相关产品推荐更多 >
万千商家帮你免费找货
0 人在求购买到急需产品
- 详细信息
- 文献和实验
- 技术资料
- 抗体名:
Smad7 antibody抗体
- 抗体英文名:
Smad7 antibody
- 靶点:
Smad7
- 浓度:
- 100 μg (in 200 μl): 0.5 mg/ml- 200 μg (in 400 μl): 0.5 mg/ml
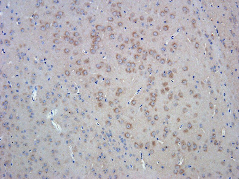
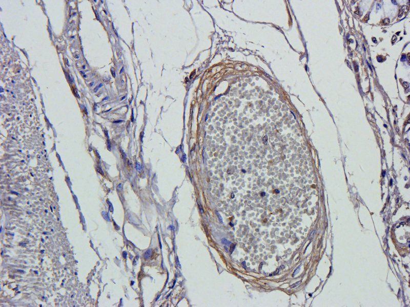
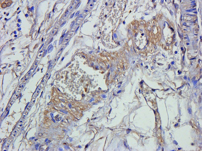
- 应用范围:
ELISA, IHC-P, WB
- 宿主:
Rabbit
- 适应物种:
Human, Mouse, Porcine, Rat
- 保质期:
6-12个月
- 抗原来源:
详询
- 目录编号:
orb11386
- 级别:
科研级
- 库存:
88
- 供应商:
biorbyt
- 标记物:
Unconjugated
- 克隆性:
Polyclonal
- 形态:
10 mM PBS, 0.02% sodium azide
- 亚型:
IgG
- 免疫原:
KLH conjugated synthetic peptide derived from human Smad7. Please contact us for the exact immunogen sequence. The peptide is available as orb374748.
- 规格:
100 ug
别名:anti-FLJ16482 antibody, anti-hSMAD7 antibody, anti-MAD antibody, anti-MAD (mothers against decapentaplegic Drosophila) homolog 7 antibody, anti-MAD mothers against decapentaplegic homolog 7 antibody, anti-MADH6 antibody, anti-MADH7 antibody, anti-MADH8 antibody, anti-Mothers Against Decapentaplegic Drosophila Homolog of 6 antibody, anti-Mothers Against Decapentaplegic Drosophila Homolog of 7 antibody, anti-Mothers against decapentaplegic homolog 7 antibody, anti-mothers against DPP homolog 7 antibody, anti-mothers against DPP homolog 7 (Drosophila) antibody, anti-SMAD antibody, anti-SMAD family member 7 antibody, anti-SMAD6 antibody, anti-SMAD7 antibody
免疫原:KLH conjugated synthetic peptide derived from human Smad7. Please contact us for the exact 免疫原 sequence. The peptide is available as orb374748.
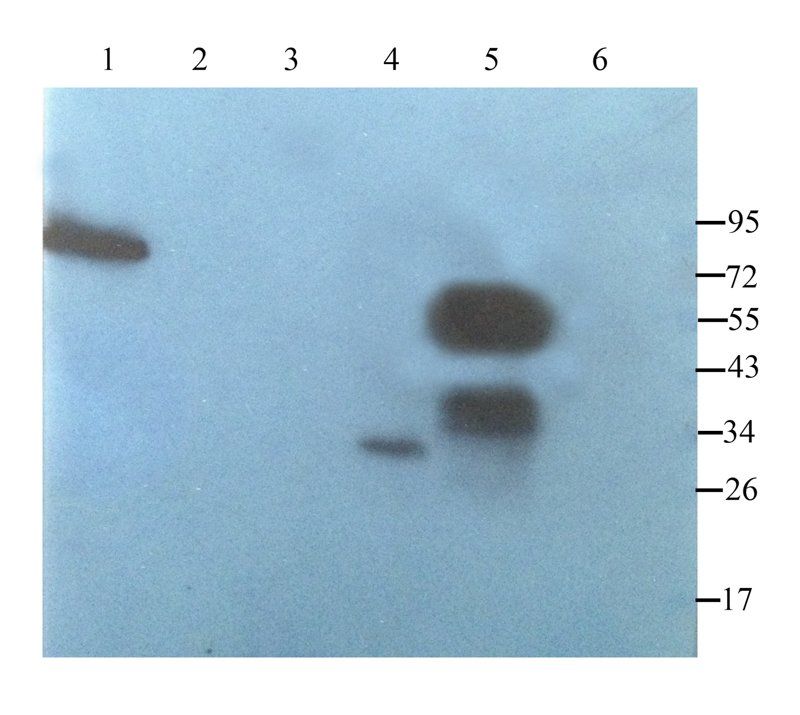
分子量:46 kDa
应用稀释比例:IHC-P: 1:100-600, WB: 1:100-800 (based on 0.5mg/ml)
纯度:Polyclonal antibodies are purified by peptide affinity chromatography
保存说明:Maintain refrigerated at 2-8°C for up to 2 weeks. For long term storage store at -20°C in small aliquots to prevent freeze-thaw cycles.
Entrez:4092
UniProt ID:O88406, O35253, O15105
Note:For research use only.








风险提示:丁香通仅作为第三方平台,为商家信息发布提供平台空间。用户咨询产品时请注意保护个人信息及财产安全,合理判断,谨慎选购商品,商家和用户对交易行为负责。对于医疗器械类产品,请先查证核实企业经营资质和医疗器械产品注册证情况。
文献和实验2 上游 TAGGTGGGGAAGTTTTTGCTGATG 下游 CGTCTGCCTTCGGTATTCTG Smad7 AF015261 Sense gcc ctc tct gga tat ctt ct nt 843–862 Antisense gct gca taa act cgt ggt ca nt 1162–1143 Smad7 上游 ACCGCAGCAGTTACCCCATCTT 下游 GGCTACCGGCTGTTGAA Human connective
途径本身被回馈作用所调控,SMAD6 与 SMAD7 可结合上 type I 受体,造成该受体无法与 R-SMAD 结合导致讯息中断。6. Wnt/β-catenin signaling pathwayWnt/β-catenin 通路调控机制:当 Wnt 蛋白与细胞表面 Frizzled 受体家族结合后的一系列反应,包括 Dishevelled 受体家族蛋白质的激活及最终细胞核内 β-catenin 水平的变化。Dishevelled (DSH) 是细胞膜相关 Wnt 受体复合物的关键成分
Hepatol. 2013 简介: 第二军医大学东方肝胆外科研究院的研究人员通过miRNA文库筛选出17个与促进胆囊癌细胞转移的miRNA。在随后的临床标本研究上发现,其中的miR-20a与胆囊癌患者的局部侵袭、远端转移及不良预后高度相关。miR-20a的这些功能,主要是通过抑制其靶标基因Smad7的表达而促进了胆囊癌细胞的上皮间质化而实现的。通过一系列体外及体内实验,发现使用micrOFFTM antagomir-20a抑制miR-20a功能,可以恢复Smad7的表达而削弱
技术资料暂无技术资料 索取技术资料










