
海狸His-tag蛋白纯化磁珠
万千商家帮你免费找货
0 人在求购买到急需产品
- 详细信息
- 用户评价
- 文献和实验
- 技术资料
- 保质期:
2年
- 英文名:
BeaverBeads™ His-tag Protein Purification
- 库存:
100
- 供应商:
海狸生物医学
- 保存条件:
2—8℃
产品规格:70501-trial
产品数量:20
是否包邮:包邮
发货要求:
申请者有真正的使用需求,并提供试用反馈报告
填写完整的收货信息
产品介绍
BeaverBeadsTM His-tag Protein Purification磁珠(组氨酸标签蛋白纯化琼脂糖磁珠)是专为高效、快速纯化组氨酸标签蛋白而设计的一种新型功能化材料,可通过磁性分离方式直接从生物样品中一步纯化出高纯度的目标蛋白,显著地简化了纯化工艺,降低了设备需求,适合科研和工业领域便捷快速地进行组氨酸标签蛋白的纯化工作。
| 产品名称 | 编号 | 规格 | 包装 | 单价 | |
|---|---|---|---|---|---|
| BeaverBeads™ IDA-Nickel | 70501-5 | 10%(v/v) | 5mL | ¥1000.00 | |
| BeaverBeads™ IDA-Nickel | 70501-100 | 10%(v/v) | 2x50mL | ¥8000.00 | |
| BeaverBeads™ IDA-Nickel | 70501-1000 | 10%(v/v) | 4x250mL | ¥50000.00 | |
| BeaverBeads™ IDA-Cobalt | 70502-5 | 10%(v/v) | 5mL | ¥1000.00 | |
| BeaverBeads™ IDA-Cobalt | 70502-100 | 10%(v/v) | 2x50mL | ¥8000.00 | |
| BeaverBeads™ IDA-Cobalt | 70502-1000 | 10%(v/v) | 4x250mL | ¥50000.00 |
产品信息
1.可从粗样品直接纯化目标蛋白,极大的缩短纯化时间
2. 可轻松实现对目标蛋白浓度和体积的控制
-
通过调节洗脱缓冲液体积的方式,实现对目标蛋白浓度和体积的控制,无蛋白损失,且不存在蛋白变性、沉淀的风险。
3. 一步纯化即可获得高纯度目标蛋白
|
|
海狸磁珠与市场上进口产品相比,一步纯化即得到同水平高纯度的目标蛋白。一个完整的操作流程即可获得纯度可以达到95%以上的目标蛋白。 |
4.平行操作稳定性高,可方便实现高通量和大规模蛋白纯化
-
目的蛋白纯度和产量的标准差均<5%。
-
完全不存在流速和样品体积的限制,适用于高通量和大规模蛋白纯化。
5.可以获得较高的目标蛋白产率
-
利用海狸磁珠对粗样品进行纯化,一步完整的纯化流程之后,90%以上纯度的目标蛋白,其产率一般达到70~80%。
6.可重复使用,再生工艺简单
-
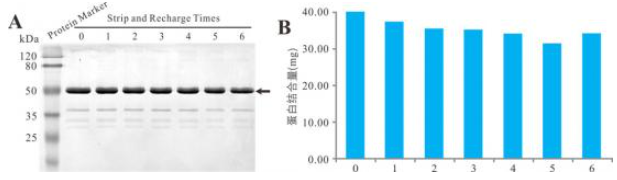
由图A、B可知,海狸磁珠反复进行多达六次再生处理,仍能保持较好的目标蛋白结合能力和纯度。
图A. 再生6次后磁珠结合目标蛋白检测图谱 图B. 再生6次后磁珠的蛋白结合量数据图
7. 镍螯合磁珠与钴螯合磁珠对不同分子量的His-tag蛋白纯化对比
-
Co离子螯合磁珠蛋白结合量比Ni离子螯合磁珠稍低,但纯度更高;
-
Co离子螯合磁珠洗涤和洗脱所用咪唑浓度都比Ni离子螯合磁珠低。


风险提示:丁香通仅作为第三方平台,为商家信息发布提供平台空间。用户咨询产品时请注意保护个人信息及财产安全,合理判断,谨慎选购商品,商家和用户对交易行为负责。对于医疗器械类产品,请先查证核实企业经营资质和医疗器械产品注册证情况。
用户评价
暂无用户评价
文献和实验引用文献:
-
Overexpression of a cysteine proteinase inhibitor gene from Jatropha curcas confers enhanced tolerance to salinity stress;ELECTRONIC JOURNAL OF BIOTECHNOLOGY 卷: 18 期: 5 页: 368-375 出版年: SEP 2015
-
Production and Stabilization of an Integrin Binding Moiety of Complement Component 3;MOLECULAR BIOLOGY 卷: 49 期: 5 页: 723-727 出版年: SEP 2015
-
The role of semaphorin 4D as a potential biomarker for antiangiogenic therapy in colorectal cancer;ONCOTARGETS AND THERAPY 卷: 9 页: 1189-1204 出版年: 2016
-
血红铆钉菇免疫调节蛋白基因克隆及其生物信息学分析和重组表达;沈阳农业大学学报
-
Innovation Spaces in Asia: Entrepreneurs, Multinational Enterprises and Policy;
-
登革病毒四型联合重组包膜蛋白III 区的表达和免疫原性鉴定*;中国生物工程杂志
-
Quantitative Proteomic Analysis of Escherichia coli Heat-Labile Toxin B Subunit (LTB) with Enterovirus 71 (EV71) Subunit VP1;INTERNATIONAL JOURNAL OF MOLECULAR SCIENCES 卷: 17 期: 9 文献号: 1419 出版年: SEP 2016
-
人C-Src 蛋白酪氨酸激酶真核表达, 纯化及活性检测;生物技术通报
-
人酪氨酸蛋白激酶Lyn的真核表达、纯化及鉴定;生物技术
-
一个麻风树Kunitz型蛋白酶抑制剂基因的克隆和鉴定;四川大学学报(自然科学版)
-
锌离子依赖金属蛋白酶1(Zmp1)抑制小鼠RAW264.7细胞增殖以及吞噬体-溶酶体的融合;细胞与分子免疫学杂志
-
A Novel Assay for Screening Inhibitors Targeting HIV Integrase LEDGF/p75 Interaction Based on Ni2+ Coated Magnetic Agarose Beads;SCIENTIFIC REPORTS 卷: 6 文献号: 33477 出版年: SEP 16 2016
-
Eukaryotic expression,protein purification and identification of human tyrosine-protein kinase Lyn;
-
The role of semaphorin 4D as a potential biomarker for antiangiogenic therapy in colorectal cancer;ONCOTARGETS AND THERAPY 卷: 9 页: 1189-1204 出版年: 2016
-
Design, Recombinant Fusion Expression and Biological Evaluation of Vasoactive Intestinal Peptide Analogue as Novel Antimicrobial Agent;Molecules 2017, 22, 1963; DOI:10.3390/molecules22111963
-
The thermoduric effects of site-directed mutagenesis of proline and lysine on dextransucrase from Leuconostoc mesenteroides 0326;International Journal of Biological Macromolecules,DOI:10.1016/j.ijbiomac.2017.10.023
-
GR1-like gene expression in Lycium chinense was regulated by cadmium-induced endogenous jasmonic acids accumulation;Plant Cell Rep (2017) 36:1457–1476, DOI:10.1007/s00299-017-2168-2
-
Development of a peptide ELISA to discriminate vaccine-induced immunity from natural infection of hepatitis A virus in a phase IV study;Eur J Clin Microbiol Infect Dis (2017) 36:2165–2170, DOI:10.1007/s10096-017-3040-6
爱必信蛋白纯化磁珠的实验操作视频
罗氏蛋白亲和纯化树脂:cOmplete His-Tag Purificatio
cOmplete His-Tag Purification Resin 灵活纯化蛋白、保证效能 选择靶蛋白适宜的缓冲条件 cOmplete His-Tag Purification Resin是一种新型的高效能IMAC基质,用于裂解液中His标签蛋白的一步法纯化,操作方便。采用罗氏特殊的镍螯合化学
材料 琼脂糖凝胶介质镍亲和柱 紫外检测仪 蛋白电泳装置及夹子、玻璃板、灌胶支架、缓冲液槽等附件 5 ml 注射器 0.45 μm 滤器 超声破碎仪 试剂 1. 结合缓冲液:20 mM Tris-HCl,150 mM NaCl,10 mM 咪唑,pH=8.0 2. 洗脱缓冲液:20 mM Tris-HCl,150 mM NaCl,不同梯度浓度的咪唑,pH=8.0 3. 20%乙醇 4. 三蒸水 5. 透析液:20 mM Tris












