相关产品推荐更多 >
万千商家帮你免费找货
0 人在求购买到急需产品
- 详细信息
- 文献和实验
- 技术资料
- 抗体名:
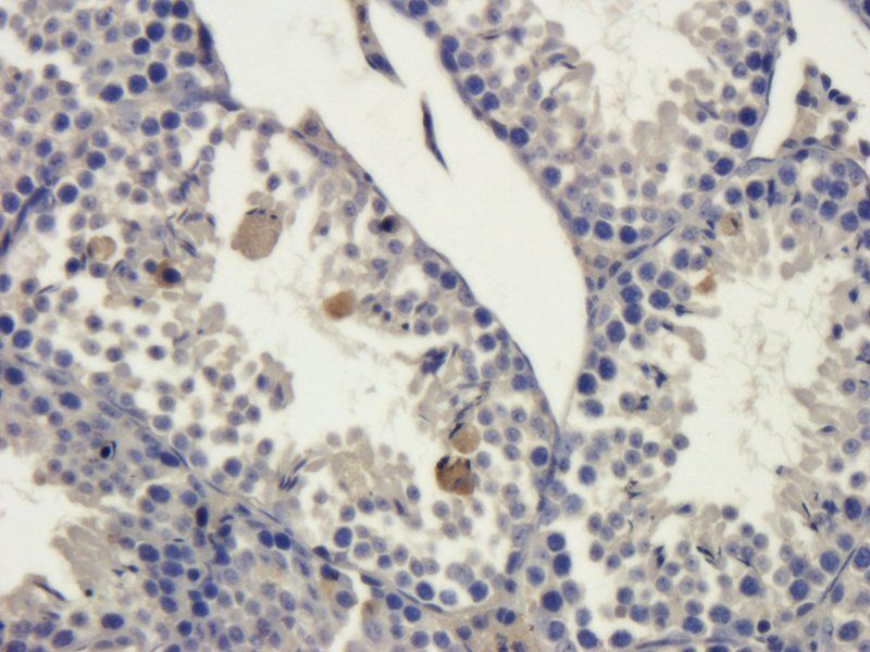
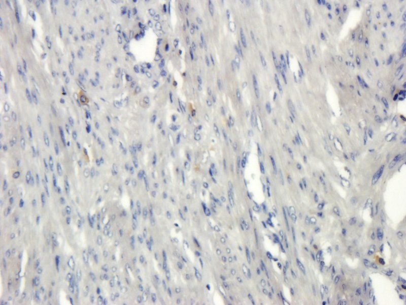
PLK4 antibody抗体
- 抗体英文名:
PLK4 antibody
- 靶点:
PLK4
- 浓度:
- 100 μg (in 200 μl): 0.5 mg/ml- 200 μg (in 400 μl): 0.5 mg/ml
- 应用范围:
ELISA, ICC, IF, IHC-P, WB
- 宿主:
Rabbit
- 适应物种:
Bovine, Canine, Equine, Human, Mouse, Porcine, Rat
- 保质期:
6-12个月
- 抗原来源:
详询
- 目录编号:
orb100623
- 级别:
科研级
- 库存:
88
- 供应商:
biorbyt
- 标记物:
Unconjugated
- 克隆性:
Polyclonal
- 形态:
10 mM PBS, 0.02% sodium azide
- 亚型:
IgG
- 免疫原:
KLH conjugated synthetic peptide derived from human PLK4. Please contact us for the exact immunogen sequence. The peptide is available as orb374807.
- 规格:
100 ug
别名:Anti-PLK 4 antibody, anti-PLK-4 antibody, anti-PLK4 antibody, anti-PLK4_HUMAN antibody, anti-Polo like Kinase 4 antibody, anti-Polo-like kinase 4 antibody, anti-Protein serine/threonine kinase antibody, anti-SAK antibody, anti-Serine/Threonine Kinase 18 antibody, anti-Serine/threonine kinase antibody, anti-Serine/threonine protein kinase 18 antibody, anti-Serine/threonine protein kinase PLK4 antibody, anti-Serine/threonine protein kinase Sak antibody, anti-Serine/threonine-protein kinase 18 antibody, anti-Serine/threonine-protein kinase PLK4 antibody, anti-Serine/threonine-protein kinase SAK antibody, anti-Snk Akin Kinase antibody, anti-STK 18 antibody, anti-STK18. antibody
免疫原:KLH conjugated synthetic peptide derived from human PLK4. Please contact us for the exact 免疫原 sequence. The peptide is available as orb374807.
分子量:109 kDa
应用稀释比例:IHC-P: 1:100-300, IF/ICC: 1:100-300, WB: 1:100-800
纯度:Polyclonal antibodies are purified by peptide affinity chromatography
保存说明:Maintain refrigerated at 2-8°C for up to 2 weeks. For long term storage store at -20°C in small aliquots to prevent freeze-thaw cycles.
NCBI:001177728, 001190799
Entrez:10733
UniProt ID:Q64702, O00444, B2GUY1
Note:For research use only.




风险提示:丁香通仅作为第三方平台,为商家信息发布提供平台空间。用户咨询产品时请注意保护个人信息及财产安全,合理判断,谨慎选购商品,商家和用户对交易行为负责。对于医疗器械类产品,请先查证核实企业经营资质和医疗器械产品注册证情况。
文献和实验三句话读懂一篇 CNS,一周科研聚焦:「天作之合」的生物学原理,首次体外三维模拟人体发育模型...
吸收过程中会与肠道中的微生物发生作用,而微生物对药物的代谢物也会影响药物的药效。Cell 刊登的这篇文章提供了一个定量实验方案,MDM-Screen,可以用来评估口服药物的代谢情况。 6. 特立独行的中心粒如何受到调控中心粒在细胞有丝分裂过程中发挥重要的作用,中心粒的发生受 Plk4(Polo-like kinase 4)调控,而 Plk4 的表达又受到 Asl(Asterless)的负反馈调节。有趣的是,Plk4 对中心粒的周期性调控可以不受细胞周期的影响,即使细胞周期受到干扰,Plk4 也可以调控中心
技术资料暂无技术资料 索取技术资料











