相关产品推荐更多 >
万千商家帮你免费找货
0 人在求购买到急需产品
- 详细信息
- 文献和实验
- 技术资料
- 抗体名:
Defensin alpha 5 Rabbit Polyclonal Antibody抗体
- 抗体英文名:
Defensin alpha 5 Rabbit Polyclonal Antibody
- 靶点:
DEFA5
- 浓度:
1mg/ml
- 应用范围:
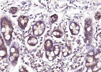
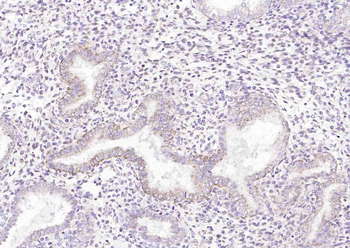
IF, IHC-Fr, IHC-P
- 宿主:
Rabbit
- 适应物种:
Human
- 保质期:
6-12个月
- 抗原来源:
详询
- 目录编号:
orb156565
- 级别:
科研级
- 库存:
88
- 供应商:
biorbyt
- 标记物:
Unconjugated
- 克隆性:
Polyclonal
- 形态:
Liquid
- 亚型:
IgG
- 免疫原:
KLH conjugated synthetic peptide derived from human Defensin alpha 5 (31-94/94aa)
- 规格:
50 ul
别名:alpha 5; alpha 5 Defensin; DEF5; DEF5_HUMAN; Defa; Defa29; DEFA5; Defcr29; Defcr5; Defensin 5; Defensin alpha 5; Defensin alpha 5 Paneth cell specific; Defensin alpha 5 preproprotein; Defensin; Enteric defensin; HD 5; HD5; HD5(20-94); HD5(63-94); MGC129728; RD 5.
免疫原:KLH conjugated synthetic peptide derived from human Defensin alpha 5 (31-94/94aa)
分子量:7.8 kDa
应用稀释比例:IHC-P=1:100-500, IHC-F=1:100-500, IF=1:100-500
防腐剂:0.01M TBS (pH7.4) with 1% rAlbumin, 0.02% Proclin300 and 50% Glycerol.
纯化:Affinity purified by Protein A
保存说明:Maintain refrigerated at 2-8°C for up to 2 weeks. For long term storage store at -20°C in small aliquots to prevent freeze-thaw cycles.
UniProt ID:Q01523
Note:For research use only.


风险提示:丁香通仅作为第三方平台,为商家信息发布提供平台空间。用户咨询产品时请注意保护个人信息及财产安全,合理判断,谨慎选购商品,商家和用户对交易行为负责。对于医疗器械类产品,请先查证核实企业经营资质和医疗器械产品注册证情况。
文献和实验一篇文献中的ELISA方法如下:Control peptides (14–17 amino acid sequence near the N-terminal or C-terminal of the studied protein) and the reactive rabbit anti-defensin antibodies (affinity pure) were obtained from Alpha Diagnostics .CoStar flat-bottom high
that was an interspecific hybrid (H) between Mus musculus domesticus (D, paternal genome) and Mus spretus (S, maternal genome). The native chromatin was then immunoprecipitated with rabbit polyclonal antisera to acetylation at lysine 9 of H3 (H3K9Ac) and to dimethylation
Antigen Design Sera Purification Tech Sheet
for antibody generation. Algorithms for predicting protein characteristics such as hydrophilicity/hydrophobicity and secondary structure regions such as alpha-helix, beta-sheet and beta-turn aid selection of a potentially exposed, immunogenic internal
技术资料暂无技术资料 索取技术资料











