相关产品推荐更多 >
万千商家帮你免费找货
0 人在求购买到急需产品
- 详细信息
- 文献和实验
- 技术资料
- 抗体名:
CCR7 Rabbit Polyclonal Antibody抗体
- 抗体英文名:
CCR7 Rabbit Polyclonal Antibody
- 靶点:
CCR7
- 浓度:
1mg/ml
- 应用范围:
FC, ICC, IF, IHC-Fr, IHC-P, WB
- 宿主:
Rabbit
- 适应物种:
Human, Mouse, Rat
- 保质期:
6-12个月
- 抗原来源:
详询
- 目录编号:
orb10276
- 级别:
科研级
- 库存:
88
- 供应商:
biorbyt
- 标记物:
Unconjugated
- 克隆性:
Polyclonal
- 保存条件:
参考产品说明书
- 形态:
Liquid
- 亚型:
IgG
- 免疫原:
KLH conjugated synthetic peptide derived from human CCR7 (25-59/379aa)
- 规格:
50 ul
产品描述:CCR7 Rabbit Polyclonal Antibody
别名:CCR7_HUMAN; BLR 2; BLR2; C C chemokine receptor type 7; C C CKR 7; CC chemokine receptor 7; CC chemokine receptor type 7; CC CKR 7; CCCKR7; CCR 7; CD 197; CD197; CD197 antigen; CDW197; Chemokine C C motif receptor 7; Chemokine C C receptor 7; Chemokine receptor 7-like protein; EBI 1; EBI1; Ebi1h; EBV Induced G Protein Coupled Receptor 1; Epstein Barr virus induced G protein coupled receptor; Epstein Barr virus induced gene 1; EVI 1; EVI1; Lymphocyte Specific G Protein Coupled Peptide Receptor; MGC108519; MIP 3 beta receptor; MIP3 beta Receptor.
免疫原:KLH conjugated synthetic peptide derived from human CCR7 (25-59/379aa)
预测反应性:Canine
分子量:42 kDa
应用稀释比例:WB=1:500-2000, IHC-P=1:100-500, IHC-F=1:100-500, ICC/IF=1:100-500, IF=1:100-500, Flow-Cyt=1μg/Test
防腐剂:0.01M TBS (pH7.4) with 1% rAlbumin, 0.02% Proclin300 and 50% Glycerol.
纯化:Affinity purified by Protein A
保存说明:Maintain refrigerated at 2-8°C for up to 2 weeks. For long term storage store at -20°C in small aliquots to prevent freeze-thaw cycles.
Pubmed:40658323, 28930757
UniProt ID:P32248
Note:For research use only.









别名:CCR7_HUMAN; BLR 2; BLR2; C C chemokine receptor type 7; C C CKR 7; CC chemokine receptor 7; CC chemokine receptor type 7; CC CKR 7; CCCKR7; CCR 7; CD 197; CD197; CD197 antigen; CDW197; Chemokine C C motif receptor 7; Chemokine C C receptor 7; Chemokine receptor 7-like protein; EBI 1; EBI1; Ebi1h; EBV Induced G Protein Coupled Receptor 1; Epstein Barr virus induced G protein coupled receptor; Epstein Barr virus induced gene 1; EVI 1; EVI1; Lymphocyte Specific G Protein Coupled Peptide Receptor; MGC108519; MIP 3 beta receptor; MIP3 beta Receptor.
免疫原:KLH conjugated synthetic peptide derived from human CCR7 (25-59/379aa)
预测反应性:Canine
分子量:42 kDa
应用稀释比例:WB=1:500-2000, IHC-P=1:100-500, IHC-F=1:100-500, ICC/IF=1:100-500, IF=1:100-500, Flow-Cyt=1μg/Test
防腐剂:0.01M TBS (pH7.4) with 1% rAlbumin, 0.02% Proclin300 and 50% Glycerol.
纯化:Affinity purified by Protein A
保存说明:Maintain refrigerated at 2-8°C for up to 2 weeks. For long term storage store at -20°C in small aliquots to prevent freeze-thaw cycles.
Pubmed:40658323, 28930757
UniProt ID:P32248
Note:For research use only.

Blank control (Black line): Mouse spleen (Black). Primary Antibody (green line): Rabbit Anti-CD4 antibody, Dilution: 3 µg/10^6 cells, Isotype Control Antibody (orange line): Rabbit IgG-PE. Secondary Antibody (white blue line): Goat anti-rabbit IgG-PE, Dilution: 1 µg/test. Protocol, The cells were fixed with 4% PFA (10 min at room temperature) and then permeabilized with 90% ice-cold methanol for 20 min at room temperature. The cells were then incubated in 5% BSA to block non-specific protein-protein interactions for 30 min at room temperature. Cells stained with Primary Antibody for 30 min at room temperature. The secondary antibody used for 40 min at room temperature. Acquisition of 20000 events was performed.

Blank control: Raji (blue). Primary Antibody: Rabbit Anti-CCR7 antibody (orb10276), Dilution: 1 µg in 100 µL 1X PBS containing 0.5% BSA, Isotype Control Antibody: Rabbit IgG (orange), used under the same conditions, Secondary Antibody: Goat anti-rabbit IgG-PE (white blue), Dilution: 1:200 in 1 X PBS containing 0.5% BSA. Protocol, The cells were fixed with 2% Fixative (10 min). Primary antibody (orb10276, 1 µg/1x10^6 cells) were incubated for 30 min on the ice, followed by 1 X PBS containing 0.5% BSA + 10% goat serum (15 min) to block non-specific protein-protein interactions. Then the Goat Anti-rabbit IgG/PE antibody was added into the blocking buffer mentioned above to react with the primary antibody at 1/200 dilution for 30 min on ice. Acquisition of 20000 events was performed.

Blank control: THP-1. Primary Antibody (green line): Rabbit Anti-CCR7 antibody (orb10276), Dilution: 1 µg/10^6 cells, Isotype Control Antibody (orange line): Rabbit IgG. Secondary Antibody: Goat anti-rabbit IgG-FITC, Dilution: 0.5 µg/test. Protocol, The cells were fixed with 4% PFA (10 min at room temperature) and then permeabilized with 0.1% PBST for 20 min at room temperature. The cells were then incubated in 5% BSA to block non-specific protein-protein interactions for 30 min at room temperature. Cells stained with Primary Antibody for 30 min at room temperature. The secondary antibody used for 40 min at room temperature. Acquisition of 20000 events was performed.

Hela cell, 4% Fixative-fixed, Triton X-100 at room temperature for 20 min, Blocking buffer (normal goat serum) at 37°C for 20 min, Antibody incubation with (CCR7) polyclonal Antibody, Unconjugated (orb10276) 1:100, 90 minutes at 37°C, followed by a conjugated Goat Anti-Rabbit IgG antibody at 37°C for 90 minutes, DAPI (blue) was used to stain the cell nuclei.

Hela cell, 4% Fixative-fixed, Triton X-100 at room temperature for 20 min, Blocking buffer (normal goat serum) at 37°C for 20 min, Antibody incubation with (CCR7) polyclonal Antibody, Unconjugated (orb10276) 1:100, 90 minutes at 37°C, followed by a conjugated Goat Anti-Rabbit IgG antibody at 37°C for 90 minutes, DAPI (blue) was used to stain the cell nuclei.

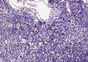
Fixative-fixed, paraffin embedded (RAT lymphoid), Antigen retrieval by boiling in sodium citrate buffer (pH6.0) for 15 min, Block endogenous peroxidase by 3% hydrogen peroxide for 20 minutes, Blocking buffer (normal goat serum) at 37°C for 30 min, Antibody incubation with (CCR7) Polyclonal Antibody, Unconjugated (orb10276) at 1:200 overnight at 4°C, followed by operating according to SP Kit (Rabbit) instructionsand DAB staining.

Sample: Lane 1: Mouse Bone tissue lysates, Lane 2: Mouse Raw264.7 cell lysates, Lane 3: Human Jurkat cell lysates, Lane 4: Human MCF-7 cell lysates, Lane 5: Human THP-1 cell lysates, Primary: Anti-CCR7 (orb10276) at 1/1000 dilution, Secondary: IRDye800CW Goat Anti-Rabbit IgG at 1/20000 dilution, Predicted band size: 42 kDa, Observed band size: 42 kDa.

Tissue/cell: human gastric tissue, 4% Fixative-fixed and paraffin-embedded, Antigen retrieval: citrate buffer (0.01M, pH 6.0), Boiling bathing for 15 min, Blocking buffer (normal goat serum) at 37℃ for 20 min, Incubation: Anti-CCR7 Polyclonal Antibody, Unconjugated (orb10276) 1:200, overnight at 4°C, The secondary antibody was Goat Anti-Rabbit IgG, FITC conjugated (orb868805) used at 1:200 dilution for 40 minutes at 37°C. DAPI (5 ug/ml, blue) was used to stain the cell nuclei.

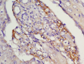
Tissue/cell: human laryngocarcinoma, 4% Fixative-fixed and paraffin-embedded, Antigen retrieval: citrate buffer (0.01M, pH 6.0), Boiling bathing for 15 min, Block endogenous peroxidase by 3% Hydrogen peroxide for 30 min, Blocking buffer (normal goat serum) at 37℃ for 20 min, Incubation: Anti-CCR7 Polyclonal Antibody, Unconjugated (orb10276) 1:200, overnight at 4°C, followed by conjugation to the secondary antibody and DAB staining.
风险提示:丁香通仅作为第三方平台,为商家信息发布提供平台空间。用户咨询产品时请注意保护个人信息及财产安全,合理判断,谨慎选购商品,商家和用户对交易行为负责。对于医疗器械类产品,请先查证核实企业经营资质和医疗器械产品注册证情况。
文献和实验该产品被引用文献
Hao Xu 1 2, Xin Li 1 2, Wenxue Wang 1 2, Li Zhen 1 2, Baodong Zhao Strontium-Doped Marine Collagen Membranes Promote Osteogenesis by Inducing M2 Macrophage Polarization Tissue Eng Regen Med, (2025), Li, Xuelu et al. High Expression of CCR7 Predicts Lymph Node Metastasis and Good Prognosis in Triple Negative Breast Cancer Cell Physiol Biochem, 43, 531-539 (2017)
技术资料暂无技术资料 索取技术资料
文献支持
CCR7 Rabbit Polyclonal Antibody抗体,orb10276,biorbyt
¥3120










