相关产品推荐更多 >
万千商家帮你免费找货
0 人在求购买到急需产品
- 详细信息
- 文献和实验
- 技术资料
- 抗体名:
Mutant p53 (N235K, N239Y) Rabbit Polyclonal Antibody抗体
- 抗体英文名:
Mutant p53 (N235K, N239Y) Rabbit Polyclonal Antibody
- 靶点:
TP53
- 浓度:
1mg/ml
- 应用范围:
IF, IHC-Fr, IHC-P
- 宿主:
Rabbit
- 适应物种:
Human, Mouse
- 保质期:
6-12个月
- 抗原来源:
详询
- 目录编号:
orb11211
- 级别:
科研级
- 库存:
88
- 供应商:
biorbyt
- 标记物:
Unconjugated
- 克隆性:
Polyclonal
- 保存条件:
参考产品说明书
- 形态:
Liquid
- 亚型:
IgG
- 免疫原:
KLH conjugated synthetic peptide derived from human P53 arund the Mutation site N235K N239Y (230-241/393aa)
- 规格:
50 ul
产品描述:Mutant p53 (N235K, N239Y) Rabbit Polyclonal Antibody
别名:P53_HUMAN; Cellular tumor antigen p53; TP53; Antigen NY-CO-13;Phosphoprotein p53; Tumor suppressor p53; tumor protein p53; BCC7; LFS1; BMFS5; TRP53; P 53; P-53; wt-p53; Widespread p53; Wtp53; Wt p53;
免疫原:KLH conjugated synthetic peptide derived from human P53 arund the Mutation site N235K N239Y (230-241/393aa)
预测反应性:Mouse
分子量:21 kDa
应用稀释比例:IHC-P=1:100-500, IHC-F=1:100-500, IF=1:100-500
防腐剂:0.01M TBS (pH7.4) with 1% rAlbumin, 0.02% Proclin300 and 50% Glycerol.
纯化:Affinity purified by Protein A
保存说明:Maintain refrigerated at 2-8°C for up to 2 weeks. For long term storage store at -20°C in small aliquots to prevent freeze-thaw cycles.
Pubmed:41115909
UniProt ID:P04637
Note:For research use only.



别名:P53_HUMAN; Cellular tumor antigen p53; TP53; Antigen NY-CO-13;Phosphoprotein p53; Tumor suppressor p53; tumor protein p53; BCC7; LFS1; BMFS5; TRP53; P 53; P-53; wt-p53; Widespread p53; Wtp53; Wt p53;
免疫原:KLH conjugated synthetic peptide derived from human P53 arund the Mutation site N235K N239Y (230-241/393aa)
预测反应性:Mouse
分子量:21 kDa
应用稀释比例:IHC-P=1:100-500, IHC-F=1:100-500, IF=1:100-500
防腐剂:0.01M TBS (pH7.4) with 1% rAlbumin, 0.02% Proclin300 and 50% Glycerol.
纯化:Affinity purified by Protein A
保存说明:Maintain refrigerated at 2-8°C for up to 2 weeks. For long term storage store at -20°C in small aliquots to prevent freeze-thaw cycles.
Pubmed:41115909
UniProt ID:P04637
Note:For research use only.

Blank control (blue line): Hela (blue). Primary Antibody (green line): Rabbit Anti-Mtp53 (N235K N239Y) antibody (orb11211), Dilution: 1 µg/10^6 cells, Isotype Control Antibody (orange line): Rabbit IgG. Secondary Antibody (white blue line): Goat anti-rabbit IgG-FITC, Dilution: 1 µg/Test. Protocol, The cells were fixed with 70% ethanol (Overnight at 4°C) and then permeabilized with 90% ice-cold methanol for 30 min on ice. Cells stained with Primary Antibody for 30 min at room temperature. The cells were then incubated in 1 X PBS/2% BSA/10% goat serum to block non-specific protein-protein interactions followed by the antibody for 15 min at room temperature. The secondary antibody used for 40 min at room temperature. Acquisition of 20000 events was performed.

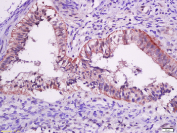
Fixative-fixed, paraffin embedded (Human cervical carcinoma), Antigen retrieval by boiling in sodium citrate buffer (pH6.0) for 15 min, Block endogenous peroxidase by 3% hydrogen peroxide for 20 minutes, Blocking buffer (normal goat serum) at 37°C for 30 min, Antibody incubation with (Mtp53 (N235K N239Y)) Polyclonal Antibody, Unconjugated (orb11211) at 1:400 overnight at 4°C, followed by a conjugated secondary antibody for 20 minutes and DAB staining.

Tissue/Cell: Hela, 4% Fixative-fixed, Triton X-100 at room temperature for 20 min, Blocking buffer (normal goat serum) at 37°C for 20 min, Antibody incubation with (Mtp53 (N235K N239Y)) Polyclonal Antibody, Unconjugated (orb11211) 1:200, 90 minutes at 37°C, followed by a conjugated Goat Anti-Rabbit IgG antibody (orb868805) at 37°C for 90 minutes, DAPI (blue) was used to stain the cell nuclei.
风险提示:丁香通仅作为第三方平台,为商家信息发布提供平台空间。用户咨询产品时请注意保护个人信息及财产安全,合理判断,谨慎选购商品,商家和用户对交易行为负责。对于医疗器械类产品,请先查证核实企业经营资质和医疗器械产品注册证情况。
文献和实验该产品被引用文献
Abhijit Basu 1, Peters Thorsten 2, Björn Schumacher 3, Dimitris Kletsas 4, Karin Scharffetter-Kochanek 5 2 The dark side of the light (UVA): melanoma microenvironment and cell survival strategies Cell Death Discov, (2025)
技术资料暂无技术资料 索取技术资料
文献支持
Mutant p53 (N235K, N239Y) Rabbit Polyclonal Antibody抗体,orb11211,biorbyt
¥3120










