相关产品推荐更多 >
万千商家帮你免费找货
0 人在求购买到急需产品
- 详细信息
- 技术资料
- 抗体名:
CCL18 Rabbit Polyclonal Antibody抗体
- 抗体英文名:
CCL18 Rabbit Polyclonal Antibody
- 靶点:
CCL18
- 浓度:
1mg/ml
- 应用范围:
IF, IHC-Fr, IHC-P
- 宿主:
Rabbit
- 适应物种:
Mouse
- 保质期:
6-12个月
- 抗原来源:
详询
- 目录编号:
orb13576
- 级别:
科研级
- 库存:
88
- 供应商:
biorbyt
- 标记物:
Unconjugated
- 克隆性:
Polyclonal
- 保存条件:
参考产品说明书
- 形态:
Liquid
- 亚型:
IgG
- 免疫原:
KLH conjugated synthetic peptide derived from human MIP4/CCL18 (21-89/89aa)
- 规格:
50 ul
产品描述:CCL18 Rabbit Polyclonal Antibody
别名:Macrophage Inflammatory Protein 4; Alternative macrophage activation associated CC chemokine 1; Alternative macrophage activation-associated CC chemokine 1; AMAC-1; AMAC1; C-C motif chemokine 18; CC chemokine PARC; CCL18(1-68); CCL18(3-69); CCL18(4-69); CCL18_HUMAN; CKb7; DC-CK1; DCCK1; Dendritic cell chemokine 1; Macrophage inflammatory protein 4; MIP-4; MIP4; PARC; Pulmonary and activation regulated chemokine; Pulmonary and activation-regulated chemokine; SCYA18; Small inducible cytokine A18; Small-inducible cytokine A18.
免疫原:KLH conjugated synthetic peptide derived from human MIP4/CCL18 (21-89/89aa)
预测反应性:Human
分子量:8 kDa
应用稀释比例:IHC-P=1:100-500, IHC-F=1:100-500, IF=1:100-500
防腐剂:0.01M TBS (pH7.4) with 1% rAlbumin, 0.02% Proclin300 and 50% Glycerol.
纯化:Affinity purified by Protein A
保存说明:Maintain refrigerated at 2-8°C for up to 2 weeks. For long term storage store at -20°C in small aliquots to prevent freeze-thaw cycles.
UniProt ID:P55774
Note:For research use only.


别名:Macrophage Inflammatory Protein 4; Alternative macrophage activation associated CC chemokine 1; Alternative macrophage activation-associated CC chemokine 1; AMAC-1; AMAC1; C-C motif chemokine 18; CC chemokine PARC; CCL18(1-68); CCL18(3-69); CCL18(4-69); CCL18_HUMAN; CKb7; DC-CK1; DCCK1; Dendritic cell chemokine 1; Macrophage inflammatory protein 4; MIP-4; MIP4; PARC; Pulmonary and activation regulated chemokine; Pulmonary and activation-regulated chemokine; SCYA18; Small inducible cytokine A18; Small-inducible cytokine A18.
免疫原:KLH conjugated synthetic peptide derived from human MIP4/CCL18 (21-89/89aa)
预测反应性:Human
分子量:8 kDa
应用稀释比例:IHC-P=1:100-500, IHC-F=1:100-500, IF=1:100-500
防腐剂:0.01M TBS (pH7.4) with 1% rAlbumin, 0.02% Proclin300 and 50% Glycerol.
纯化:Affinity purified by Protein A
保存说明:Maintain refrigerated at 2-8°C for up to 2 weeks. For long term storage store at -20°C in small aliquots to prevent freeze-thaw cycles.
UniProt ID:P55774
Note:For research use only.

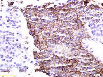
paraffin embedded (Mouse lung melanocytoma), Antigen retrieval by boiling in sodium citrate buffer (pH6.0) for 15 min, Block endogenous peroxidase by 3% hydrogen peroxide for 20 minutes, Blocking buffer (normal goat serum) at 37°C for 30 min, Antibody incubation with (MIP4) Polyclonal Antibody, Unconjugated (orb13576) at 1:500 overnight at 4°C, followed by a conjugated secondary for 20 minutes and DAB staining.

Fixative-fixed, paraffin embedded (Mouse melanocytoma), Antigen retrieval by boiling in sodium citrate buffer (pH6.0) for 15 min, Block endogenous peroxidase by 3% hydrogen peroxide for 20 minutes, Blocking buffer (normal goat serum) at 37°C for 30 min, Antibody incubation with (MIP4) Polyclonal Antibody, Unconjugated (orb13576) at 1:400 overnight at 4°C, followed by a conjugated secondary antibody for 90 minutes, and DAPI for nuclei staining.
风险提示:丁香通仅作为第三方平台,为商家信息发布提供平台空间。用户咨询产品时请注意保护个人信息及财产安全,合理判断,谨慎选购商品,商家和用户对交易行为负责。对于医疗器械类产品,请先查证核实企业经营资质和医疗器械产品注册证情况。
技术资料暂无技术资料 索取技术资料
CCL18 Rabbit Polyclonal Antibody抗体,orb13576,biorbyt
¥3120








![BBS10 antibody [N2C1], Internal抗体,orb556612,biorbyt](https://img1.dxycdn.com/p/s14/2025/1204/381/8001351760443146991.jpg!wh200)

