产品描述:P53 (FL-393) Rabbit Polyclonal Antibody
别名:P53_HUMAN; Cellular tumor antigen p53; TP53; Antigen NY-CO-13;Phosphoprotein p53; Tumor suppressor p53; tumor protein p53; BCC7; LFS1; BMFS5; TRP53; P 53; P-53; wt-p53; Widespread p53; Wtp53; Wt p53;
免疫原:Full length P53 protein of human origin (1-393/393aa)
预测反应性:Bovine, Canine, Equine, Porcine, Sheep
分子量:53 kDa
应用稀释比例:WB=1:1000-2000, IHC-P=1:100-500, IHC-F=1:100-500, ICC/IF=1:100-500, IF=1:100-500, Flow-Cyt=1ug/Test
防腐剂:0.01M TBS (pH7.4) with 1% rAlbumin, 0.02% Proclin300 and 50% Glycerol.
纯化:Affinity purified by Protein A
保存说明:Maintain refrigerated at 2-8°C for up to 2 weeks. For long term storage store at -20°C in small aliquots to prevent freeze-thaw cycles.
UniProt ID:P04637
Note:For research use only.
Sample: MCF-7 Cell (Human) Lysate at 40 ug, Primary: Anti-p53 (FL-393) (orb2664) at 1/300 dilution, Secondary: IRDye800CW Goat Anti-Rabbit IgG at 1/20000 dilution, Predicted band size: 53 kD, Observed band size: 60 kD.
A431 cell, 4% Fixative-fixed, Triton X-100 at room temperature for 20 min, Blocking buffer (normal goat serum) at 37°C for 20 min, Antibody incubation with (p53 (FL-393)) polyclonal Antibody, Unconjugated (orb2664) 1:100, 90 minutes at 37°C, followed by a conjugated Goat Anti-Rabbit IgG antibody at 37°C for 90 minutes, DAPI (blue) was used to stain the cell nuclei.

Blank control: A549. Primary Antibody (green line): Rabbit Anti-p53 (FL-393) antibody (orb2664), dilution: 1 µg/10^6 cells, Isotype Control Antibody (orange line): Rabbit IgG. Secondary Antibody: Goat anti-rabbit IgG-AF488, dilution: 1 µg/Test. Protocol, The cells were fixed with 4% PFA (10 min at room temperature) and then permeabilized with 90% ice-cold methanol for 20 min at -20°C. The cells were then incubated in 5% BSA to block non-specific protein-protein interactions for 30 min at room temperature. Cells stained with Primary Antibody for 30 min at room temperature. The secondary antibody used for 40 min at room temperature. Acquisition of 20000 events was performed.

Fixative-fixed, paraffin embedded (mouse intestine), Antigen retrieval by boiling in sodium citrate buffer (pH6.0) for 15 min, Block endogenous peroxidase by 3% hydrogen peroxide for 20 minutes, Blocking buffer (normal goat serum) at 37°C for 30 min, Antibody incubation with (p53 (FL-393)) Polyclonal Antibody, Unconjugated (orb2664) at 1:200 overnight at 4°C, followed by operating according to SP Kit (Rabbit) instructionsand DAB staining.
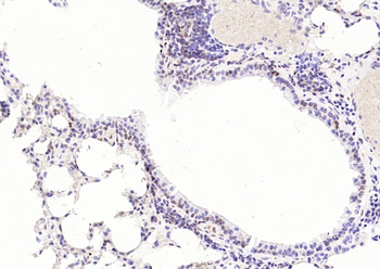
Fixative-fixed, paraffin embedded (mouse lung), Antigen retrieval by boiling in sodium citrate buffer (pH6.0) for 15 min, Block endogenous peroxidase by 3% hydrogen peroxide for 20 minutes, Blocking buffer (normal goat serum) at 37°C for 30 min, Antibody incubation with (p53 (FL-393)) Polyclonal Antibody, Unconjugated (orb2664) at 1:200 overnight at 4°C, followed by operating according to SP Kit (Rabbit) instructionsand DAB staining.
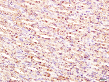
Fixative-fixed, paraffin embedded (mouse skin), Antigen retrieval by boiling in sodium citrate buffer (pH6.0) for 15 min, Block endogenous peroxidase by 3% hydrogen peroxide for 20 minutes, Blocking buffer (normal goat serum) at 37°C for 30 min, Antibody incubation with (p53 (FL-393)) Polyclonal Antibody, Unconjugated (orb2664) at 1:200 overnight at 4°C, followed by operating according to SP Kit (Rabbit) instructionsand DAB staining.
Fixative-fixed, paraffin embedded (Rat bladder), Antigen retrieval by boiling in sodium citrate buffer (pH6.0) for 15 min, Block endogenous peroxidase by 3% hydrogen peroxide for 20 minutes, Blocking buffer (normal goat serum) at 37°C for 30 min, Antibody incubation with (Transformation related protein 53, P53) Polyclonal Antibody, Unconjugated (orb2664) at 1:400 overnight at 4°C, followed by a conjugated secondary antibody for 20 minutes and DAB staining.
Fixative-fixed, paraffin embedded (Rat bladder), Antigen retrieval by boiling in sodium citrate buffer (pH6.0) for 15 min, Block endogenous peroxidase by 3% hydrogen peroxide for 20 minutes, Blocking buffer (normal goat serum) at 37°C for 30 min, Antibody incubation with (Transformation related protein 53, P53) Polyclonal Antibody, Unconjugated (orb2664) at 1:400 overnight at 4°C, followed by a conjugated secondary antibody for 20 minutes and DAB staining.
Fixative-fixed, paraffin embedded (rat skin), Antigen retrieval by boiling in sodium citrate buffer (pH6.0) for 15 min, Block endogenous peroxidase by 3% hydrogen peroxide for 20 minutes, Blocking buffer (normal goat serum) at 37°C for 30 min, Antibody incubation with (p53 (FL-393)) Polyclonal Antibody, Unconjugated (orb2664) at 1:200 overnight at 4°C, followed by operating according to SP Kit (Rabbit) instructionsand DAB staining.
Fixative-fixed, paraffin embedded (Rat stomach), Antigen retrieval by boiling in sodium citrate buffer (pH6.0) for 15 min, Block endogenous peroxidase by 3% hydrogen peroxide for 20 minutes, Blocking buffer (normal goat serum) at 37°C for 30 min, Antibody incubation with (Transformation related protein 53, P53) Polyclonal Antibody, Unconjugated (orb2664) at 1:400 overnight at 4°C, followed by a conjugated secondary antibody for 20 minutes and DAB staining.