产品描述:HES1 Rabbit Polyclonal Antibody
别名:bHLHb39; C-HAIRY1; c-hairy1A; Class B basic helix-loop-helix protein 39; FLJ20408; Hairy and enhancer of split 1(Drosophila); Hairy and enhancer of split 1; Hairy Enhancer of Split 1; Hairy homolog(Drosophila); Hairy Homolog; Hairy like; Hairy, Drosophila, homolog of; Hairy-like protein; Hairy/enhancer of split, Drosophila, homolog of, 1; HAIRY1; HES-1; hes1; Hes1 hairy and enhancer of split 1(Drosophila); HES1_HUMAN; HHL; HL; HRY; RHL; Transcription factor HES 1; Transcription factor HES-1.
免疫原:KLH conjugated synthetic peptide derived from human HES1 (41-150/280aa)
预测反应性:Bovine, Equine, Porcine, Rabbit, Rat
分子量:30 kDa
应用稀释比例:IHC-P=1:100-500, IHC-F=1:100-500, ICC/IF=1:50-200, IF=1:100-500, Flow-Cyt=1ug/Test
防腐剂:0.01M TBS (pH7.4) with 1% rAlbumin, 0.02% Proclin300 and 50% Glycerol.
纯化:Affinity purified by Protein A
保存说明:Maintain refrigerated at 2-8°C for up to 2 weeks. For long term storage store at -20°C in small aliquots to prevent freeze-thaw cycles.
UniProt ID:Q14469
Note:For research use only.
Blank control: Molt4. Primary Antibody (green line): Rabbit Anti-HES1 antibody (orb100523), Dilution: 1 µg/10^6 cells, Isotype Control Antibody (orange line): Rabbit IgG. Secondary Antibody: Goat anti-rabbit IgG-AF647, Dilution: 1 µg/test. Protocol, The cells were fixed with 4% PFA (10 min at room temperature) and then permeabilized with 90% ice-cold methanol for 20 min at -20℃. The cells were then incubated in 5% BSA to block non-specific protein-protein interactions for 30 min at room temperature. Cells stained with Primary Antibody for 30 min at room temperature. The secondary antibody used for 40 min at room temperature. Acquisition of 20000 events was performed.

MCF-7 cell, 4% Fixative-fixed, Triton X-100 at room temperature for 20 min, Blocking buffer (normal goat serum) at 37°C for 20 min, Antibody incubation with (HES1) polyclonal Antibody, Unconjugated (orb100523) 1:100, 90 minutes at 37°C, followed by a conjugated Goat Anti-Rabbit IgG antibody at 37°C for 90 minutes, DAPI (blue) was used to stain the cell nuclei.
MCF-7 cell, 4% Fixative-fixed, Triton X-100 at room temperature for 20 min, Blocking buffer (normal goat serum) at 37°C for 20 min, Antibody incubation with (HES1) polyclonal Antibody, Unconjugated (orb100523) 1:100, 90 minutes at 37°C, followed by a conjugated Goat Anti-Rabbit IgG antibody at 37°C for 90 minutes, DAPI (blue) was used to stain the cell nuclei.
Fixative-fixed, paraffin embedded (human brain glioma), Antigen retrieval by boiling in sodium citrate buffer (pH6.0) for 15 min, Block endogenous peroxidase by 3% hydrogen peroxide for 20 minutes, Blocking buffer (normal goat serum) at 37°C for 30 min, Antibody incubation with (HES1) Polyclonal Antibody, Unconjugated (orb100523) at 1:400 overnight at 4°C, followed by operating according to SP Kit (Rabbit) instructionsand DAB staining.
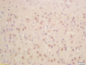
Fixative-fixed, paraffin embedded (mouse brain tissue), Antigen retrieval by boiling in sodium citrate buffer (pH6.0) for 15 min, Block endogenous peroxidase by 3% hydrogen peroxide for 20 minutes, Blocking buffer (normal goat serum) at 37°C for 30 min, Antibody incubation with (HES1) Polyclonal Antibody, Unconjugated (orb100523) at 1:400 overnight at 4°C, followed by a conjugated secondary for 20 minutes and DAB staining.
Fixative-fixed, paraffin embedded (mouse brain tissue), Antigen retrieval by boiling in sodium citrate buffer (pH6.0) for 15 min, Block endogenous peroxidase by 3% hydrogen peroxide for 20 minutes, Blocking buffer (normal goat serum) at 37°C for 30 min, Antibody incubation with (HES1) Polyclonal Antibody, Unconjugated (orb100523) at 1:400 overnight at 4°C, followed by operating according to SP Kit (Rabbit) instructionsand DAB staining.
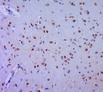
Tissue/cell: rat brain tissue, 4% Fixative-fixed and paraffin-embedded, Antigen retrieval: citrate buffer (0.01M, pH 6.0), Boiling bathing for 15 min, Block endogenous peroxidase by 3% Hydrogen peroxide for 30 min, Blocking buffer (normal goat serum) at 37℃ for 20 min, Incubation: Anti-HES1 Polyclonal Antibody, Unconjugated (orb100523) 1:200, overnight at 4°C, followed by conjugation to the secondary antibody and DAB staining.
Tissue/cell: Rat brain tissue, 4% Fixative-fixed and paraffin-embedded, Antigen retrieval: citrate buffer (0.01M, pH 6.0), Boiling bathing for 15 min, Block endogenous peroxidase by 3% Hydrogen peroxide for 30 min, Blocking buffer (normal goat serum) at 37℃ for 20 min, Incubation: Anti-HES1 Polyclonal Antibody, Unconjugated (orb100523) 1:500, overnight at 4°C, followed by conjugation to the secondary antibody and DAB staining.