相关产品推荐更多 >
万千商家帮你免费找货
0 人在求购买到急需产品
- 详细信息
- 文献和实验
- 技术资料
- 抗体名:
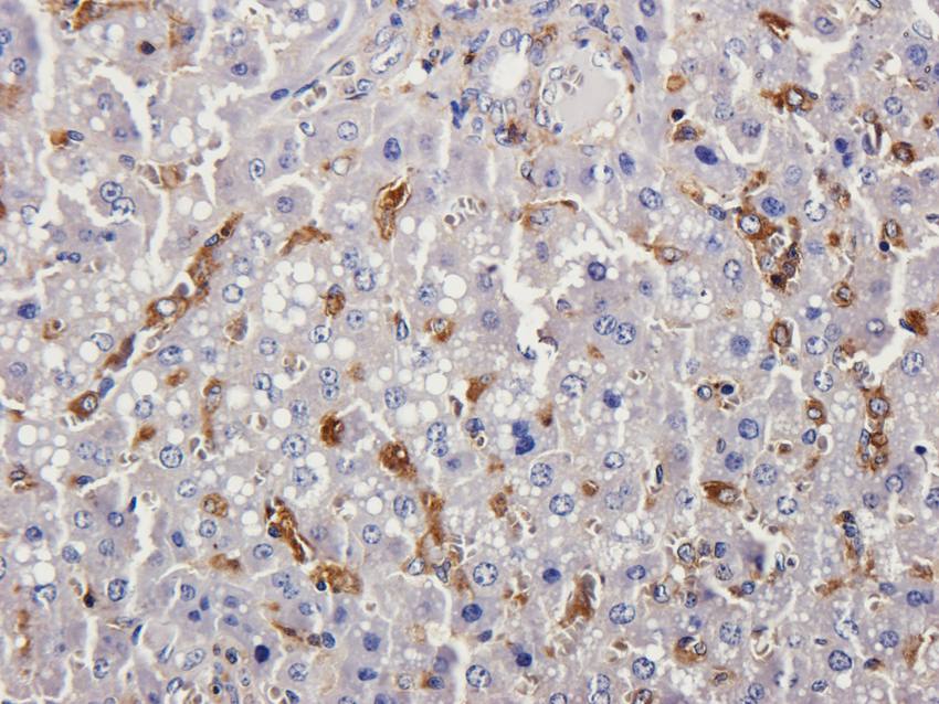
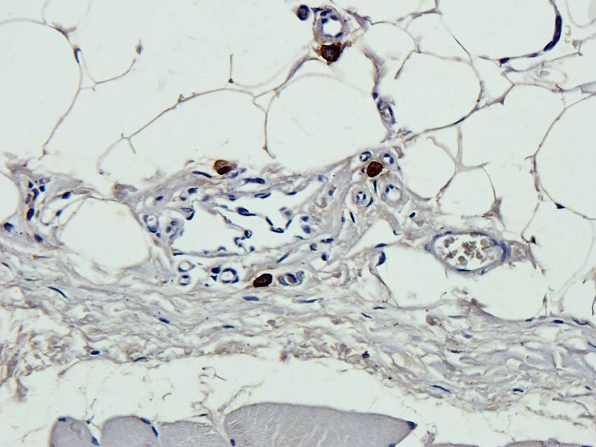
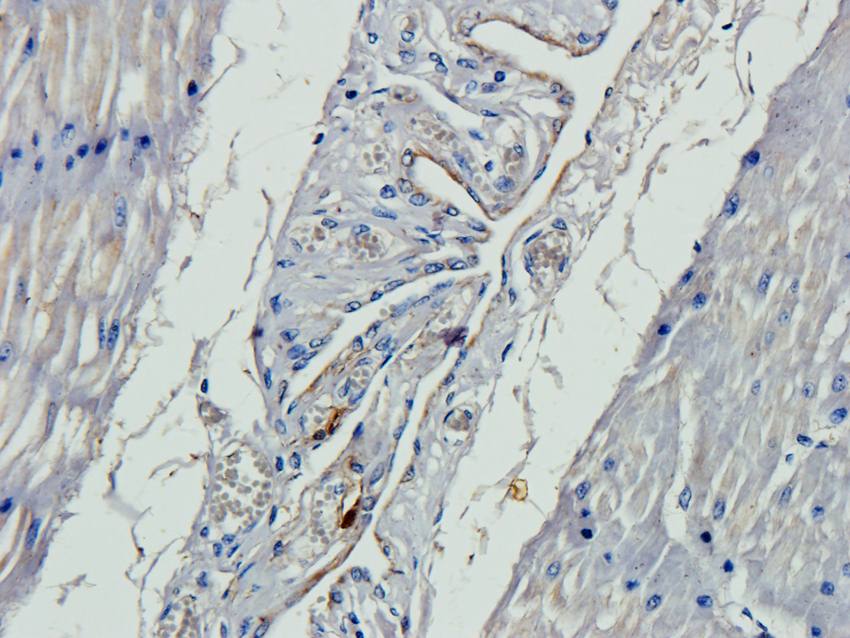
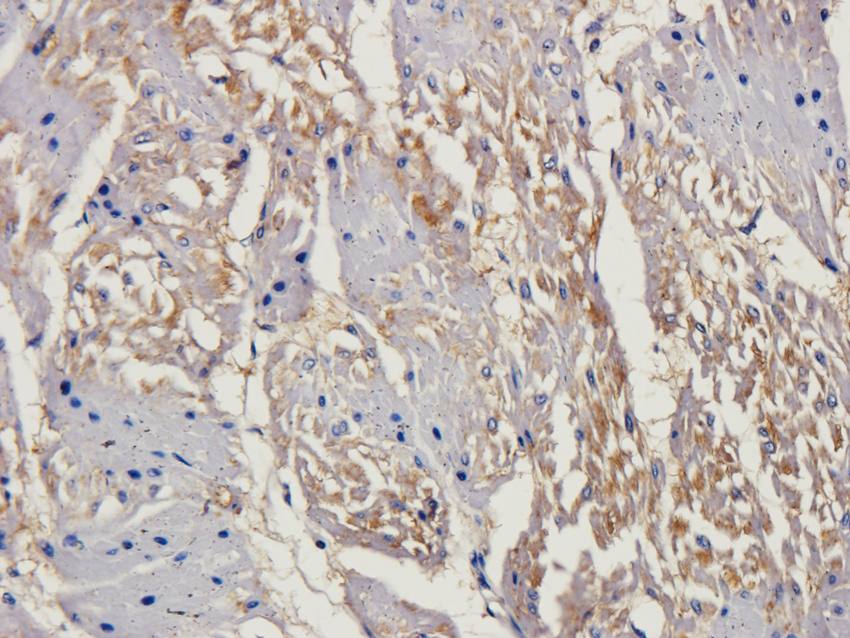
eNOS antibody抗体
- 抗体英文名:
eNOS antibody
- 靶点:
eNOS
- 应用范围:
ICC, IF, IHC-P, WB
- 宿主:
Rabbit
- 适应物种:
Guinea pig, Human, Mouse, Porcine, Rat
- 保质期:
6-12个月
- 抗原来源:
详询
- 目录编号:
orb29800
- 级别:
科研级
- 库存:
88
- 供应商:
biorbyt
- 标记物:
Unconjugated
- 克隆性:
Polyclonal
- 形态:
10 mM PBS, 0.02% sodium azide
- 亚型:
IgG
- 免疫原:
KLH conjugated synthetic peptide derived from human eNOS. Please contact us for the exact immunogen sequence. The peptide is available as orb12926.
- 规格:
100 ug
别名:anti cNOS antibody, anti Constitutive NOS antibody, anti EC NOS antibody, anti EC-NOS antibody, anti ecNOS antibody, anti Endothelial nitric oxidase synthase antibody, anti Endothelial nitric oxide synthase antibody, anti Endothelial nitric oxide synthase 3 antibody, anti Endothelial NOS antibody, anti eNOS antibody, anti Nitric oxide synthase 3 (endothelial cell) antibody, anti Nitric oxide synthase 3 antibody, anti Nitric oxide synthase 3 endothelial cell antibody, anti Nitric oxide synthase endothelial antibody, anti Nitric oxide synthase, endothelial antibody, anti NOS 3 antibody, anti NOS III antibody, anti NOS type III antibody, anti NOS3 antibody, anti NOS3_HUMAN antibody, anti NOSIII antibody
免疫原:KLH conjugated synthetic peptide derived from human eNOS. Please contact us for the exact 免疫原 sequence. The peptide is available as orb12926.
分子量:133 kDa
应用稀释比例:IF/ICC: 1:100-500, IHC-P: 1:100-500, WB: 1:200-1000
纯度:Polyclonal antibodies are purified by peptide affinity chromatography
保存说明:Maintain refrigerated at 2-8°C for up to 2 weeks. For long term storage store at -20°C in small aliquots to prevent freeze-thaw cycles.
NCBI:000594, 000603, 41, 21
Entrez:4846
UniProt ID:P29474
Note:For research use only.










风险提示:丁香通仅作为第三方平台,为商家信息发布提供平台空间。用户咨询产品时请注意保护个人信息及财产安全,合理判断,谨慎选购商品,商家和用户对交易行为负责。对于医疗器械类产品,请先查证核实企业经营资质和医疗器械产品注册证情况。
文献和实验【求助】使用eNOS的抑制剂L-NAME后对eNOS的磷酸化有影响吗?
cwqq2003 请问大家使用eNOS的抑制剂L-NAME后对eNOS的磷酸化有影响吗? freecell 以前的研究结果: http://www.actaps.com.cn/qikan/cpaper/zhaiyao.asp?bsid=599454 jempoo Circulation. 2002 Mar 26;105(12):1497-502.
Expression of Human eNOS in Cardiac and Endothelial Cells
In this chapter we provide a detailed technique-focused protocol for expression of human endothelial nitric oxide synthase (eNOS) gene delivered by replication-deficient adenovirus. It includes construction of recombinant plasmid with human
人内皮型一氧化氮合成酶(eNOS)酶联免疫分析(ELISA)
人 内皮型一氧化氮合成酶(eNOS ) 酶联免疫分析( ELISA ) 试剂盒使用说明书 本试剂仅供研究使用 目的:本试剂盒用于测定人血清,血浆及相关液体样本中 内皮型一氧化氮合成酶(eNOS ) 的 含量。 实验原理: 本试剂盒应用双抗体夹心法测定标本中 人 内皮型一氧化氮合成酶 (eNOS ) 水平。用纯化的人 内皮型一氧化氮合成酶 抗体包被微孔板,制成固相抗体,往包被单抗的微孔中依次加入 内皮型
技术资料暂无技术资料 索取技术资料










