相关产品推荐更多 >
万千商家帮你免费找货
0 人在求购买到急需产品
- 详细信息
- 文献和实验
- 技术资料
- 免疫原:
Recombinant protein encompassing a sequence within the center region of human ERAB. The exact sequence is proprietary.
- 亚型:
IgG
- 形态:
Liquid
- 保存条件:
Store as concentrated solution. Centrifuge briefly prior to opening vial. For short-term storage (1-2 weeks), store at 4ºC. For long-term storage, aliquot and store at -20ºC or below. Avoid multiple freeze-thaw cycles.
- 克隆性:
Polyclonal
- 标记物:
Unconjugated
- 适应物种:
Human
- 保质期:
12 months from the shipping date of the product.
- 抗原来源:
Human
- 目录编号:
GTX113454
- 级别:
Primary Antibodies
- 库存:
Available
- 供应商:
GeneTex
- 宿主:
Rabbit
- 应用范围:
WB, IHC-P
- 浓度:
1 mg/ml (Please refer to the vial label for the specific concentration.)
- 靶点:
ERAB
- 抗体英文名:
ERAB antibody [N1C3]
- 抗体名:
ERAB 抗体 [N1C3]
- 规格:
100 μl/25 μl
| 规格: | 100 μl | 产品价格: | ¥4000.0 |
|---|---|---|---|
| 规格: | 25 μl | 产品价格: | ¥1700.0 |
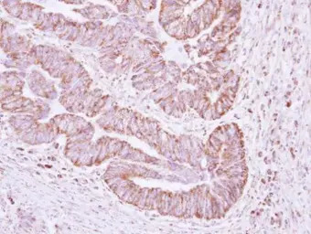
Immunohistochemical analysis of paraffin-embedded human colon carcinoma, using ERAB(GTX113454) antibody at 1:250 dilution.
Antigen Retrieval: Trilogy™ (EDTA based, pH 8.0) buffer, 15min
Sample (30 ug of whole cell lysate)
A: HeLa
B: HepG2
12% SDS PAGE
GTX113454 diluted at 1:1000
风险提示:丁香通仅作为第三方平台,为商家信息发布提供平台空间。用户咨询产品时请注意保护个人信息及财产安全,合理判断,谨慎选购商品,商家和用户对交易行为负责。对于医疗器械类产品,请先查证核实企业经营资质和医疗器械产品注册证情况。
文献和实验In the field of therapeutic recombinant proteins, monoclonal antibodies (mAbs) have achieved a rising success with more than 30 mAbs that have reached the market in the past 20 years. From a structural standpoint, one of the most important
Materials 0.1M NaHC03 pH9 DMSO NHS-Biotin (N-Hydroxysuccinimidobiotin, Sigma #H-1759) PBS Procedure Dialyze the sample against carbonate buffer. After dialysis, adjust
Monoclonal Antibody Production Protocol
the rinse twice. Add 100 ul of blocking solution to every well, leave 1 hr at room Temp or O.N at 4°C. PRIMARY ANTIBODY Add the antibody to be tested: Sup of cells = 25 ul, mix well by pipetting up and down (10 times).serum, ascites = 1:100 and a series
技术资料暂无技术资料 索取技术资料





![Cytokeratin 18 antibody [Cocktail]](https://img1.dxycdn.com/2023/0711/451/6106825198874858761-14.jpg!wh200)



