产品描述:CDKN1A/p21 Rabbit Polyclonal Antibody
别名:CDN1A_HUMAN; Cyclin-dependent kinase inhibitor 1; CDKN1A; CAP20; CDKN1; CIP1; MDA6; MDA-6; PIC1; SDI1; WAF1; p21CIP1; CDK-interacting protein 1; Melanoma differentiation-associated protein 6(MDA-6);
免疫原:KLH conjugated synthetic peptide derived from human P21 (101-164/164aa)
预测反应性:Bovine, Canine, Gallus
分子量:18 kDa
应用稀释比例:IHC-P=1:100-500, IHC-F=1:100-500, ICC/IF=1:100-500, IF=1:100-500, Flow-Cyt=1μg/Test
防腐剂:0.01M TBS (pH7.4) with 1% rAlbumin, 0.02% Proclin300 and 50% Glycerol.
纯化:Affinity purified by Protein A
保存说明:Maintain refrigerated at 2-8°C for up to 2 weeks. For long term storage store at -20°C in small aliquots to prevent freeze-thaw cycles.
UniProt ID:P38936
Note:For research use only.
Blank control: 293T. Primary Antibody (green line): Rabbit Anti-CDKN1A/p21 antibody (orb11203), Dilution: 1 µg/10^6 cells, Isotype Control Antibody (orange line): Rabbit IgG. Secondary Antibody: Goat anti-rabbit IgG-FITC, Dilution: 1 µg/Test. Protocol, The cells were fixed with 4% PFA (10 min at room temperature) and then permeabilized with 0.1% PBST for 20 min at room temperature. The cells were then incubated in 5% BSA to block non-specific protein-protein interactions for 30 min at room temperature. Cells stained with Primary Antibody for 30 min at room temperature. The secondary antibody used for 40 min at room temperature. Acquisition of 20000 events was performed.

Fixative-fixed, paraffin embedded (human breast carcinoma), Antigen retrieval by boiling in sodium citrate buffer (pH6.0) for 15 min, Block endogenous peroxidase by 3% hydrogen peroxide for 20 minutes, Blocking buffer (normal goat serum) at 37°C for 30 min, Antibody incubation with (CDKN1A) Polyclonal Antibody, Unconjugated (orb11203) at 1:200 overnight at 4°C, followed by operating according to SP Kit (Rabbit) instructionsand DAB staining.
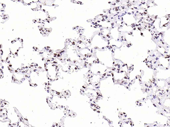
Fixative-fixed, paraffin embedded (mouse lung), Antigen retrieval by boiling in sodium citrate buffer (pH6.0) for 15 min, Block endogenous peroxidase by 3% hydrogen peroxide for 20 minutes, Blocking buffer (normal goat serum) at 37°C for 30 min, Antibody incubation with (CDKN1A) Polyclonal Antibody, Unconjugated (orb11203) at 1:200 overnight at 4°C, followed by operating according to SP Kit (Rabbit) instructionsand DAB staining.
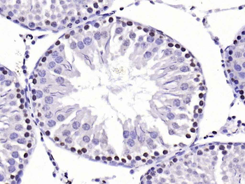
Fixative-fixed, paraffin embedded (mouse testis), Antigen retrieval by boiling in sodium citrate buffer (pH6.0) for 15 min, Block endogenous peroxidase by 3% hydrogen peroxide for 20 minutes, Blocking buffer (normal goat serum) at 37°C for 30 min, Antibody incubation with (CDKN1A) Polyclonal Antibody, Unconjugated (orb11203) at 1:200 overnight at 4°C, followed by operating according to SP Kit (Rabbit) instructionsand DAB staining.
Fixative-fixed, paraffin embedded (rat lung), Antigen retrieval by boiling in sodium citrate buffer (pH6.0) for 15 min, Block endogenous peroxidase by 3% hydrogen peroxide for 20 minutes, Blocking buffer (normal goat serum) at 37°C for 30 min, Antibody incubation with (CDKN1A) Polyclonal Antibody, Unconjugated (orb11203) at 1:200 overnight at 4°C, followed by operating according to SP Kit (Rabbit) instructionsand DAB staining.
Fixative-fixed, paraffin embedded (rat testis), Antigen retrieval by boiling in sodium citrate buffer (pH6.0) for 15 min, Block endogenous peroxidase by 3% hydrogen peroxide for 20 minutes, Blocking buffer (normal goat serum) at 37°C for 30 min, Antibody incubation with (CDKN1A) Polyclonal Antibody, Unconjugated (orb11203) at 1:200 overnight at 4°C, followed by operating according to SP Kit (Rabbit) instructionsand DAB staining.
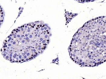
Fixative-fixed, paraffin embedded (rat uterus), Antigen retrieval by boiling in sodium citrate buffer (pH6.0) for 15 min, Block endogenous peroxidase by 3% hydrogen peroxide for 20 minutes, Blocking buffer (normal goat serum) at 37°C for 30 min, Antibody incubation with (CDKN1A) Polyclonal Antibody, Unconjugated (orb11203) at 1:200 overnight at 4°C, followed by operating according to SP Kit (Rabbit) instructionsand DAB staining.
Tissue/Cell: HUVEC cell, 4% Fixative-fixed, Triton X-100 at room temperature for 20 min, Blocking buffer (normal goat serum) at 37°C for 20 min, Antibody incubation with (CDKN1A/p21) Polyclonal Antibody, Unconjugated (orb11203) 1:100, 90 minutes at 37°C, followed by a conjugated Goat Anti-Rabbit IgG antibody (orb868805) at 37°C for 90 minutes, DAPI (blue) was used to stain the cell nuclei.