相关产品推荐更多 >
万千商家帮你免费找货
0 人在求购买到急需产品
- 详细信息
- 文献和实验
- 技术资料
- 抗体名:
Cystatin C antibody抗体
- 抗体英文名:
Cystatin C antibody
- 靶点:
Cystatin C
- 浓度:
- 100 μg (in 200 μl): 0.5 mg/ml- 200 μg (in 400 μl): 0.5 mg/ml
- 应用范围:
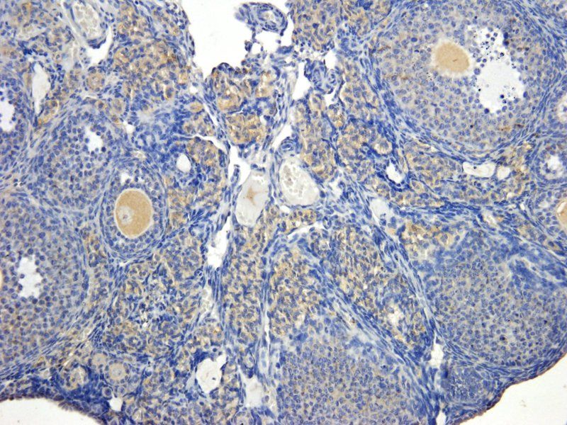
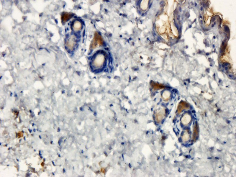
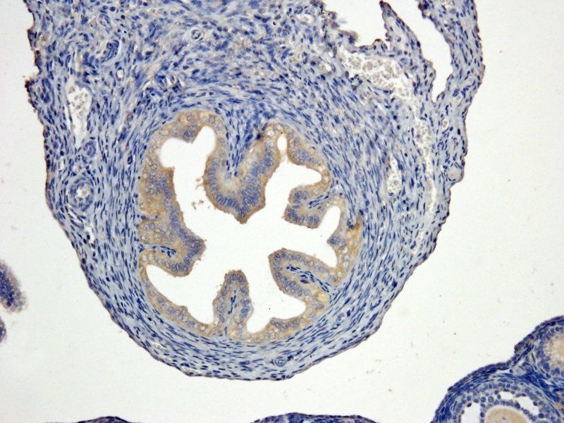
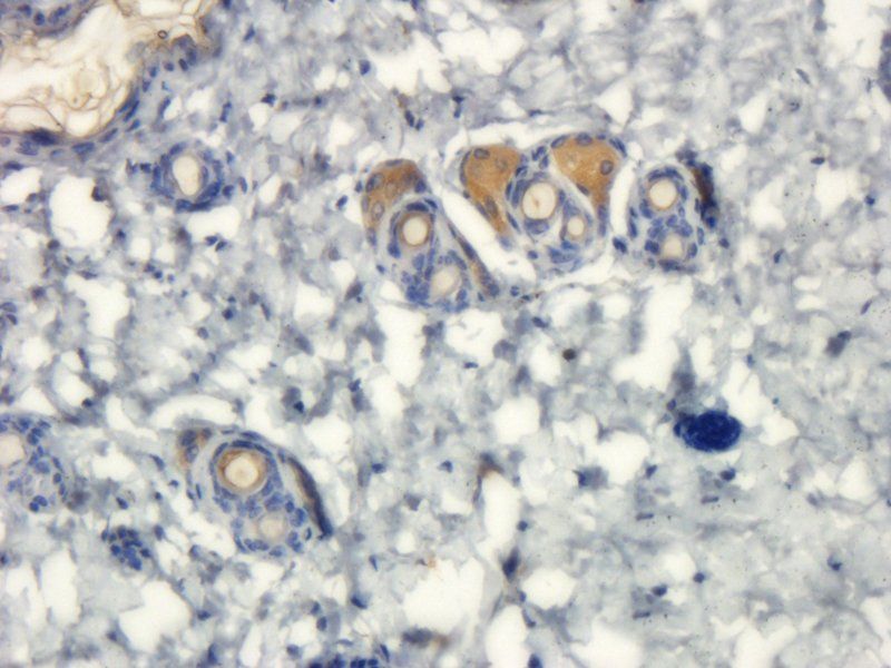
ELISA, ICC, IF, IHC-P, WB
- 宿主:
Rabbit
- 适应物种:
Human, Mouse, Rat
- 保质期:
6-12个月
- 抗原来源:
详询
- 目录编号:
orb5762
- 级别:
科研级
- 库存:
88
- 供应商:
biorbyt
- 标记物:
Unconjugated
- 克隆性:
Polyclonal
- 形态:
10 mM PBS, 0.02% sodium azide
- 亚型:
IgG
- 免疫原:
KLH conjugated synthetic peptide derived from human Cystatin C. Please contact us for the exact immunogen sequence. The peptide is available as orb374779.
- 规格:
100 ug
别名:anti AD8 antibody, anti ARMD11 antibody, anti Cst3 antibody, anti Cystatin 3 antibody, anti CystatinC antibody, anti Ad 8 antibody, anti Cst 3 antibody, anti TNNI2 antibody
免疫原:KLH conjugated synthetic peptide derived from human Cystatin C. Please contact us for the exact 免疫原 sequence. The peptide is available as orb374779.
分子量:15 kDa
应用稀释比例:IF/ICC: 1:100, IHC-P: 1:200, WB: 1:200-1000
纯度:Polyclonal antibodies are purified by peptide affinity chromatography
保存说明:Maintain refrigerated at 2-8°C for up to 2 weeks. For long term storage store at -20°C in small aliquots to prevent freeze-thaw cycles.
Entrez:1471
UniProt ID:P01034
Note:For research use only.








风险提示:丁香通仅作为第三方平台,为商家信息发布提供平台空间。用户咨询产品时请注意保护个人信息及财产安全,合理判断,谨慎选购商品,商家和用户对交易行为负责。对于医疗器械类产品,请先查证核实企业经营资质和医疗器械产品注册证情况。
文献和实验一、胱氨酸蛋白酶抵制剂C( Cystatin C)的性质 胱氨酸蛋白酶抵制剂C( Cystatin C)是一种糖基化的低分子量蛋白质,可自由通过肾小球并被近端肾小管的上皮细胞重吸收和代谢,其血中浓度不受炎症、肌肉量、小管分泌等影响,其血清浓度与肾小球滤过率(GFR)密切相关,可作为肾小球滤过功能指标。 二、监测肾小球滤过率功能最敏感的指标 肾小球滤过率是监测肾功能的一个重要指标。尤其对于肾移植的病人,快速准确地掌握肾小球滤过率的的变化是十分重要
上海西唐生物科技有限公司 021-55229872, 65333639 www.westang.com 人胱抑素C ( Cystatin C )ELISA 试剂盒 ( 用于血清、血浆、细胞培养上清液和尿液生物体液内 ) 原理 本实验采用双抗体夹心 ABC-ELISA 法。用抗人 Cystatin C 单抗包被于酶标板上,标准品和样品中的 Cystatin C与单抗结合,加入
大鼠胱抑素C(Cystatin C)ELISA试剂盒 说明书
上海西唐生物科技有限公司 021-55229872, 65333639 www.westang.com 大鼠胱抑素 C(Cystatin C)ELISA 试剂盒 ( 用于血清、血浆、细胞培养上清液和尿液生物体液内 ) 原理 本实验采用双抗体夹心 ABC-ELISA 法。用抗大鼠 Cystatin C 单抗包被于酶标板上,标准品和样品中的 Cystatin C 与单抗结合,加入生物素化的抗大
技术资料暂无技术资料 索取技术资料











