相关产品推荐更多 >

ETS2 Antibody - middle region : Biotin 抗体,orb2128792,Biorbyt
¥8216
MARVELD2 Antibody - middle region : HRP 抗体,orb2121539,Biorbyt
¥8216
ANKRA2 Antibody - C-terminal region : Biotin 抗体,orb2111389,Biorbyt
¥8216
Phospho-HDAC3 (Ser424) Antibody (BF647) 抗体,orb1601447,Biorbyt
¥4796
ACTL6A Antibody (N-term) 抗体,orb1934423,Biorbyt
¥7293
万千商家帮你免费找货
0 人在求购买到急需产品
- 详细信息
- 文献和实验
- 技术资料
- 抗体名:
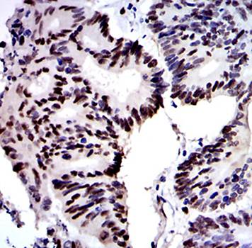
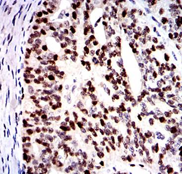
MCM2 Antibody抗体
- 抗体英文名:
MCM2 Antibody
- 靶点:
MCM2
- 浓度:
Approximately 1mg/ml (varies from batch to batch). Please inquire for precise concentration.
- 应用范围:
FC, ICC, IHC, WB
- 宿主:
Mouse
- 适应物种:
Human
- 保质期:
6-12个月
- 抗原来源:
详询
- 目录编号:
orb97394
- 级别:
科研级
- 库存:
88
- 供应商:
biorbyt
- 标记物:
Unconjugated
- 克隆性:
Monoclonal
- 亚型:
Mouse IgG1
- 免疫原:
Purified recombinant fragment of human MCM2 expressed in E. Coli.
- 规格:
100 ul
别名:BM28; CCNL1; CDCL1; cdc19; D3S3194; MITOTIN; KIAA0030; MGC10606
免疫原:Purified recombinant fragment of human MCM2 expressed in E. Coli.
克隆性:1E7C5
分子量:125kDa
应用稀释比例:WB: 1/500 - 1/2000; IHC: 1/200 - 1/1000; ICC: 1/200 - 1/1000; FCM: 1/200 - 1/400; ELISA: 1/10000
防腐剂:Purified antibody in PBS with 0.05% sodium azide.
保存说明:Maintain refrigerated at 2-8°C for up to 2 weeks. For long term storage store at -20°C in small aliquots to prevent freeze-thaw cycles.
Entrez:4171
UniProt ID:P49736
Note:For research use only.







风险提示:丁香通仅作为第三方平台,为商家信息发布提供平台空间。用户咨询产品时请注意保护个人信息及财产安全,合理判断,谨慎选购商品,商家和用户对交易行为负责。对于医疗器械类产品,请先查证核实企业经营资质和医疗器械产品注册证情况。
文献和实验Sci Adv:红得发紫的 cGAS,再添新功能!哈佛兰利团队发现它是 DNA 复制减速器
对放射化疗的敏感性。 图片来源:Science Advances cGAS 与染色质结合后遇到 DNA 中的复制叉作者研究了 cGAS 如何通过结合细胞核中的 DNA 来减慢复制。为了解 cGAS 如何与染色质上的其他蛋白质相互作用,作者下拉了 cGAS 并使用质谱分析发现,包括 MCM2,MCM3,MCM7,RecC1 和增殖细胞核抗原(PCNA)在内的一组复制叉组分被鉴定为与 cGAS 相互作用的蛋白。此外,cGAS 与 PCNA 共定位在细胞核中,这表明复制叉可能在染色质上遇到 cGAS
%CO2培养箱中培养。每周换液2 次,培养10-14 h,细胞分为两层,下一层为I型胶质细胞即原浆形胶质细胞,上一层是O-2A前体细胞,根据两类细胞贴壁能力的差异,以振荡培养技术进行分选,在37 ℃摇床上振荡,16 h(180 r/min)O-2A前体细胞可被摇下来,摇下来的细胞种植在涂有鼠尾胶的75mcm2塑料培养瓶中,培养液使用20 % 胎牛血清促进O-2A前体细胞分化为II型胶质细胞即纤维型胶质细胞。可分裂增殖的原浆形胶质细胞和纤维型胶质细胞可用于进一步传代培养,也可进行冷冻保存备用。纯度
培养箱中培养。每周换液2 次,培养10-14h,细胞分为两层,下一层为I型胶质细胞即原浆形胶质细胞,上一层是O-2A前体细胞,根据两类细胞贴壁能力的差异,以振荡培养技术进行分选,在37℃摇床上振荡,16 h(180r/min)O-2A前体细胞可被摇下来,摇下来的细胞种植在涂有鼠尾胶的75mcm2塑料培养瓶中,培养液使用20 % 胎牛血清促进O-2A前体细胞分化为II型胶质细胞即纤维型胶质细胞。可分裂增殖的原浆形胶质细胞和纤维型胶质细胞可用于进一步传代培养,也可进行冷冻保存备用。纯度鉴定可用胶质纤维酸性蛋白抗体
技术资料暂无技术资料 索取技术资料






