相关产品推荐更多 >
万千商家帮你免费找货
0 人在求购买到急需产品
- 详细信息
- 技术资料
- 抗体名:
Gremlin 1 antibody抗体
- 抗体英文名:
Gremlin 1 antibody
- 靶点:
Gremlin 1
- 浓度:
- 100 μg (in 200 μl): 0.5 mg/ml- 200 μg (in 400 μl): 0.5 mg/ml
- 应用范围:
ICC, IF, IHC-P, WB
- 宿主:
Rabbit
- 适应物种:
Human, Mouse, Porcine, Rat
- 保质期:
6-12个月
- 抗原来源:
详询
- 目录编号:
orb10741
- 级别:
科研级
- 库存:
88
- 供应商:
biorbyt
- 标记物:
Unconjugated
- 克隆性:
Polyclonal
- 形态:
10 mM PBS, 0.02% sodium azide
- 亚型:
IgG
- 免疫原:
KLH conjugated synthetic peptide derived from human Gremlin 1. Please contact us for the exact immunogen sequence. The peptide is available as orb12894.
- 规格:
100 ug
产品描述:Gremlin 1 antibody
别名:anti Grem1 antibody, anti Grem 1 antibody, anti Gremlin1, antibody, anti Cysteine knot superfamily 1 antibody, anti Down-regulated in Mos-transformed cells protein antibody, anti Cktsf1b1 antibody, anti BMP antagonist 1 antibody, anti Drm antibody, anti Cell proliferation inducing gene 2 protein antibody, anti DAND2 antibody, anti Gremlin 1 like protein antibody, anti Gremlin-1 antibody, anti IHG-2 antibody, anti IHG2 antibody, anti Increased in high glucose protein 2 antibody, anti proliferation-inducing gene 2 antibody
免疫原:KLH conjugated synthetic peptide derived from human Gremlin 1. Please contact us for the exact 免疫原 sequence. The peptide is available as orb12894.
分子量:21 kDa
应用稀释比例:IF/ICC: 1:50-500, IHC-P: 1:50-500, WB: 1:200-1500
纯度:Polyclonal antibodies are purified by peptide affinity chromatography
保存说明:Maintain refrigerated at 2-8°C for up to 2 weeks. For long term storage store at -20°C in small aliquots to prevent freeze-thaw cycles.
Entrez:26585
UniProt ID:O70326, O60565, O35793
Note:For research use only.










别名:anti Grem1 antibody, anti Grem 1 antibody, anti Gremlin1, antibody, anti Cysteine knot superfamily 1 antibody, anti Down-regulated in Mos-transformed cells protein antibody, anti Cktsf1b1 antibody, anti BMP antagonist 1 antibody, anti Drm antibody, anti Cell proliferation inducing gene 2 protein antibody, anti DAND2 antibody, anti Gremlin 1 like protein antibody, anti Gremlin-1 antibody, anti IHG-2 antibody, anti IHG2 antibody, anti Increased in high glucose protein 2 antibody, anti proliferation-inducing gene 2 antibody
免疫原:KLH conjugated synthetic peptide derived from human Gremlin 1. Please contact us for the exact 免疫原 sequence. The peptide is available as orb12894.
分子量:21 kDa
应用稀释比例:IF/ICC: 1:50-500, IHC-P: 1:50-500, WB: 1:200-1500
纯度:Polyclonal antibodies are purified by peptide affinity chromatography
保存说明:Maintain refrigerated at 2-8°C for up to 2 weeks. For long term storage store at -20°C in small aliquots to prevent freeze-thaw cycles.
Entrez:26585
UniProt ID:O70326, O60565, O35793
Note:For research use only.

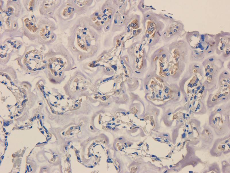
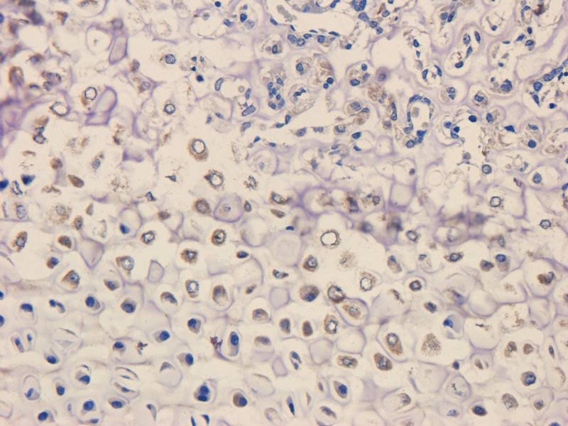
Immunohistochemical staining of mouse bone marrow tissue using Gremlin 1 antibody (dilution of primary antibody - 2.5 ug/ml)

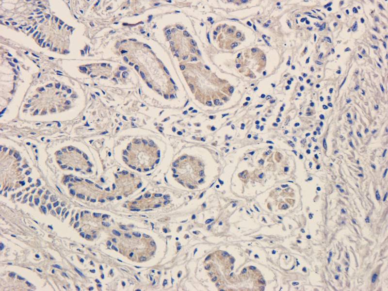
Immunohistochemical staining of pig stomach tissue using anti-Gremlin 1 (dilution of primary antibody - 2.5 ug/ml)

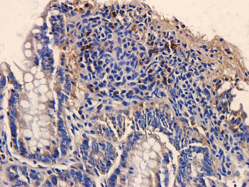
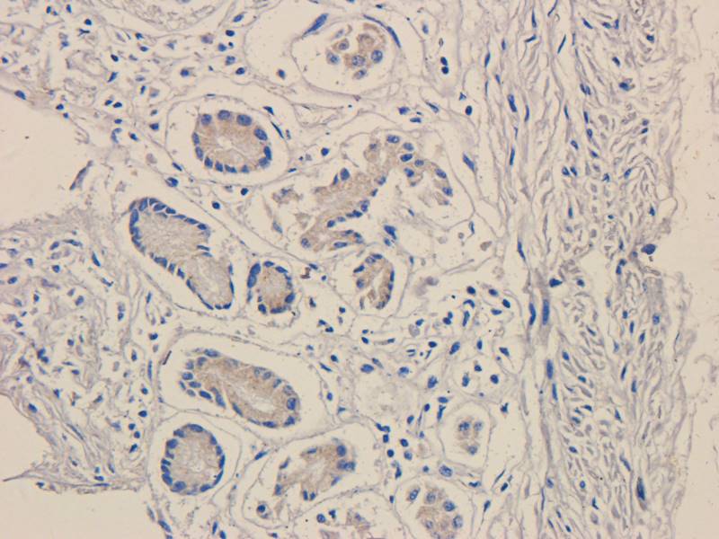
IHC-P staining of rat colon tissue using Gremlin 1 antibody (dilution at 2.5 ug/ml)

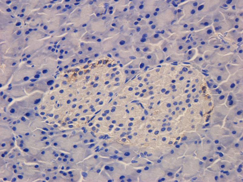
Immunohistochemical staining of paraffin embedded rat pancreas tissue using anti-Gremlin 1 (primary antibody at 2.5 ug/ml)

IF image of rat colon tissue using anti-Gremlin 1 (primary antibody at 2.5 ug/ml)

Western blot analysis of human lung cancer (lane 1), mouse testis (lane 2), mouse spinal cord (lane 3) using Gremlin 1 antibody (1 ug/ml)

Immunofluorescence analysis of mouse bone marrow tissue using Gremlin 1 antibody (dilution of primary antibody - 2.5 ug/ml)

IHC-P image of pig stomach tissue using anti-Gremlin 1 (dilution of primary antibody at 2.5 ug/ml)

IF analysis of rat colon tissue using anti-Gremlin 1 (dilution of primary antibody at 2.5 ug/ml)

Immunohistochemical staining of paraffin embedded mouse bone marrow tissue using anti-Gremlin 1 (primary antibody at 2.5 ug/ml)
风险提示:丁香通仅作为第三方平台,为商家信息发布提供平台空间。用户咨询产品时请注意保护个人信息及财产安全,合理判断,谨慎选购商品,商家和用户对交易行为负责。对于医疗器械类产品,请先查证核实企业经营资质和医疗器械产品注册证情况。
Gremlin 1 antibody抗体,orb10741,biorbyt
¥3640












