相关产品推荐更多 >
万千商家帮你免费找货
0 人在求购买到急需产品
- 详细信息
- 文献和实验
- 技术资料
- 免疫原:
Carrier-protein conjugated synthetic peptide encompassing a sequence within the C-terminus region of Enterovirus 71 3AB (EV71 virus (strain USA/BrCr/1970)). The exact sequence is proprietary.
- 亚型:
IgG
- 形态:
Liquid
- 保存条件:
Store as concentrated solution. Centrifuge briefly prior to opening vial. For short-term storage (1-2 weeks), store at 4ºC. For long-term storage, aliquot and store at -20ºC or below. Avoid multiple freeze-thaw cycles.
- 克隆性:
Polyclonal
- 标记物:
Unconjugated
- 适应物种:
Enterovirus 71
- 保质期:
12 months from the shipping date of the product.
- 抗原来源:
Enterovirus 71
- 目录编号:
GTX132344
- 级别:
Primary Antibodies
- 库存:
Available
- 供应商:
GeneTex
- 宿主:
Rabbit
- 应用范围:
WB, IHC-P
- 浓度:
1 mg/ml (Please refer to the vial label for the specific concentration.)
- 靶点:
Enterovirus 71 3AB
- 抗体英文名:
Enterovirus 71 3AB antibody
- 抗体名:
Enterovirus 71 3AB 抗体
- 规格:
100 μl/25 μl
| 规格: | 100 μl | 产品价格: | ¥4000.0 |
|---|---|---|---|
| 规格: | 25 μl | 产品价格: | ¥1700.0 |
Non-infected (–) and infected RD whole cell extracts (30 μg) were separated by 15% SDS-PAGE, and the membrane was blotted with Enterovirus 71 3AB antibody (GTX132344) diluted at 1:5000.
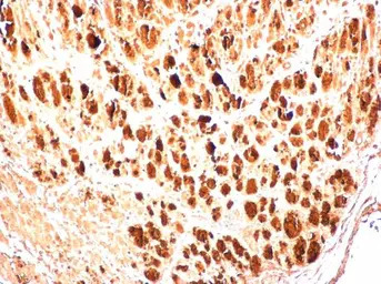
EV71 3AB antibody detects EV71 3AB protein in EV71 infected mouse skeletal muscle by immunohistochemical analysis. Sample: Paraffin-embedded EV71 infected mouse skeletal muscle. EV71 3AB antibody [GTX132344] diluted at 1:500
Antigen Retrieval: Citrate buffer
风险提示:丁香通仅作为第三方平台,为商家信息发布提供平台空间。用户咨询产品时请注意保护个人信息及财产安全,合理判断,谨慎选购商品,商家和用户对交易行为负责。对于医疗器械类产品,请先查证核实企业经营资质和医疗器械产品注册证情况。
文献和实验Fu Y et al., PLoS Pathog 2023 (PMID:36634130)
Zhao X et al., J Virol 2022 (PMID:35170979)
Yu J et al., Virulence 2022 (PMID:35067196)
Yen MH et al., Kaohsiung J Med Sci. 2017 (Epub)
Production of Bispecif ic and Trispecific F(ab)2 and F(ab)3 Antibody Derivatives
Bispecific antibodies (BsAbs) are hybrid molecules designed to combine two antibodies with different specificities. This dual specificity has led to their application in a variety of diagnostic situations that require the crosslinking
dongreyuan 有的抗体名称上面写着Ab-33,比如,β-catenin(Ab-33)antibody,请问,Ab-33是什么意思? bettyzyj 这个抗体是非磷酸化的抗体non-phospho-antibody ,33 代表的是基因位点 dongreyuan 谢谢了 yhwangcams bettyzyj wrote
sample to 1 mg/ml (or less). Prepare 1 mg/ml solution of NHS-Biotin in DMSO. Add NHS-Biotin in DMSO to antibody at desired ratio e.g. for 1:8 ratio add 125 ml of NHS-Biotin to 1mg of Ab Incubate on rotator for 4 hours at room
技术资料暂无技术资料 索取技术资料









