 4 antibody [7H6].
Left : Primary antibody
Right : Negative control without primary antibody
Antigen retrieval : heat induced antigen retrieval was performed using 10mM sodium citrate (pH6.0) buffer, microwaved for 8-15 minutes
Dilution : 1:200
风险提示:丁香通仅作为第三方平台,为商家信息发布提供平台空间。用户咨询产品时请注意保护个人信息及财产安全,合理判断,谨慎选购商品,商家和用户对交易行为负责。对于医疗器械类产品,请先查证核实企业经营资质和医疗器械产品注册证情况。
文献和实验Durcin M et al., JEV 2017 (Epub)
Lin YH et al., Biomedicines 2020 (PMID:33228246)
Durcin M et al., J Extracell Vesicles 2017 (PMID:28473884)
[资源] 所有的看家基因(housekeeping genes)列表+引物设计服务
sapiens folate receptor 1 (adult) (FOLR1), transcript variant 2, mRNA 514 NM_004924 Homo sapiens actinin, alpha 4 (ACTN4), mRNA 1187 NM_002931 Homo sapiens ring finger protein 1 (RING1), mRNA 576 NM_000020 Homo sapiens activin A receptor type II
技术资料暂无技术资料 索取技术资料






![Integrin beta 1 / CD29 antibody [MEM-101A]](https://img1.dxycdn.com/2023/0711/451/6106825198874858761-14.jpg!wh200)


