产品封面图

Cav3.2 Antibody (PerCP)抗体,orb1

48216,biorbyt
收藏
  • ¥8580
  • biorbyt已认证
  • orb148216
  • 英国
  • 2025年12月03日
  • AM, ICC, IF, IHC, IP, WB
  • Mouse
  • Human, Mouse, Rat
avatar
品牌商
13钻石会员
  • 企业认证

    点击 QQ 联系

    • 详细信息
    • 文献和实验
    • 技术资料
    • 抗体名

      Cav3.2 Antibody (PerCP)抗体

    • 抗体英文名

      Cav3.2 Antibody (PerCP)

    • 靶点

      Cav3.2

    • 浓度

      1 mg/ml

    • 应用范围

      AM, ICC, IF, IHC, IP, WB

    • 宿主

      Mouse

    • 适应物种

      Human, Mouse, Rat

    • 保质期

      6-12个月

    • 抗原来源

      详询

    • 目录编号

      orb148216

    • 级别

      科研级

    • 库存

      88

    • 供应商

      biorbyt

    • 标记物

      PerCP

    • 克隆性

      Monoclonal

    • 亚型

      IgG1

    • 免疫原

      Fusion protein amino acids 1019-1293 (II-III loop) of human Cav3.2

    • 规格

      100 ug

    产品描述:Mouse monoclonal to CaV3 (PerCP). 2. Ion channels are integral membrane proteins that help establish and control the small voltage gradient across the plasma membrane of living cells by allowing the flow of ions down their electrochemical gradient. They are present in the membranes that surround all biological cells because their main function is to regulate the flow of ions across this membrane. Whereas some ion channels permit the passage of ions based on charge, others conduct based on a ionic species, such as sodium or potassium. Furthermore, in some ion channels, the passage is governed by a gate which is controlled by chemical or electrical signals, temperature, or mechanical forces. There are a few main classifications of gated ion channels. There are voltage- gated ion channels, ligand-gated, other gating systems and finally those that are classified differently, having more exotic characteristics. The first are voltage- gated ion channels which open and close in response to membrane potential. These are then separated into sodium, calcium, potassium, proton, transient receptor, and cyclic nucleotide-gated channels; each of which is responsible for a unique role. Ligand-gated ion channels are also known as ionotropic receptors, and they open in response to specific ligand molecules binding to the extracellular domain of the receptor protein. The other gated classifications include activation and inactivation by second messengers, inward-rectifier potassium channels, calcium-activated potassium channels, two-pore-domain potassium channels, light-gated channels, mechano-sensitive ion channels and cyclic nucleotide-gated channels. Finally, the other classifications are based on less normal characteristics such as two-pore channels, and transient receptor potential channels. Specifically, CaV3. 2 is a protein which in humans is encoded by the CACNA1H gene. Studies suggest certain mutations in this gene lead to childhood absence epilepsy. Studies also suggest that the up-regulations of CaV3. 2 may participate in the progression of prostate cancer toward an androgen-independent stage. ...

    别名:Voltage-dependent T-type calcium channel subunit alpha-1H, Voltage-gated calcium channel subunit alpha Cav3.2, CACNA1H, KIAA1120, Cav3.2, CACNA1HB, calcium channel, voltage-dependent, T type, alpha 1H subunit, alpha 1Hb subunit, ECA6, EIG6, FLJ90484, Low-voltage-activated calcium channel alpha1 3.2 subunit, low-voltage-activated calcium channel alpha13.2 subunit, voltage dependent t-type calcium channel alpha-1H subunit, voltage-dependent T-type calcium channel subunit alpha-1H, voltage-gated calcium channel alpha subunit Cav3.2, voltage-gated calcium channel alpha subunit CavT.2

    免疫原:Fusion protein amino acids 1019-1293 (II-III loop) of human Cav3.2

    克隆性:N55/10 (Formerly sold as S55-10)

    分子量:260kDa

    应用稀释比例:WB (1:1000), IHC (1:1000), ICC/IF (1:100)

    应用注释:1 µg/ml of SMC-303 was sufficient for detection of Cav3.2 in 10 µg of HEK cell lysate expressing Cav3.2 by colorimetric immunoblot analysis using Goat anti-mouse IgG:HRP as the secondary antibody.

    防腐剂:95.46mM Phosphate, 2.48mM MES and 2mM EDTA

    纯化:Protein G Purified

    保存说明:Conjugated antibodies should be stored according to the product label

    NCBI:NP_001005407.1

    Entrez:8912

    UniProt ID:O95180

    Note:For research use only.

    产品细节图片1
    Immunocytochemistry/Immunofluorescence analysis using Mouse Anti-Cav3.2 Monoclonal Antibody, Clone N55/10. Tissue: Neuroblastoma cells (SH-SY5Y). Species: Human. Fixation: 4% PFA for 15 min. Primary Antibody: Mouse Anti-Cav3.2 Monoclonal Antibody at 1:50 for overnight at 4°C with slow rocking. Secondary Antibody: AlexaFluor 488 at 1:1000 for 1 hour at RT. Counterstain: Phalloidin-iFluor 647 (red) F-Actin stain; Hoechst (blue) nuclear stain at 1:800, 1.6mM for 20 min at RT. (A) Hoechst (blue) nuclear stain. (B) Phalloidin-iFluor 647 (red) F-Actin stain. (C) Cav3.2 Antibody (D) Composite.

    产品细节图片2
    Immunohistochemistry analysis using Mouse Anti-CaV3.2 Calcium Channel Monoclonal Antibody, Clone N55/10. Tissue: hippocampus. Species: Human. Fixation: Bouin's Fixative and paraffin-embedded. Primary Antibody: Mouse Anti-CaV3.2 Calcium Channel Monoclonal Antibody at 1:1000 for 1 hour at RT. Secondary Antibody: FITC Goat Anti-Mouse (green) at 1:50 for 1 hour at RT.

    产品细节图片3
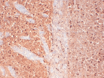
    Immunohistochemistry analysis using Mouse Anti-CaV3.2 Calcium channel Monoclonal Antibody, Clone N55/10. Tissue: frozen brain section. Species: Human. Fixation: 10% Formalin Solution for 12-24 hours at RT. Primary Antibody: Mouse Anti-CaV3.2 Calcium channel Monoclonal Antibody at 1:1000 for 1 hour at RT. Secondary Antibody: HRP/DAB Detection System: Biotinylated Goat Anti-Mouse, Streptavidin Peroxidase, DAB Chromogen (brown) for 30 minutes at RT. Counterstain: Mayer Hematoxylin (purple/blue) nuclear stain at 250-500 μl for 5 minutes at RT.

    产品细节图片4
    Western Blot analysis of Rat brain membrane lysate (native) showing detection of ~261 kDa Cav3.2 protein using Mouse Anti-Cav3.2 Monoclonal Antibody, Clone N55/10. Block: 2% Skim Milk + 2% BSA in TBST. Primary Antibody: Mouse Anti-Cav3.2 Monoclonal Antibody at 1:1000 for 2 hours at RT. Secondary Antibody: Anti-Mouse: HRP at 1:4000. Predicted/Observed Size: ~261 kDa.

    风险提示:丁香通仅作为第三方平台,为商家信息发布提供平台空间。用户咨询产品时请注意保护个人信息及财产安全,合理判断,谨慎选购商品,商家和用户对交易行为负责。对于医疗器械类产品,请先查证核实企业经营资质和医疗器械产品注册证情况。

    图标文献和实验
    相关实验
    • Antibody Purification

      to 1 liter with Qcheck to make sure pH is 3.0(2) Affigel Blue Running Buffer10 mM K2HPO4 2.28 g K2HPO40.15 M NaCl 8.2 g NaCl0.02% azide 0.2 g Na azideup to 1 liter with Q(3) 1.4 M NaCl8.1 g NaClup to 100 ml with Q(4) Saturated NH4SO4767 g NH4SO4add 1 liter Q

    • Antibody cleanup

      mls of PBS. Put 200 ul (3 mg/ml) of the antibody to an eppendorf tube. Add 0.8 mls of PBS. Pellet 1 ml of the cell suspension and discard the PBS supernatant. Add the antibody solution to the cell pellet, gently resuspend the cells

    • Antibody Staining of Ovaries

        Antibody Staining of Ovaries 1. Dissect ovaries in EBR 2. Transfer ovaries into an Eppendorf tube and add 100 µl devitellinizing buffer and 600-µl heptane 3. Agitate gently for 10 minutes

    图标技术资料

    暂无技术资料 索取技术资料

    同类产品报价

    产品名称
    产品价格
    公司名称
    报价日期
    ¥8580
    武汉博欧特生物科技有限公司
    2025年12月04日询价
    询价
    StressMarq Biosciences Inc.
    2026年03月21日询价
    ¥3780
    深圳欣博盛生物科技有限公司
    2023年10月25日询价
    ¥1500
    上海博尔森生物科技有限公司
    2025年07月15日询价
    询价
    上海优宁维生物科技股份有限公司
    2026年02月13日询价
    Cav3.2 Antibody (PerCP)抗体,orb148216,biorbyt
    ¥8580