相关产品推荐更多 >
万千商家帮你免费找货
0 人在求购买到急需产品
- 详细信息
- 文献和实验
- 技术资料
- 抗体名:
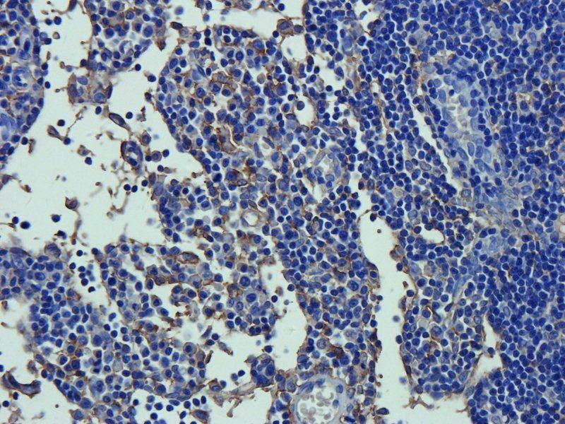
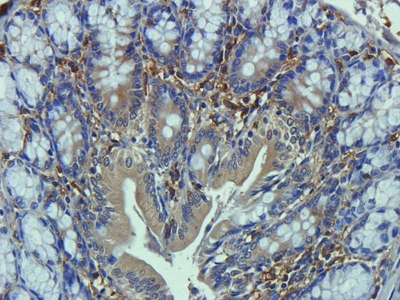
MRP2 antibody抗体
- 抗体英文名:
MRP2 antibody
- 靶点:
MRP2. Recognizes endogenous levels of NKp46 protein
- 浓度:
- 100 μg (in 200 μl): 0.5 mg/ml- 200 μg (in 400 μl): 0.5 mg/ml
- 应用范围:
ELISA, IHC-P, WB
- 宿主:
Rabbit
- 适应物种:
Human, Mouse, Rat
- 保质期:
6-12个月
- 抗原来源:
详询
- 目录编号:
orb11075
- 级别:
科研级
- 库存:
88
- 供应商:
biorbyt
- 标记物:
Unconjugated
- 克隆性:
Polyclonal
- 形态:
10 mM PBS, 0.02% sodium azide
- 亚型:
IgG
- 免疫原:
KLH conjugated synthetic peptide derived from human MRP2. Please contact us for the exact immunogen sequence. The peptide is available as orb374735.
- 规格:
500 ug
别名:anti multidrug resistance-associated protein2 antibody, anti ABC30 antibody, anti ABCC2 antibody, anti ATP binding cassette sub family C (CFTR/MRP) member 2 antibody, anti ATP binding cassette subfamily C member 2 antibody, anti Canalicular multidrug resistance protein antibody, anti Canalicular multispecific organic anion transporter 1 antibody, anti cMRP antibody, anti DJS antibody, anti KIAA1010 antibody, anti MRP 2 antibody, anti MRP-2 antibody, anti MRP2 antibody, anti Multidrug resistance associated protein 2 antibody, anti ATP-binding cassette sub-family C member 2 antibody, anti Multidrug resistance-associated protein 2. antibody, anti Multidrug resistance-associated protein 2 antibody
免疫原:KLH conjugated synthetic peptide derived from human MRP2. Please contact us for the exact 免疫原 sequence. The peptide is available as orb374735.
分子量:174 kDa
应用稀释比例:IHC-P: 1:100-500, WB: 1:100-1000
纯度:Polyclonal antibodies are purified by peptide affinity chromatography
保存说明:Maintain refrigerated at 2-8°C for up to 2 weeks. For long term storage store at -20°C in small aliquots to prevent freeze-thaw cycles.
NCBI:11, 000392, 000383, 41
Entrez:1244
UniProt ID:Q92887, Q63120
Note:For research use only.






风险提示:丁香通仅作为第三方平台,为商家信息发布提供平台空间。用户咨询产品时请注意保护个人信息及财产安全,合理判断,谨慎选购商品,商家和用户对交易行为负责。对于医疗器械类产品,请先查证核实企业经营资质和医疗器械产品注册证情况。
文献和实验In Vitro Characterization of Intestinal and Hepatic Transporters: MRP2
. Multidrug resistance-associated protein 2 (MRP2, ABCC2 ) is an ATP-dependent efflux pump that belongs to the ATP binding cassette (ABC) superfamily of transporters, and is localized at the apical membrane of polarized cells from a variety of human tissues
transporters, such as ABCB1 (P-glycoprotein/MDR1), ABCC1 (MRP1/GS-X pump), and ABCC2 (MRP2/cMOAT). To gain insight into the relationship between the molecular structure of compounds and the ABCG2-mediated transport activity, we have developed a high-speed
Multidrug Resistance Proteins and Hepatic Transport of Endo- and Xenobiotics
-dependent efflux, their tissue expression and cellular localization vary. MRP2 is most highly expressed in the liver at the canalicular domain and is the primary focus of this chapter. Several in vitro approaches to study drug transport in the liver
技术资料暂无技术资料 索取技术资料











