相关产品推荐更多 >
万千商家帮你免费找货
0 人在求购买到急需产品
- 详细信息
- 文献和实验
- 技术资料
- 抗体名:
C-fos Rabbit Polyclonal Antibody抗体
- 抗体英文名:
C-fos Rabbit Polyclonal Antibody
- 靶点:
FOS
- 浓度:
1mg/ml
- 应用范围:
IF, IHC-Fr, IHC-P
- 宿主:
Rabbit
- 适应物种:
Mouse, Rat
- 保质期:
6-12个月
- 抗原来源:
详询
- 目录编号:
orb156348
- 级别:
科研级
- 库存:
88
- 供应商:
biorbyt
- 标记物:
Unconjugated
- 克隆性:
Polyclonal
- 形态:
Liquid
- 亚型:
IgG
- 免疫原:
KLH conjugated synthetic peptide derived from human c-fos (145-260/380aa)
- 规格:
50 ul
产品描述:C-fos Rabbit Polyclonal Antibody
别名:Cellular oncogene fos; FBJ murine osteosarcoma viral v fos oncogene homolog antibody FBJ Osteosarcoma Virus; FOS; FOS protein; G0 G1 switch regulatory protein 7; G0S7; Oncogene FOS; Proto oncogene protein c fos; v fos FBJ murine osteosarcoma viral oncogene homolog; AP-1; p55; FOS_HUMAN; Proto-oncogene c-Fos; G0/G1 switch regulatory protein 7.
免疫原:KLH conjugated synthetic peptide derived from human c-fos (145-260/380aa)
预测反应性:Bovine, Canine, Equine, Human, Porcine, Rabbit
分子量:41 kDa
应用稀释比例:IHC-P=1:100-500, IHC-F=1:100-500, IF=1:100-500
防腐剂:0.01M TBS (pH7.4) with 1% rAlbumin, 0.02% Proclin300 and 50% Glycerol.
纯化:Affinity purified by Protein A
保存说明:Maintain refrigerated at 2-8°C for up to 2 weeks. For long term storage store at -20°C in small aliquots to prevent freeze-thaw cycles.
Pubmed:39412689, 29192229
UniProt ID:P01100
Note:For research use only.





别名:Cellular oncogene fos; FBJ murine osteosarcoma viral v fos oncogene homolog antibody FBJ Osteosarcoma Virus; FOS; FOS protein; G0 G1 switch regulatory protein 7; G0S7; Oncogene FOS; Proto oncogene protein c fos; v fos FBJ murine osteosarcoma viral oncogene homolog; AP-1; p55; FOS_HUMAN; Proto-oncogene c-Fos; G0/G1 switch regulatory protein 7.
免疫原:KLH conjugated synthetic peptide derived from human c-fos (145-260/380aa)
预测反应性:Bovine, Canine, Equine, Human, Porcine, Rabbit
分子量:41 kDa
应用稀释比例:IHC-P=1:100-500, IHC-F=1:100-500, IF=1:100-500
防腐剂:0.01M TBS (pH7.4) with 1% rAlbumin, 0.02% Proclin300 and 50% Glycerol.
纯化:Affinity purified by Protein A
保存说明:Maintain refrigerated at 2-8°C for up to 2 weeks. For long term storage store at -20°C in small aliquots to prevent freeze-thaw cycles.
Pubmed:39412689, 29192229
UniProt ID:P01100
Note:For research use only.

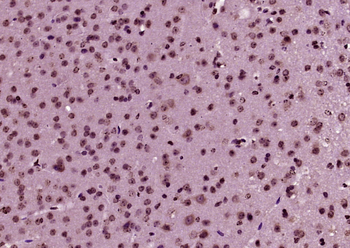
paraffin embedded (Mouse brain), Antigen retrieval by boiling in sodium citrate buffer (pH6.0) for 15 min, Block endogenous peroxidase by 3% hydrogen peroxide for 20 minutes, Blocking buffer (normal goat serum) at 37°C for 30 min, Antibody incubation with (c-fos) Polyclonal Antibody, Unconjugated (orb156348) at 1:400 overnight at 4°C, followed by operating according to SP Kit (Rabbit) instructionsand DAB staining.

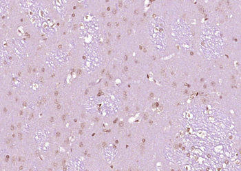
Fixative-fixed, paraffin embedded (Rat brain), Antigen retrieval by boiling in sodium citrate buffer (pH6.0) for 15 min, Block endogenous peroxidase by 3% hydrogen peroxide for 20 minutes, Blocking buffer (normal goat serum) at 37°C for 30 min, Antibody incubation with (c-fos) Polyclonal Antibody, Unconjugated (orb156348) at 1:400 overnight at 4°C, followed by operating according to SP Kit (Rabbit) instructionsand DAB staining.

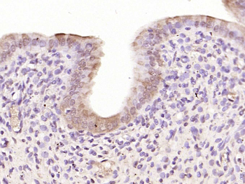
Fixative-fixed, paraffin embedded (rat uterus), Antigen retrieval by boiling in sodium citrate buffer (pH6.0) for 15 min, Block endogenous peroxidase by 3% hydrogen peroxide for 20 minutes, Blocking buffer (normal goat serum) at 37°C for 30 min, Antibody incubation with (c-fos) Polyclonal Antibody, Unconjugated (orb156348) at 1:200 overnight at 4°C, followed by operating according to SP Kit (Rabbit) instructionsand DAB staining.

Tissue/Cell: MCF7 cell, 4% Fixative-fixed, Triton X-100 at room temperature for 20 min, Blocking buffer (normal goat serum) at 37°C for 20 min, Antibody incubation with (c-fos) polyclonal Antibody, Unconjugated (orb156348) 1:100, 90 minutes at 37°C, followed by a FITC conjugated Goat Anti-Rabbit IgG antibody at 37°C for 90 minutes, DAPI (blue) was used to stain the cell nuclei.

Tissue/Cell: MCF7 cell, 4% Fixative-fixed, Triton X-100 at room temperature for 20 min, Blocking buffer (normal goat serum) at 37°C for 20 min, Antibody incubation with (c-fos) polyclonal Antibody, Unconjugated (orb156348) 1:100, 90 minutes at 37°C, followed by a FITC conjugated Goat Anti-Rabbit IgG antibody at 37°C for 90 minutes, DAPI (blue) was used to stain the cell nuclei.
风险提示:丁香通仅作为第三方平台,为商家信息发布提供平台空间。用户咨询产品时请注意保护个人信息及财产安全,合理判断,谨慎选购商品,商家和用户对交易行为负责。对于医疗器械类产品,请先查证核实企业经营资质和医疗器械产品注册证情况。
文献和实验该产品被引用文献
Reza Lotfizadeh 1, Manizheh Karami 2 3, Mohammadreza Jalali-Nadoushan Down regulation of the c-Fos/MAP kinase signaling pathway during learning memory processes coincides with low GnRH levels in aluminum chloride-induced Alzheimer's male rats Mol Biol Rep, (2024), Zhang, Fengwei et al. Seasonal Expression of Oxytocin and Oxytocin Receptor in the Scented Gland of Male Muskrat (Ondatra zibethicus) Sci Rep, 7, 16627 (2017)
技术资料暂无技术资料 索取技术资料
文献支持
C-fos Rabbit Polyclonal Antibody抗体,orb156348,biorbyt
¥3120









