相关产品推荐更多 >
万千商家帮你免费找货
0 人在求购买到急需产品
- 详细信息
- 文献和实验
- 技术资料
- 抗体名:
MIF antibody抗体
- 抗体英文名:
MIF antibody
- 靶点:
MIF
- 浓度:
- 100 μg (in 200 μl): 0.5 mg/ml- 200 μg (in 400 μl): 0.5 mg/ml
- 应用范围:
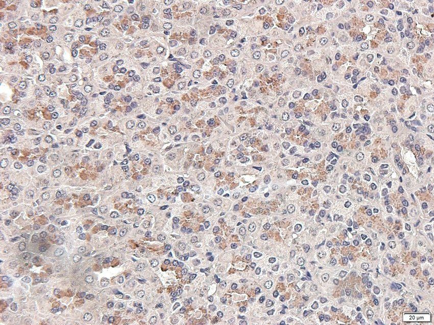
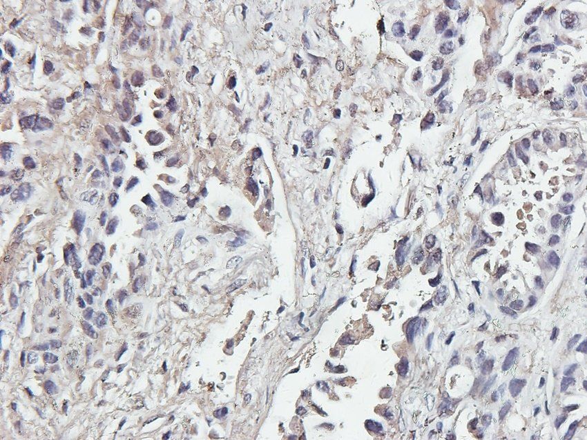
ICC, IF, IHC-P, WB
- 宿主:
Rabbit
- 适应物种:
Human, Mouse, Rat
- 保质期:
6-12个月
- 抗原来源:
详询
- 目录编号:
orb11051
- 级别:
科研级
- 库存:
88
- 供应商:
biorbyt
- 标记物:
Unconjugated
- 克隆性:
Polyclonal
- 形态:
10 mM PBS, 0.02% sodium azide
- 亚型:
IgG
- 免疫原:
KLH conjugated synthetic peptide derived from human MIF. Please contact us for the exact immunogen sequence. The peptide is available as orb374733.
- 规格:
20 ug (trial size)
别名:anti acrophage migration inhibitory factor (glycosylation-inhibiting factor) antibody, anti GIF antibody, anti GLIF antibody, anti Glycosylation inhibiting factor antibody, anti Glycosylation-inhibiting factor antibody, anti L-dopachrome isomerase antibody, anti L-dopachrome tautomerase antibody, anti MIF antibody, anti MIF protein antibody, anti MIF_HUMAN antibody, anti MMIF antibody, anti Phenylpyruvate tautomerase antibody
免疫原:KLH conjugated synthetic peptide derived from human MIF. Please contact us for the exact 免疫原 sequence. The peptide is available as orb374733.
分子量:12 kDa
应用稀释比例:IF/ICC: 1:50-500, IHC-P: 1:50-500, WB: 1:200-2000
纯度:Polyclonal antibodies are purified by peptide affinity chromatography
保存说明:Maintain refrigerated at 2-8°C for up to 2 weeks. For long term storage store at -20°C in small aliquots to prevent freeze-thaw cycles.
Entrez:4282
UniProt ID:P30904, P14174, P34884
Note:For research use only.





风险提示:丁香通仅作为第三方平台,为商家信息发布提供平台空间。用户咨询产品时请注意保护个人信息及财产安全,合理判断,谨慎选购商品,商家和用户对交易行为负责。对于医疗器械类产品,请先查证核实企业经营资质和医疗器械产品注册证情况。
文献和实验基于多重免疫荧光 (mIF) 技术的空间表型特征用以开发新一代生物标志物
越来越多的研究表明,基于多重免疫荧光(mIF)技术的空间表型特征正在用以开发新一代生物标志物,它使用多重抗体面板在完整组织样本中通过所处环境中的功能和状态来描述肿瘤和免疫细胞的特征。不同的细胞密度模式和相互作用构成的细胞间肿瘤微环境中(TME)已被证明可以对疾病结果和免疫治疗反应高度预测。 在《空间表型特征:表征实体肿瘤和预测免疫治疗反应的新型生物标志物》白皮书中介绍了基于 mIF 的空间表型特征作为新一代生物标志物发现的案例,意义和价值。 目前,只有少数经 FDA 批准
上海西唐生物科技有限公司 021-55229872, 65333639 www.westang.com 人巨噬细胞移动抑制因子 ( MIF )ELISA 试剂盒 ( 用于血清、血浆、细胞培养上清液和其它生物体液内 ) 原理 本实验采用双抗体夹心 ABC-ELISA 法。用抗人 MIF 单抗包被于酶标板上,标准品和样品中的 MIF与单抗结合,加入生物素化的抗人 MIF
上海西唐生物科技有限公司 021-55229872, 65333639 www.westang.com 小鼠巨噬细胞移动抑制因子 ( MIF )ELISA 试剂盒 ( 用于血清、血浆、细胞培养上清液和其它生物体液内 ) 原理 本实验采用双抗体夹心 ABC-ELISA 法。用抗小鼠 MIF 单抗包被于酶标板上,标准品和样品中的 MIF与单抗结合,加入生物素化的抗小鼠
技术资料暂无技术资料 索取技术资料










