相关产品推荐更多 >

MYC Antibody (T58) 抗体,orb1932054,Biorbyt
¥7293
TFE3 Antibody (clone AHC0245, Ready-to-Use) 抗体,orb1735022,Biorbyt
¥8255
phospho-TIRAP (Tyr86) Antibody (BF647) 抗体,orb1608319,Biorbyt
¥4796
Aquaporin 5 Rabbit Polyclonal Antibody抗体,orb221331,biorbyt
¥3120
VEGFR3 Rabbit Polyclonal Antibody抗体,orb1816917,biorbyt
¥3120
万千商家帮你免费找货
0 人在求购买到急需产品
- 详细信息
- 文献和实验
- 技术资料
- 抗体名:
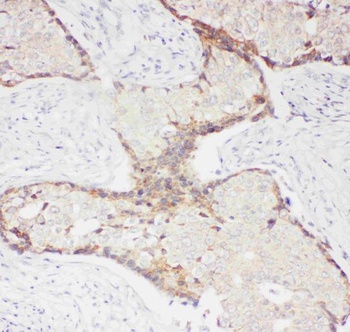
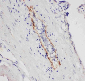
CD62P/SELP Antibody 抗体
- 抗体英文名:
CD62P/SELP Antibody
- 浓度:
Adding 0.2 ml of distilled water will yield a concentration of 500 μg/ml.
- 应用范围:
IHC, WB
- 宿主:
Rabbit
- 适应物种:
Human
- 保质期:
6-12个月
- 抗原来源:
详询
- 目录编号:
orb76229
- 级别:
科研
- 库存:
99
- 供应商:
Biorbyt
- 标记物:
Unconjugated
- 克隆性:
POLYCLONAL
- 保存条件:
Store at -20˚C for one year from date of receipt. After reconstitution, at 4˚C for one month. It can also be aliquotted and stored frozen at -20˚C for six months. Avoid repeated freeze-thaw cycles.
- 形态:
Lyophilized
- 亚型:
Rabbit IgG
- 免疫原:
A synthetic peptide corresponding to a sequence at the N-terminus of human CD62P (49-66aa KAYSWNISRKYCQNRYTD).
- 规格:
10 ug/100 ug
| 规格: | 10 ug | 产品价格: | ¥3484.0 |
|---|---|---|---|
| 规格: | 100 ug | 产品价格: | ¥6760.0 |
产品名:CD62P/SELP Antibody
货号:orb76229
产品中文名:CD62P/SELP Antibody 抗体
产品详情链接:https://www.biorbyt.com/cd62pselp-antibody-orb76229.html
产品主推四大类:
一. 抗体(Antibody):79万种的一抗。可应用于Western blot,IP,IHC,IF,FACS,ELISA等实验。
二. 蛋白(Protien):13万种的高纯度蛋白。
三. elisa试剂盒(Elisa kit):可以提供超过9万种的ELISA试剂盒,包括人源,大鼠源,小鼠源等。
四. 小分子(Small Molecules):超过12万种的生物活性小分子,主要包括:拮抗剂、抑制剂、抗生素、天然产物。
所有Biorbyt品牌的抗体,蛋白,Elisa试剂盒,小分子等产品,国际航空低温运输,货期短,多数产品货期在1~2周,快捷便利。
我们为研究者们提供免费的、专业的、售前售中售后服务,为您的实验保驾护航。
更多详情请联系我们:027-87663101、15827569716。
风险提示:丁香通仅作为第三方平台,为商家信息发布提供平台空间。用户咨询产品时请注意保护个人信息及财产安全,合理判断,谨慎选购商品,商家和用户对交易行为负责。对于医疗器械类产品,请先查证核实企业经营资质和医疗器械产品注册证情况。
文献和实验Flow Cytometry: Immunofluorescence Staining of Activated and Resting Human Platelets
two times in PBS and resuspend cell pellet in PBS. Cells may be stored at 4� for up to 8 hours. 7. Stain activated platelets by direct immunofluorescence using CD62P-FITC, catalog number 555523 (31794X), at 20 �/test, and compare with resting platelets
Intracellular Cytokine Staining Protocol
anti-cytokine antibodies with excess amounts of unlabeled antibody. Alternatively, recombinant cytokines can be used for blocking.eBioscience antibodies are available as Functional Grade (FG) Purified (sterile, endotoxin-tested, no azide), Purified
a subset of genomic DNA sequences of type 5'-(NNN )3 -3', whereas the 6ZF library would recognize a subset of genomic sequences of type 5'-(NNN )6 -3'. Given the zinc-finger domains used, both libraries were more likely to recognize (RNN)x -type sequences
技术资料暂无技术资料 索取技术资料






