相关产品推荐更多 >

Phospho-MARCKS (Ser152 + Ser156) Rabbit Polyclonal Antibody抗体,orb5566,biorbyt
¥3120
Cytochrome P450 2A6/7/13 Antibody 抗体,orb1729941,Biorbyt
¥3256
ADAM20 Antibody 抗体,orb1280850,Biorbyt
¥3256
Rel Antibody - middle region : Biotin 抗体,orb2131103,Biorbyt
¥8216
AR (phospho Tyr363) rabbit pAb抗体,orb768811,biorbyt
¥3250
万千商家帮你免费找货
0 人在求购买到急需产品
- 详细信息
- 文献和实验
- 技术资料
- 抗体名:
ABCG2 antibody抗体
- 抗体英文名:
ABCG2 antibody
- 靶点:
ABCG2
- 浓度:
-100 μg (in 200 μl): 0.5 mg/ml-200 μg (in 400 μl): 0.5 mg/ml
- 应用范围:
ICC, IF, IHC-P, WB
- 宿主:
Rabbit
- 保质期:
6-12个月
- 抗原来源:
详询
- 目录编号:
orb155559
- 级别:
科研级
- 库存:
88
- 供应商:
biorbyt
- 标记物:
Unconjugated
- 克隆性:
Polyclonal
- 形态:
10 mM PBS, 0.02% sodium azide
- 亚型:
IgG
- 免疫原:
KLH conjugated synthetic peptide derived from human ABCG2. Please contact us for the exact immunogen sequence. The peptide is available as orb12938.
- 规格:
100 ug
产品描述:ABCG2 antibody
别名:anti ABC15 antibody, anti ABCG2 antibody, anti ABCP antibody, anti BCRP antibody, anti BMDP antibody, anti CD338 antibody, anti CDw338 antibody, anti EST157481 antibody, anti MRX antibody, anti MXR antibody, anti MXR1 antibody, anti BCRP/ABCG2 antibody
免疫原:KLH conjugated synthetic peptide derived from human ABCG2. Please contact us for the exact 免疫原 sequence. The peptide is available as orb12938.
分子量:72 kDa
应用稀释比例:IF/ICC: 1:100-500, IHC-P: 1:100-500, WB: 1:200-2000
纯度:Polyclonal antibodies are purified by peptide affinity chromatography
保存说明:Maintain refrigerated at 2-8°C for up to 2 weeks. For long term storage store at -20°C in small aliquots to prevent freeze-thaw cycles.
Pubmed:28577929
Entrez:9429
UniProt ID:Q80W57, Q9UNQ0, Q7TMS5
Note:For research use only.










别名:anti ABC15 antibody, anti ABCG2 antibody, anti ABCP antibody, anti BCRP antibody, anti BMDP antibody, anti CD338 antibody, anti CDw338 antibody, anti EST157481 antibody, anti MRX antibody, anti MXR antibody, anti MXR1 antibody, anti BCRP/ABCG2 antibody
免疫原:KLH conjugated synthetic peptide derived from human ABCG2. Please contact us for the exact 免疫原 sequence. The peptide is available as orb12938.
分子量:72 kDa
应用稀释比例:IF/ICC: 1:100-500, IHC-P: 1:100-500, WB: 1:200-2000
纯度:Polyclonal antibodies are purified by peptide affinity chromatography
保存说明:Maintain refrigerated at 2-8°C for up to 2 weeks. For long term storage store at -20°C in small aliquots to prevent freeze-thaw cycles.
Pubmed:28577929
Entrez:9429
UniProt ID:Q80W57, Q9UNQ0, Q7TMS5
Note:For research use only.

WB analysis of mouse brain (lane 1), rat small intestines (lane 2), cow milk (lane 3), hela cells (lane 4), human lung cancer (lane 5), human breast cancer (lane 6) using ABCG2 antibody (1 ug/ml)

IF image of rat brain tissue using anti-ABCG2 (2.5 ug/ml)

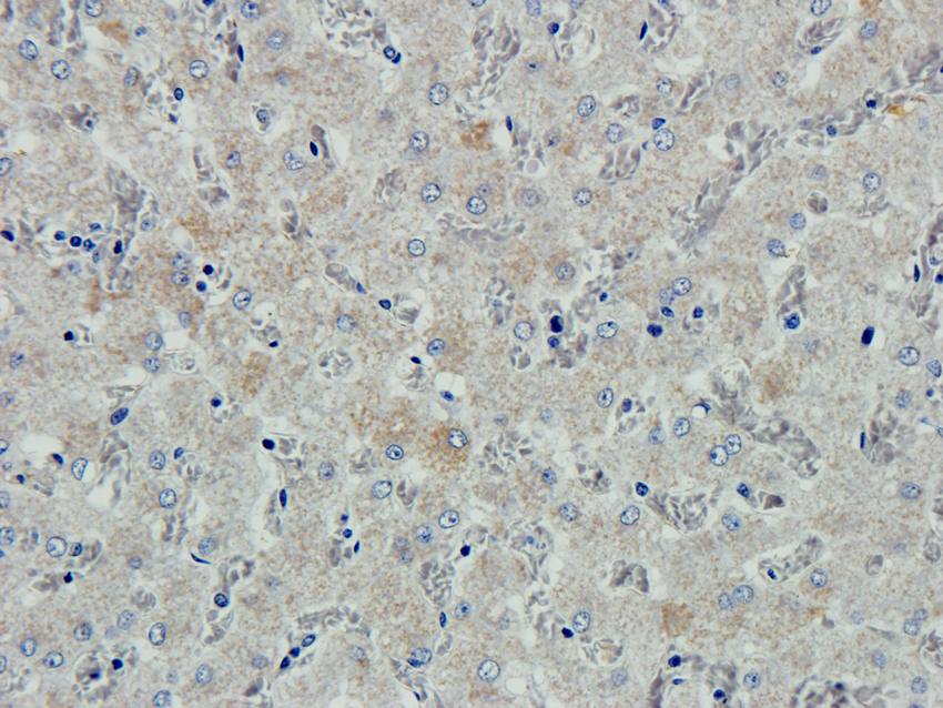
Immunohistochemical staining of paraffin embedded pig liver tissue using anti-ABCG2 (2.5 ug/ml)

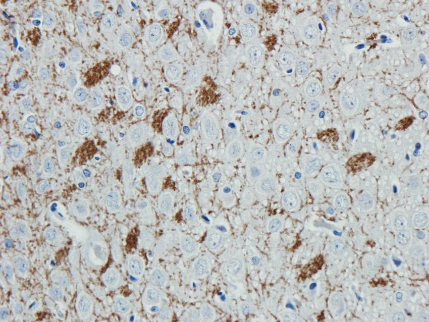
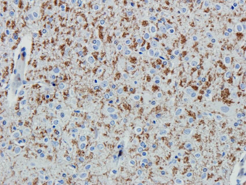
IHC-P image of rat brain tissue using ABCG2 antibody (2.5 ug/ml)

Immunohistochemical staining of rat brain tissue using ABCG2 antibody (2.5 ug/ml)

IHC-P staining of pig liver tissue using anti-ABCG2 (2.5 ug/ml)

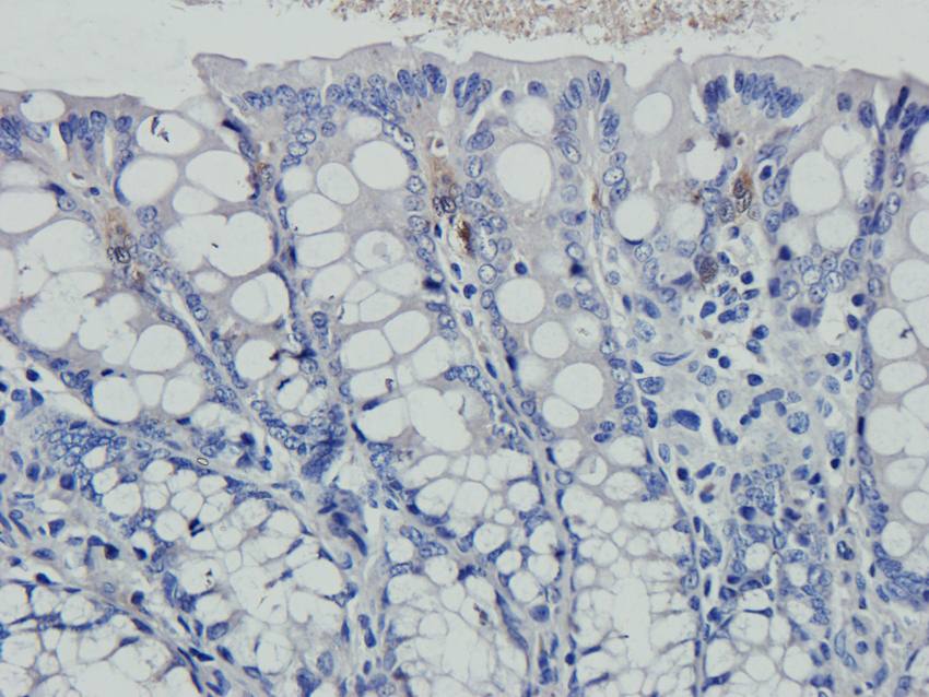
IHC-P image of guinea pig rectum tissue using anti-ABCG2 (2.5 ug/ml)

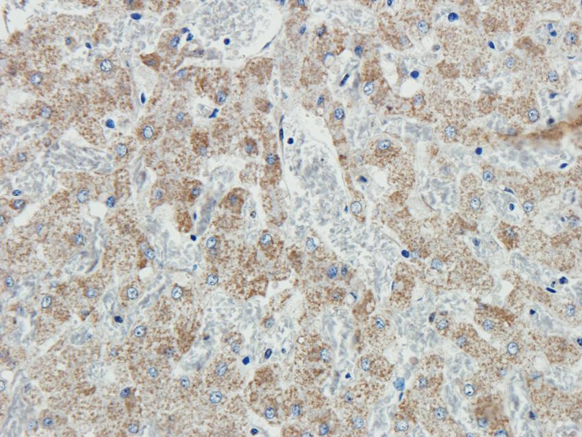
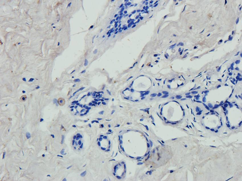
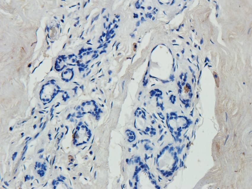
Immunohistochemical staining of paraffin embedded human breast tumour tissue using ABCG2 antibody (2.5 ug/ml)

Immunohistochemical staining of rat brain tissue using ABCG2 antibody (2.5 ug/ml)

IHC-P staining of human breast tumour tissue using anti-ABCG2 (2.5 ug/ml)
风险提示:丁香通仅作为第三方平台,为商家信息发布提供平台空间。用户咨询产品时请注意保护个人信息及财产安全,合理判断,谨慎选购商品,商家和用户对交易行为负责。对于医疗器械类产品,请先查证核实企业经营资质和医疗器械产品注册证情况。
文献和实验该产品被引用文献
Li, YiFu et al. MRP-1 and BCRP Promote the Externalization of Phosphatidylserine in Oxalate-treated Renal Epithelial Cells: Implications for Calcium Oxalate Urolithiasis Urology, 107, 271.e9-271.e17 (2017)
技术资料暂无技术资料 索取技术资料
文献支持
ABCG2 antibody抗体,orb155559,biorbyt
¥3640





