相关产品推荐更多 >
万千商家帮你免费找货
0 人在求购买到急需产品
- 详细信息
- 文献和实验
- 技术资料
- 抗体名:
IL6 antibody抗体
- 抗体英文名:
IL6 antibody
- 靶点:
IL6
- 浓度:
- 100 μg (in 200 μl): 0.5 mg/ml- 200 μg (in 400 μl): 0.5 mg/ml
- 应用范围:
ELISA, ICC, IF, IHC-P, WB
- 宿主:
Rabbit
- 保质期:
6-12个月
- 抗原来源:
详询
- 目录编号:
orb6210
- 级别:
科研级
- 库存:
88
- 供应商:
biorbyt
- 标记物:
Unconjugated
- 克隆性:
Polyclonal
- 形态:
10 mM PBS, 0.02% sodium azide
- 亚型:
IgG
- 免疫原:
KLH conjugated synthetic peptide derived from human IL6. Please contact us for the exact immunogen sequence. The peptide is available as orb374783.
- 规格:
100 ug
产品描述:IL6 antibody
别名:anti Interleukin BSF 2 antibody, anti B cell differentiation factor antibody, anti B cell stimulatory factor 2 antibody, anti BSF 2 antibody, anti BSF-2 antibody, anti BSF2 antibody, anti CDF antibody, anti CTL differentiation factor antibody, anti Cytotoxic T cell differentiation factor antibody, anti HGF antibody, anti HPGF antibody, anti HSF antibody, anti Hybridoma growth factor antibody, anti Hybridoma growth factor Interferon beta-2 antibody, anti Hybridoma plasmacytoma growth factor antibody, anti IFN-beta-2 antibody, anti IFNB2 antibody, anti IL 6 antibody, anti IL-6 antibody, anti IL6 antibody, anti IL6 protein antibody, anti Interferon beta 2 antibody, anti Interferon beta-2 antibody, anti Interleukin 6 (interferon beta 2) antibody, anti Interleukin 6 antibody, anti Interleukin BSF 2 antibody, anti Interleukin-6 antibody, anti Interleukin6 antibody
免疫原:KLH conjugated synthetic peptide derived from human IL6. Please contact us for the exact 免疫原 sequence. The peptide is available as orb374783.
分子量:24 kDa
应用稀释比例:IF/ICC: 1:100-800, WB:1:200-1000, IHC-P:1:100-800
纯度:Polyclonal antibodies are purified by peptide affinity chromatography
保存说明:Maintain refrigerated at 2-8°C for up to 2 weeks. For long term storage store at -20°C in small aliquots to prevent freeze-thaw cycles.
Pubmed:40033126, 30599261, 33627831
NCBI:11, 031168, 112445
Entrez:16193
UniProt ID:P20607, P08505
Note:For research use only.










别名:anti Interleukin BSF 2 antibody, anti B cell differentiation factor antibody, anti B cell stimulatory factor 2 antibody, anti BSF 2 antibody, anti BSF-2 antibody, anti BSF2 antibody, anti CDF antibody, anti CTL differentiation factor antibody, anti Cytotoxic T cell differentiation factor antibody, anti HGF antibody, anti HPGF antibody, anti HSF antibody, anti Hybridoma growth factor antibody, anti Hybridoma growth factor Interferon beta-2 antibody, anti Hybridoma plasmacytoma growth factor antibody, anti IFN-beta-2 antibody, anti IFNB2 antibody, anti IL 6 antibody, anti IL-6 antibody, anti IL6 antibody, anti IL6 protein antibody, anti Interferon beta 2 antibody, anti Interferon beta-2 antibody, anti Interleukin 6 (interferon beta 2) antibody, anti Interleukin 6 antibody, anti Interleukin BSF 2 antibody, anti Interleukin-6 antibody, anti Interleukin6 antibody
免疫原:KLH conjugated synthetic peptide derived from human IL6. Please contact us for the exact 免疫原 sequence. The peptide is available as orb374783.
分子量:24 kDa
应用稀释比例:IF/ICC: 1:100-800, WB:1:200-1000, IHC-P:1:100-800
纯度:Polyclonal antibodies are purified by peptide affinity chromatography
保存说明:Maintain refrigerated at 2-8°C for up to 2 weeks. For long term storage store at -20°C in small aliquots to prevent freeze-thaw cycles.
Pubmed:40033126, 30599261, 33627831
NCBI:11, 031168, 112445
Entrez:16193
UniProt ID:P20607, P08505
Note:For research use only.

IF image of mouse skin tissue using anti-IL6 (primary antibody at 1:200)

IHC-P staining of mouse skin tissue using anti-IL6 (dilution at 1:200)

Western blot analysis of mouse liver (lane 1), rat stomach (lane 2), mouse stomach (lane 3), rat spleen (lane 4) using IL6 antibody (1 ug/ml)

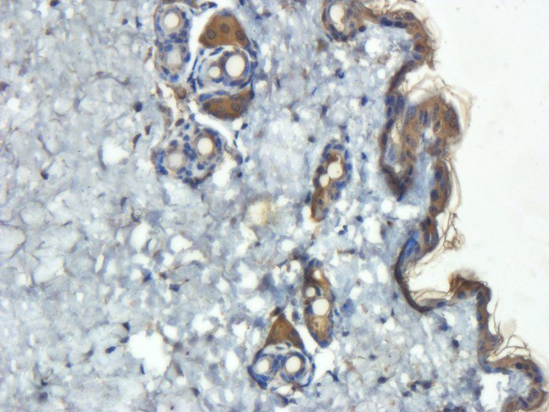
Immunohistochemical staining of paraffin embedded mouse skin tissue using anti-IL6 (2.5 ug/ml)

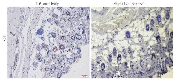
Immunohistochemical staining of mouse skin tissue using IL6 antibody (2.5 ug/ml)

Immunofluorescence analysis of mouse skin tissue using IL6 antibody (2.5 ug/ml)

Immunohistochemical staining of rat skin tissue using anti-IL6 (dilution of primary antibody - 1:200)

IF image of mouse sp20 mouse myeloma cells tissue using anti-IL6 (primary antibody at 1:100)

Immunofluorescence analysis of mouse sp20 mouse myeloma cells tissue using IL6 antibody (dilution of primary antibody - 1:100)

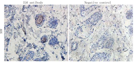
IHC-P staining of mouse lung tissue using IL6 antibody (dilution at 1:200)
风险提示:丁香通仅作为第三方平台,为商家信息发布提供平台空间。用户咨询产品时请注意保护个人信息及财产安全,合理判断,谨慎选购商品,商家和用户对交易行为负责。对于医疗器械类产品,请先查证核实企业经营资质和医疗器械产品注册证情况。
文献和实验该产品被引用文献
Momoka Hikosaka 1, Md Sorwer Alam Parvez # 1 2, Yuki Yamawaki # 1, Souichi Oe 3, Yuan Liang 1 4, Yayoi Wada 1, Yukie Hirahara 3, Taro Koike 3, Hirohiko Imai 5 6, Naoya Oishi 7 8, Sina M Schalbetter 9, Asuka Kumagai 10, Mari Yoshida 11, Takeshi Sakurai 1, Masaaki Kitada 3, Urs Meyer 9, Shuh Narumiya 1, Gen Ohtsuki Maternal immune activation followed by peripubertal stress combinedly produce reactive microglia and confine cerebellar cognition Commun Biol, (2025), Zhu, Jianning et al. Inhibiting inflammation and modulating oxidative stress in oxalate-induced nephrolithiasis with the Nrf2 activator dimethyl fumarate Free Radic Biol Med, 134, (2019), Ghosh, Sayan et al. βA1-crystallin regulates glucose metabolism and mitochondrial function in mouse retinal astrocytes by modulating PTP1B activity Commun Biol, 4, 248 (2021)
技术资料暂无技术资料 索取技术资料
文献支持
IL6 antibody抗体,orb6210,biorbyt
¥3640










