相关产品推荐更多 >
万千商家帮你免费找货
0 人在求购买到急需产品
- 详细信息
- 文献和实验
- 技术资料
- 抗体名:
CSN2/TRIP15 Antibody抗体
- 抗体英文名:
CSN2/TRIP15 Antibody
- 靶点:
CSN2 / TRIP15
- 应用范围:
ELISA, IHC, WB
- 宿主:
Goat
- 适应物种:
Human, Mouse
- 保质期:
6-12个月
- 抗原来源:
详询
- 目录编号:
orb18512
- 级别:
科研级
- 库存:
88
- 供应商:
biorbyt
- 标记物:
Unconjugated
- 克隆性:
Polyclonal
- 规格:
100 ug
产品描述:Goat polyclonal antibody to CSN2
别名:anti CASB antibody, anti CSN 2 antibody, anti Csn2 antibody
预测反应性:Bovine, Canine, Rat
分子量:51.6; 52.4
应用稀释比例:ELISA: 1:16000, WB: 1-3 μg/ml, IHC-P: 3-5 μg/ml
应用注释:ELISA: Peptide ELISA: antibody detection limit dilution 1:16000.IHC: In paraffin embedded Human Thyroid Gland shows nclear and cytoplasm staining in activated epithelial cells Recommended concentration, 3-5ug/ml.WB: Approx. 48kDa band observed in Human Brain, Mouse Brain lysates and in lysates of Mouse putuitary cell line NIH3T3 (calculated MW of 51.6kDa according to NP_004227.1). Recommended concentration: 1-3 μg/ml.
防腐剂:Supplied at 0.5 mg/ml in Tris saline, 0.02% sodium azide, pH 7.3 with 0.5% bovine serum albumin. Aliquot and store at -20°C. Minimize freezing and thawing.
纯化:Purified from goat serum by ammonium sulphate precipitation followed by antigen affinity chromatography using the immunizing peptide.
序列:LNSLNQAVVSKLA
保存说明:Maintain refrigerated at 2-8°C for up to 2 weeks. For long term storage store at -20°C in small aliquots to prevent freeze-thaw cycles.
Pubmed:28647331, 30969118, 40802133, 30219419
Entrez:9318
Note:For research use only.


别名:anti CASB antibody, anti CSN 2 antibody, anti Csn2 antibody
预测反应性:Bovine, Canine, Rat
分子量:51.6; 52.4
应用稀释比例:ELISA: 1:16000, WB: 1-3 μg/ml, IHC-P: 3-5 μg/ml
应用注释:ELISA: Peptide ELISA: antibody detection limit dilution 1:16000.IHC: In paraffin embedded Human Thyroid Gland shows nclear and cytoplasm staining in activated epithelial cells Recommended concentration, 3-5ug/ml.WB: Approx. 48kDa band observed in Human Brain, Mouse Brain lysates and in lysates of Mouse putuitary cell line NIH3T3 (calculated MW of 51.6kDa according to NP_004227.1). Recommended concentration: 1-3 μg/ml.
防腐剂:Supplied at 0.5 mg/ml in Tris saline, 0.02% sodium azide, pH 7.3 with 0.5% bovine serum albumin. Aliquot and store at -20°C. Minimize freezing and thawing.
纯化:Purified from goat serum by ammonium sulphate precipitation followed by antigen affinity chromatography using the immunizing peptide.
序列:LNSLNQAVVSKLA
保存说明:Maintain refrigerated at 2-8°C for up to 2 weeks. For long term storage store at -20°C in small aliquots to prevent freeze-thaw cycles.
Pubmed:28647331, 30969118, 40802133, 30219419
Entrez:9318
Note:For research use only.

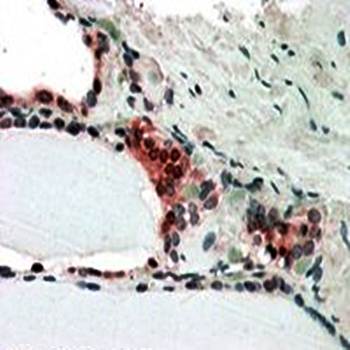
Immunohistochemical analysis of formalin-fixed and paraffin embedded Human Thyroid Gland shows nclear and cytoplasm (3-5ug/ml) using CSN2 antibody

Western blot analysis of NIH-3T3 lysates (0.03ug/ml) using CSN2 antibody
风险提示:丁香通仅作为第三方平台,为商家信息发布提供平台空间。用户咨询产品时请注意保护个人信息及财产安全,合理判断,谨慎选购商品,商家和用户对交易行为负责。对于医疗器械类产品,请先查证核实企业经营资质和医疗器械产品注册证情况。
文献和实验该产品被引用文献
Gao, H. N. et al. Combination of histidine, lysine, methionine, and leucine promotes β-casein synthesis via the mechanistic target of rapamycin signaling pathway in bovine mammary epithelial cells J Dairy Sci, 100, 7696-7709 (2017), Luo, Chaochao et al. Sestrin2 Negatively Regulates Casein Synthesis through the SH3BP4-mTORC1 Pathway in Response to AA Depletion or Supplementation in Cow Mammary Epithelial Cells J. Agric. Food Chem., (2019), Jinyu Zhou 1 2 3, Shuai Lian 1 2 3, Zijian Geng 1 2 3, Yuejie Yang 4 5 6, Rui Wu 7, Jianfa Wang 8 9 10 Lactiplantibacillus plantarum promotes lactoferrin synthesis and secretion in bovine mammary epithelial cells through STAT3 and AP-1 transcription factor pathways In Vitro Cell Dev Biol Anim, (2025), Dai, W. T. et al. Seryl-tRNA synthetase-mediated essential amino acids regulate β-casein synthesis via cell proliferation and mammalian target of rapamycin (mTOR) signaling pathway in bovine mammary epithelial cells J Dairy Sci, 101, 10456-10468 (2018)
技术资料暂无技术资料 索取技术资料
文献支持
CSN2/TRIP15 Antibody抗体,orb18512,biorbyt
¥6500










