相关产品推荐更多 >

MARCH9 Antibody (BF647) 抗体,orb1609397,Biorbyt
¥4796
Anti-TNFRSF5 / CD40 Reference Antibody 抗体,orb1805541,Biorbyt
¥781
Anti-Siglec-2 / CD22 Reference Antibody (pinatuzumab) 抗体,orb1818399,Biorbyt
¥7293
C2 Antibody (N-term) 抗体,orb1938813,Biorbyt
¥7293
GIMAP4 Antibody - C-terminal region : HRP 抗体,orb2095343,Biorbyt
¥8216
万千商家帮你免费找货
0 人在求购买到急需产品
- 详细信息
- 文献和实验
- 技术资料
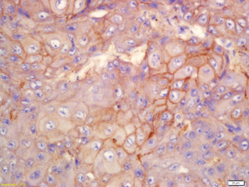
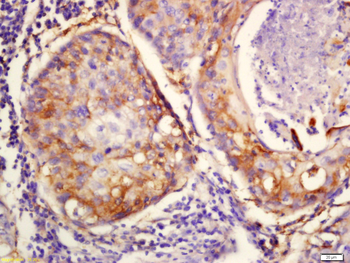
- 抗体名:
Integrin Alpha V Rabbit Polyclonal Antibody抗体
- 抗体英文名:
Integrin Alpha V Rabbit Polyclonal Antibody
- 靶点:
ITGAV
- 浓度:
1mg/ml
- 应用范围:
IF, IHC-Fr, IHC-P, IP, WB
- 宿主:
Rabbit
- 适应物种:
Human, Mouse, Rat
- 保质期:
6-12个月
- 抗原来源:
详询
- 目录编号:
orb10927
- 级别:
科研级
- 库存:
88
- 供应商:
biorbyt
- 标记物:
Unconjugated
- 克隆性:
Polyclonal
- 保存条件:
参考产品说明书
- 形态:
Liquid
- 亚型:
IgG
- 免疫原:
KLH conjugated synthetic peptide derived from human Integrin Alpha V
- 规格:
50 ul
别名:CD51; Integrin alpha five; Integrin alpha-V light chain; ITGAV; Msk8;Vitronectin receptor subunit alpha; VNRA; VTNR.
免疫原:KLH conjugated synthetic peptide derived from human Integrin Alpha V
预测反应性:Mouse, Rat
分子量:125 kDa
应用稀释比例:WB=1:500-2000, IHC-P=1:100-500, IHC-F=1:100-500, IF=1:100-500, IP=1:20-50
防腐剂:0.01M TBS (pH7.4) with 1% rAlbumin, 0.02% Proclin300 and 50% Glycerol.
纯化:Affinity purified by Protein A
保存说明:Maintain refrigerated at 2-8°C for up to 2 weeks. For long term storage store at -20°C in small aliquots to prevent freeze-thaw cycles.
Pubmed:38184829, 30691475
UniProt ID:P06756
Note:For research use only.






风险提示:丁香通仅作为第三方平台,为商家信息发布提供平台空间。用户咨询产品时请注意保护个人信息及财产安全,合理判断,谨慎选购商品,商家和用户对交易行为负责。对于医疗器械类产品,请先查证核实企业经营资质和医疗器械产品注册证情况。
文献和实验In situ hybridisation to alpha satellite sequences (chromosome specific)
solution and replace with mouse anti-biotin antibody diluted 1:100 in blocking solution for 40 minutes at 37C. We currently use DAKO antibody #M0743, 100-200m l per slide. (10) Wash with blocking solution for 10 minutes (11) Incubate with rabbit
v468.Chapter 3 分泌型跨膜相关蛋白提纯及Wnt抑制活性
). 9. Secondary antibody to use with goat polyclonal reagent: donkeyanti-goat IgG-horseradish peroxidase (HRP) (sc-2056;Santa Cruz Biotechnology). 10. Secondary antibody to use with rabbit polyclonal reagent: donkey anti-rabbit IgG-HRP (#NA934V, GE
V294.PART II,Chapter 5 细胞粘附实验(英文版)
7.4) and incubate at room temperature for 1 h. 3. Remove coating solution and add 1 mL of 1% w/v BSA in PBS. Incubate at roomtemperature for 1 h. 4. Remove BSA solution. Wash twice with PBS. 3.2.1.3. PREPARATION OF PURIFIED SUBSTRATE ON GLASS COVER
技术资料暂无技术资料 索取技术资料






