产品封面图
文献支持

FGF8 Rabbit Polyclonal Antibod

y抗体,orb10653,biorbyt
收藏
  • ¥3120
  • biorbyt已认证
  • orb10653
  • 英国
  • 2025年12月03日
  • IF, IHC-Fr, IHC-P
  • Rabbit
  • Human, Mouse, Rat
avatar
品牌商
13钻石会员
  • 企业认证

    点击 QQ 联系

    • 详细信息
    • 文献和实验
    • 技术资料
    • 抗体名

      FGF8 Rabbit Polyclonal Antibody抗体

    • 抗体英文名

      FGF8 Rabbit Polyclonal Antibody

    • 靶点

      FGF8

    • 浓度

      1mg/ml

    • 应用范围

      IF, IHC-Fr, IHC-P

    • 宿主

      Rabbit

    • 适应物种

      Human, Mouse, Rat

    • 保质期

      6-12个月

    • 抗原来源

      详询

    • 目录编号

      orb10653

    • 级别

      科研级

    • 库存

      88

    • 供应商

      biorbyt

    • 标记物

      Unconjugated

    • 克隆性

      Polyclonal

    • 保存条件

      参考产品说明书

    • 形态

      Liquid

    • 亚型

      IgG

    • 免疫原

      KLH conjugated synthetic peptide derived from human FGF8 (131-233/233aa)

    • 规格

      50 ul

    产品描述:FGF8 Rabbit Polyclonal Antibody

    别名:AIGF; Androgen induced growth factor; Androgen-induced growth factor; FGF 8; FGF-8; FGF8; Fibroblast growth factor 8(androgen induced); Fibroblast growth factor 8 precursor; HBGF 8; HBGF-8; HBGF8; FGF8_HUMAN.

    免疫原:KLH conjugated synthetic peptide derived from human FGF8 (131-233/233aa)

    预测反应性:Bovine, Canine, Gallus, Porcine, Sheep

    分子量:27 kDa

    应用稀释比例:IHC-P=1:100-500, IHC-F=1:100-500, IF=1:100-500

    防腐剂:0.01M TBS (pH7.4) with 1% rAlbumin, 0.02% Proclin300 and 50% Glycerol.

    纯化:Affinity purified by Protein A

    保存说明:Maintain refrigerated at 2-8°C for up to 2 weeks. For long term storage store at -20°C in small aliquots to prevent freeze-thaw cycles.

    Pubmed:31298492

    UniProt ID:P55075

    Note:For research use only.

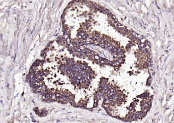
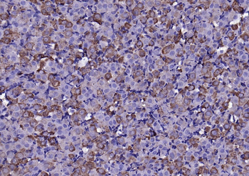
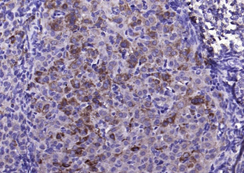
    产品细节图片1
    paraffin embedded (human prostate), Antigen retrieval by boiling in sodium citrate buffer (pH6.0) for 15 min, Block endogenous peroxidase by 3% hydrogen peroxide for 20 minutes, Blocking buffer (normal goat serum) at 37°C for 30 min, Antibody incubation with (FGF8) Polyclonal Antibody, Unconjugated (orb10653) at 1:200 overnight at 4°C, followed by operating according to SP Kit (Rabbit) instructionsand DAB staining.

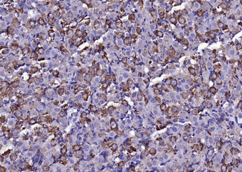
    产品细节图片2
    Fixative-fixed, paraffin embedded (human prostate), Antigen retrieval by boiling in sodium citrate buffer (pH6.0) for 15 min, Block endogenous peroxidase by 3% hydrogen peroxide for 20 minutes, Blocking buffer (normal goat serum) at 37°C for 30 min, Antibody incubation with (FGF8) Polyclonal Antibody, Unconjugated (orb10653) at 1:200 overnight at 4°C, followed by operating according to SP Kit (Rabbit) instructionsand DAB staining.

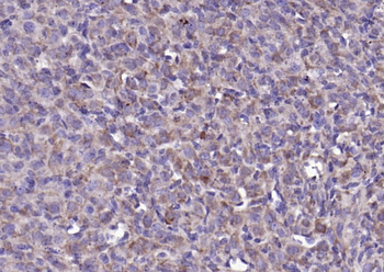
    产品细节图片3
    Fixative-fixed, paraffin embedded (mouse ovary), Antigen retrieval by boiling in sodium citrate buffer (pH6.0) for 15 min, Block endogenous peroxidase by 3% hydrogen peroxide for 20 minutes, Blocking buffer (normal goat serum) at 37°C for 30 min, Antibody incubation with (FGF8) Polyclonal Antibody, Unconjugated (orb10653) at 1:200 overnight at 4°C, followed by operating according to SP Kit (Rabbit) instructionsand DAB staining.

    产品细节图片4
    Fixative-fixed, paraffin embedded (mouse ovary), Antigen retrieval by boiling in sodium citrate buffer (pH6.0) for 15 min, Block endogenous peroxidase by 3% hydrogen peroxide for 20 minutes, Blocking buffer (normal goat serum) at 37°C for 30 min, Antibody incubation with (FGF8) Polyclonal Antibody, Unconjugated (orb10653) at 1:200 overnight at 4°C, followed by operating according to SP Kit (Rabbit) instructionsand DAB staining.

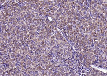
    产品细节图片5
    Fixative-fixed, paraffin embedded (rat ovary), Antigen retrieval by boiling in sodium citrate buffer (pH6.0) for 15 min, Block endogenous peroxidase by 3% hydrogen peroxide for 20 minutes, Blocking buffer (normal goat serum) at 37°C for 30 min, Antibody incubation with (FGF8) Polyclonal Antibody, Unconjugated (orb10653) at 1:200 overnight at 4°C, followed by operating according to SP Kit (Rabbit) instructionsand DAB staining.

    产品细节图片6
    Fixative-fixed, paraffin embedded (rat ovary), Antigen retrieval by boiling in sodium citrate buffer (pH6.0) for 15 min, Block endogenous peroxidase by 3% hydrogen peroxide for 20 minutes, Blocking buffer (normal goat serum) at 37°C for 30 min, Antibody incubation with (FGF8) Polyclonal Antibody, Unconjugated (orb10653) at 1:200 overnight at 4°C, followed by operating according to SP Kit (Rabbit) instructionsand DAB staining.

    产品细节图片7
    Fixative-fixed, paraffin embedded (rat ovary), Antigen retrieval by boiling in sodium citrate buffer (pH6.0) for 15 min, Block endogenous peroxidase by 3% hydrogen peroxide for 20 minutes, Blocking buffer (normal goat serum) at 37°C for 30 min, Antibody incubation with (FGF8) Polyclonal Antibody, Unconjugated (orb10653) at 1:200 overnight at 4°C, followed by operating according to SP Kit (Rabbit) instructionsand DAB staining.

    产品细节图片8
    Fixative-fixed, paraffin embedded (Rat ovary), Antigen retrieval by boiling in sodium citrate buffer (pH6.0) for 15 min, Block endogenous peroxidase by 3% hydrogen peroxide for 20 minutes, Blocking buffer (normal goat serum) at 37°C for 30 min, Antibody incubation with (FGF8) Polyclonal Antibody, Unconjugated (orb10653) at 1:400 overnight at 4°C, followed by a conjugated secondary antibody for 20 minutes and DAB staining.

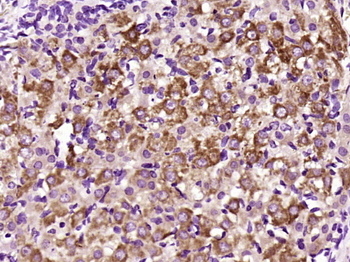
    产品细节图片9
    Fixative-fixed, paraffin embedded (rat prostate), Antigen retrieval by boiling in sodium citrate buffer (pH6.0) for 15 min, Block endogenous peroxidase by 3% hydrogen peroxide for 20 minutes, Blocking buffer (normal goat serum) at 37°C for 30 min, Antibody incubation with (FGF8) Polyclonal Antibody, Unconjugated (orb10653) at 1:200 overnight at 4°C, followed by operating according to SP Kit (Rabbit) instructionsand DAB staining.

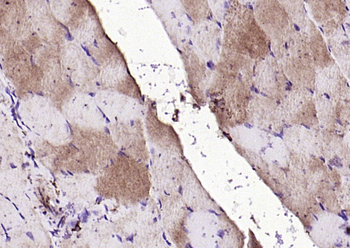
    产品细节图片10
    Fixative-fixed, paraffin embedded (rat skeletal muscle), Antigen retrieval by boiling in sodium citrate buffer (pH6.0) for 15 min, Block endogenous peroxidase by 3% hydrogen peroxide for 20 minutes, Blocking buffer (normal goat serum) at 37°C for 30 min, Antibody incubation with (FGF8) Polyclonal Antibody, Unconjugated (orb10653) at 1:200 overnight at 4°C, followed by operating according to SP Kit (Rabbit) instructionsand DAB staining.

    风险提示:丁香通仅作为第三方平台,为商家信息发布提供平台空间。用户咨询产品时请注意保护个人信息及财产安全,合理判断,谨慎选购商品,商家和用户对交易行为负责。对于医疗器械类产品,请先查证核实企业经营资质和医疗器械产品注册证情况。

    图标文献和实验
    该产品被引用文献
    Palmquist-Gomes, Paul et al. Cellular identities in an unusual presentation of cyclopia in a chick embryo J. Exp. Zool. B Mol. Dev. Evol., (2019)
    相关实验
    • Polyclonal Antibody Production

      Zealand White Rabbits and have them delivered to the ARC. Don’t put all your eggs in one basket only using one rabbit. Let them get accustomed to there home there for two weeks before the first pre-bleed. Pre-bleed        

    • Polyclonal Antibody Production

        Polyclonal Antibody Production Very useful for rapid and simple generation of antibodies for western blots, ELISA assays, and immunoprecipitation.     Rabbit Immunization Initial Preparation Your antigen

    • Preparation of Polyclonal Antibodies to Retinoid Receptors

      rabbit-antibody production and affinity purification. Suggestions for potential applications in the study of retinoid-molecular biology are also discussed.

    图标技术资料

    暂无技术资料 索取技术资料

    同类产品报价

    产品名称
    产品价格
    公司名称
    报价日期
    ¥30667
    武汉博欧特生物科技有限公司
    2025年07月13日询价
    ¥1500
    爱必信(上海)生物科技有限公司
    2025年07月10日询价
    ¥1280
    湖北艾普蒂生物工程有限公司
    2025年07月11日询价
    ¥4900
    上海瑶韵生物科技有限公司
    2025年06月03日询价
    ¥3885
    北京智杰方远科技有限公司
    2025年06月03日询价
    文献支持
    FGF8 Rabbit Polyclonal Antibody抗体,orb10653,biorbyt
    ¥3120