相关产品推荐更多 >
万千商家帮你免费找货
0 人在求购买到急需产品
- 详细信息
- 文献和实验
- 技术资料
- 抗体名:
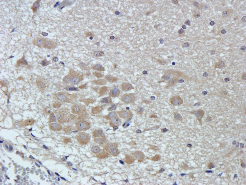
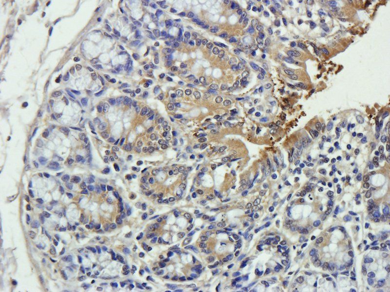
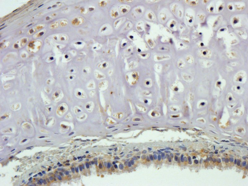
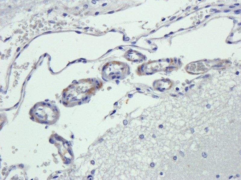
CTGF antibody抗体
- 抗体英文名:
CTGF antibody
- 靶点:
CTGF
- 浓度:
- 100 μg (in 200 μl): 0.5 mg/ml- 200 μg (in 400 μl): 0.5 mg/ml
- 应用范围:
ELISA, IHC-P, WB
- 宿主:
Rabbit
- 适应物种:
Human, Mouse, Rat
- 保质期:
6-12个月
- 抗原来源:
详询
- 目录编号:
orb10474
- 级别:
科研级
- 库存:
88
- 供应商:
biorbyt
- 标记物:
Unconjugated
- 克隆性:
Polyclonal
- 形态:
10 mM PBS, 0.02% sodium azide
- 亚型:
IgG
- 免疫原:
KLH conjugated synthetic peptide derived from human CTGF. Please contact us for the exact immunogen sequence. The peptide is available as orb374719.
- 规格:
100 ug
别名:anti-CCN2 antibody, anti-CTGF antibody, anti-HCS24 antibody, anti-Hypertrophic chondrocyte specific protein 24 antibody, anti-Hypertrophic chondrocyte-specific gene product 24 antibody, anti-IGFBP8 antibody, anti-MGC102839 antibody
免疫原:KLH conjugated synthetic peptide derived from human CTGF. Please contact us for the exact 免疫原 sequence. The peptide is available as orb374719.
分子量:36 kDa
应用稀释比例:WB: 1:100-500, IHC-P: 1:100-800 (based on 0.5 mg/ml)
纯度:Polyclonal antibodies are purified by peptide affinity chromatography
保存说明:Maintain refrigerated at 2-8°C for up to 2 weeks. For long term storage store at -20°C in small aliquots to prevent freeze-thaw cycles.
NCBI:11, 001901, 001892, 21
Entrez:1490
UniProt ID:P29268, Q5M8T4
Note:For research use only.






风险提示:丁香通仅作为第三方平台,为商家信息发布提供平台空间。用户咨询产品时请注意保护个人信息及财产安全,合理判断,谨慎选购商品,商家和用户对交易行为负责。对于医疗器械类产品,请先查证核实企业经营资质和医疗器械产品注册证情况。
文献和实验上海西唐生物科技有限公司 021-55229872, 65333639 www.westang.com 小鼠结缔组织生长因子 ( CTGF )ELISA 试剂盒 ( 用于血清、血浆、细胞培养上清液和其它生物体液内 ) 原理 本实验采用双抗体夹心 ABC-ELISA 法。用抗小鼠 CTGF 单抗包被于酶标板上,标准品和样品中的 CTGF与单抗结合,加入生物素化的抗小鼠
人结缔组织生长因子( CTGF ) 酶联免疫分析( ELISA ) 试剂盒使用说明书 本试剂仅供研究使用 目的:本试剂盒用于测定人血清,血浆及相关液体样本中 结缔组织生长因子(CTGF ) 的 含量。 实验原理: 本试剂盒应用双抗体夹心法测定标本中 人结缔组织生长因子 ( CTGF ) 水平。用纯化的 人结缔组织生长因子 ( CTGF ) 抗体包被微孔板,制成固相抗体,往包被单抗的微孔
兔 结缔组织生长因子(CTGF ) 酶联免疫 分析( ELISA ) 试剂 盒使用说明书 本试剂仅供研究使用 目的:本试剂盒用于测定兔血清,血浆及相关液体样本中 结缔组织生长因子(CTGF) 的 含量。 实验原理 : 本试剂盒应用双抗体夹心法测定 标本 中 兔 结缔组织生长因子 (CTGF ) 水平。用纯化的 兔 结缔组织生长因子 (CTGF ) 抗体包被微孔板,制成固相抗体,往包被单抗的微孔中依次加入 结缔
技术资料暂无技术资料 索取技术资料










