相关产品推荐更多 >

Anti-NIM1 Antibody 抗体,orb1880441,Biorbyt
¥2299
AKT1/2/3 Antibody (Center) 抗体,orb1927101,Biorbyt
¥7293
ZBTB7C Antibody - N-terminal region : HRP 抗体,orb2138479,Biorbyt
¥7345
Mxd1 Antibody - C-terminal region : Biotin 抗体,orb2129527,Biorbyt
¥8216
Qsox2 Antibody - C-terminal region : FITC 抗体,orb2089527,Biorbyt
¥8216
万千商家帮你免费找货
0 人在求购买到急需产品
- 详细信息
- 文献和实验
- 技术资料
- 抗体名:
Endothelin 1 antibody抗体
- 抗体英文名:
Endothelin 1 antibody
- 靶点:
Endothelin 1
- 浓度:
- 100 μg (in 200 μl): 0.5 mg/ml- 200 μg (in 400 μl): 0.5 mg/ml
- 应用范围:
ELISA, ICC, IF, WB
- 宿主:
Rabbit
- 适应物种:
Bovine, Canine, Equine, Guinea pig, Human, Mouse, Porcine, Rat, Sheep
- 保质期:
6-12个月
- 抗原来源:
详询
- 目录编号:
orb13403
- 级别:
科研级
- 库存:
88
- 供应商:
biorbyt
- 标记物:
Unconjugated
- 克隆性:
Polyclonal
- 形态:
10 mM PBS, 0.02% sodium azide
- 亚型:
IgG
- 免疫原:
KLH conjugated synthetic peptide derived from human Endothelin 1. Please contact us for the exact immunogen sequence. The peptide is available as orb374764.
- 规格:
100 ug
产品描述:Endothelin 1 antibody
别名:anti Big endothelin 1 antibody, anti Big endothelin-1 antibody, anti EDN 1 antibody, anti EDN1 antibody, anti EDN1 protein antibody, anti Endothelin1 antibody, anti ET 1 antibody, anti ET-1 antibody, anti ET1 antibody, anti PPET 1 antibody, anti PPET1 antibody, anti Preproendothelin 1 antibody, anti Preproendothelin-1 antibody, anti Preproendothelin1 antibody, anti QME antibody
免疫原:KLH conjugated synthetic peptide derived from human Endothelin 1. Please contact us for the exact 免疫原 sequence. The peptide is available as orb374764.
分子量:24 kDa
应用稀释比例:IF/ICC: 1:200, WB: 1:100-1000
纯度:Polyclonal antibodies are purified by peptide affinity chromatography
保存说明:Maintain refrigerated at 2-8°C for up to 2 weeks. For long term storage store at -20°C in small aliquots to prevent freeze-thaw cycles.
Pubmed:40951878
NCBI:001168319, 001161791
Entrez:1906
UniProt ID:P05305, P22388, P22387
Note:For research use only.



别名:anti Big endothelin 1 antibody, anti Big endothelin-1 antibody, anti EDN 1 antibody, anti EDN1 antibody, anti EDN1 protein antibody, anti Endothelin1 antibody, anti ET 1 antibody, anti ET-1 antibody, anti ET1 antibody, anti PPET 1 antibody, anti PPET1 antibody, anti Preproendothelin 1 antibody, anti Preproendothelin-1 antibody, anti Preproendothelin1 antibody, anti QME antibody
免疫原:KLH conjugated synthetic peptide derived from human Endothelin 1. Please contact us for the exact 免疫原 sequence. The peptide is available as orb374764.
分子量:24 kDa
应用稀释比例:IF/ICC: 1:200, WB: 1:100-1000
纯度:Polyclonal antibodies are purified by peptide affinity chromatography
保存说明:Maintain refrigerated at 2-8°C for up to 2 weeks. For long term storage store at -20°C in small aliquots to prevent freeze-thaw cycles.
Pubmed:40951878
NCBI:001168319, 001161791
Entrez:1906
UniProt ID:P05305, P22388, P22387
Note:For research use only.

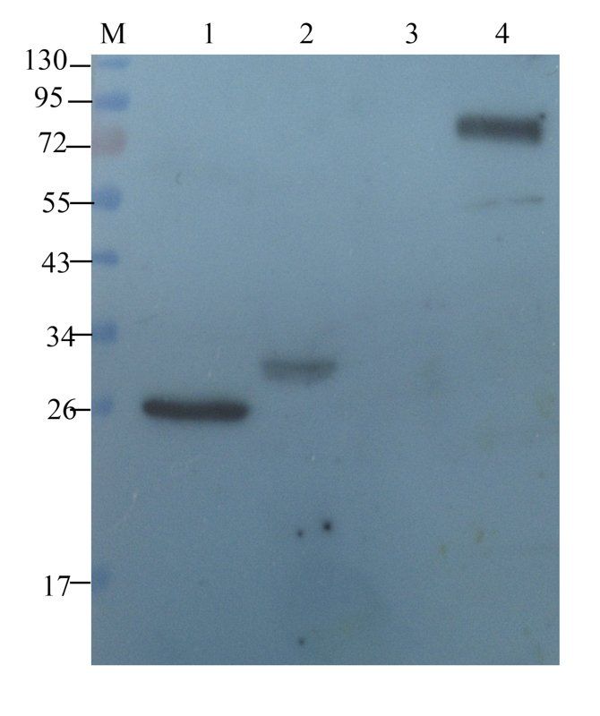
Western blot analysis of Hela cells (lane 1), mouse lung (lane 2), rat heart (lane 3), rat large intestines (lane 4) using ET-1 antibody (1 ug/ml)

Immunofluorescence image of human hela cell tissue using anti-Endothelin 1 (2.5 ug/ml)

IF analysis of human hela cell tissue using Endothelin 1 antibody (2.5 ug/ml)
风险提示:丁香通仅作为第三方平台,为商家信息发布提供平台空间。用户咨询产品时请注意保护个人信息及财产安全,合理判断,谨慎选购商品,商家和用户对交易行为负责。对于医疗器械类产品,请先查证核实企业经营资质和医疗器械产品注册证情况。
文献和实验该产品被引用文献
Jinlin Wu # 1 2, Xi Mei # 3 2, Yong Li 1, Fang Liu 1, Dongfang Liu 2 Curcumin improves diabetic vascular aging rats and high glucose-induced cells aging by promoting mitophagy 3 Biotech, (2025)
技术资料暂无技术资料 索取技术资料
文献支持
Endothelin 1 antibody抗体,orb13403,biorbyt
¥3640






