相关产品推荐更多 >
万千商家帮你免费找货
0 人在求购买到急需产品
- 详细信息
- 文献和实验
- 技术资料
- 抗体名:
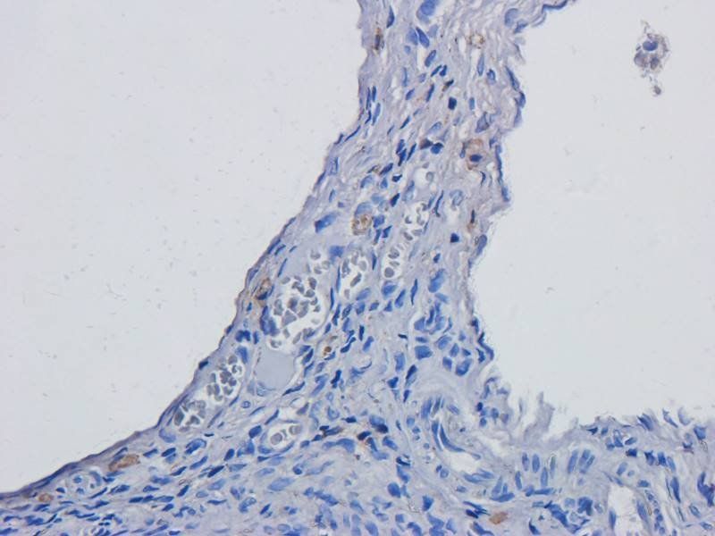
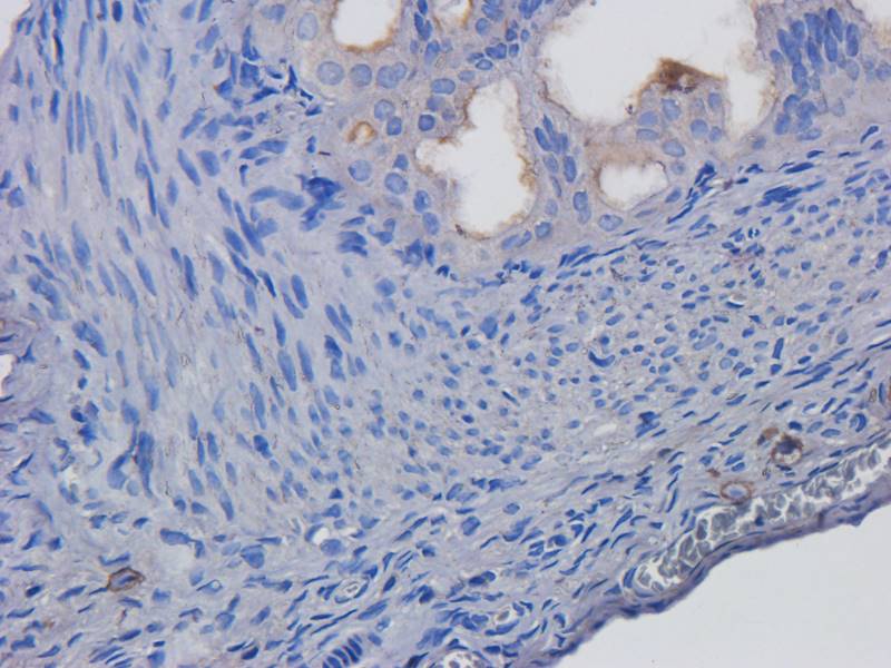
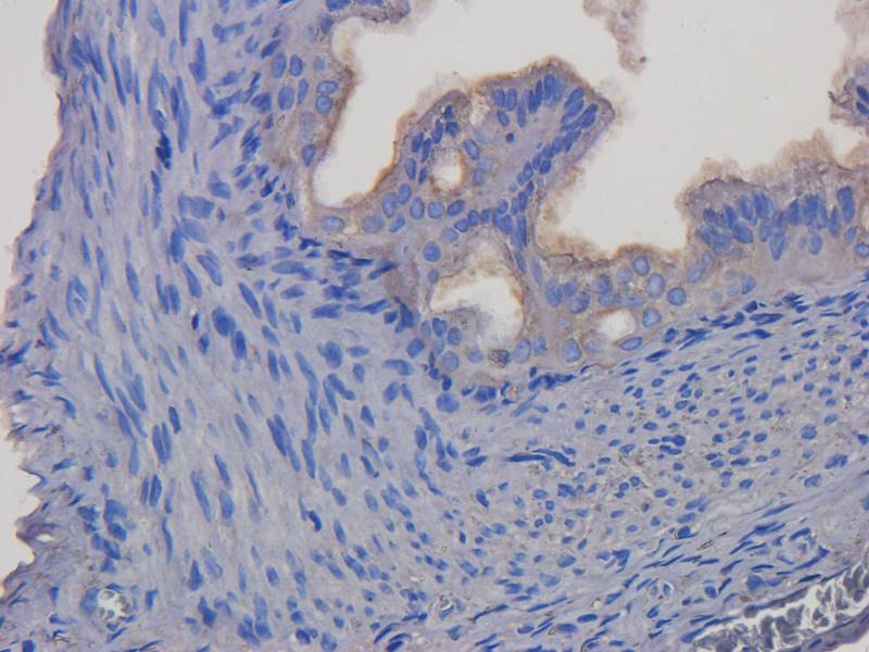
Estrogen Receptor beta 2 antibody抗体
- 抗体英文名:
Estrogen Receptor beta 2 antibody
- 靶点:
Estrogen Receptor beta 2
- 浓度:
- 100 μg (in 200 μl): 0.5 mg/ml- 200 μg (in 400 μl): 0.5 mg/ml
- 应用范围:
ICC, IF, IHC-P, WB
- 宿主:
Rabbit
- 适应物种:
Human, Mouse, Rat
- 保质期:
6-12个月
- 抗原来源:
详询
- 目录编号:
orb100531
- 级别:
科研级
- 库存:
88
- 供应商:
biorbyt
- 标记物:
Unconjugated
- 克隆性:
Polyclonal
- 形态:
10 mM PBS, 0.02% sodium azide
- 亚型:
IgG
- 免疫原:
KLH conjugated synthetic peptide derived from human Estrogen Receptor beta 2. Please contact us for the exact immunogen sequence. The peptide is available as orb12934.
- 规格:
100 ug
别名:anti-ER BETA antibody, anti-ER-beta antibody, anti-Erb antibody, anti-ESR B antibody, anti-ESR BETA antibody, anti-ESR2 antibody, anti-ESR2_HUMAN antibody, anti-ESRB antibody, anti-ESTRB antibody, anti-estrogen nuclear receptor beta variant a antibody, anti-estrogen nuclear receptor beta variant b antibody, anti-estrogen receptor 2 (ER beta) antibody, anti-Estrogen receptor 2 antibody, anti-estrogen receptor beta 4 antibody, anti-Estrogen receptor beta antibody, anti-NR3A2 antibody, anti-Nuclear receptor subfamily 3 group A member 2 antibody
免疫原:KLH conjugated synthetic peptide derived from human Estrogen Receptor beta 2. Please contact us for the exact 免疫原 sequence. The peptide is available as orb12934.
分子量:59 kDa
应用稀释比例:IF/ICC: 1:50-400, IHC-P: 1:50-400, WB: 1:200-1500
纯度:Polyclonal antibodies are purified by peptide affinity chromatography
保存说明:Maintain refrigerated at 2-8°C for up to 2 weeks. For long term storage store at -20°C in small aliquots to prevent freeze-thaw cycles.
NCBI:004452, 004443
Entrez:2103
UniProt ID:Q61539, O95718, P11475
Note:For research use only.









风险提示:丁香通仅作为第三方平台,为商家信息发布提供平台空间。用户咨询产品时请注意保护个人信息及财产安全,合理判断,谨慎选购商品,商家和用户对交易行为负责。对于医疗器械类产品,请先查证核实企业经营资质和医疗器械产品注册证情况。
文献和实验Characterization of Nuclear Receptor Ligands by Multiplexed Peptide Interactions
.P., and Schatz, P.J. 2000. Selection of estrogen receptor beta‐ and thyroid hormone receptor beta‐specific coactivator‐mimetic peptides using recombinant peptide libraries. Mol. Endocrinol. 14:605‐622.
浅析染色质免疫沉淀(ChIP)技术在 DNA 与蛋白质相互作用研究中的重要性
-9 and nuclear receptor TLX in neural stem cell fate determination. Nat Struct Mol Biol, 2009. 16(4): p. 365-71. [10] Israsena, N., et al., The presence of FGF2 signaling determines whether beta-catenin exerts effects on proliferation or neuronal differentiation
after the preovulatory luteinizing hormone surge OK Park and KE Mayo Mol.Endocrinol.Jul 1991,5:967.3.A method for transplantation of luteinizing granulosa cells: evidence for progesterone secretion.Biol Reprod, Dec 1982,27:1261.4.Estrogen Receptor-ß Is Critical
技术资料暂无技术资料 索取技术资料










