研选同类产品更多 >
万千商家帮你免费找货
0 人在求购买到急需产品
- 详细信息
- 用户评价
- 文献和实验
- 技术资料
- 抗体名:
8-OHdG (DNA/RNA Damage) antibody
- 抗体英文名:
8-OHdG (DNA/RNA Damage) antibody
- 靶点:
8-OHdG (DNA/RNA Damage)
- 浓度:
1mg/ml
- 应用范围:
ELISA, FC, ICC, IF, IHC-Fr, IHC-P, WB
- 宿主:
Rabbit
- 适应物种:
Human
- 保质期:
6-12个月
- 抗原来源:
详询
- 目录编号:
orb10011
- 级别:
科研
- 库存:
99
- 供应商:
Biorbyt
- 标记物:
Unconjugated
- 克隆性:
Polyclonal
- 保存条件:
低温
- 形态:
Liquid
- 亚型:
IgG
- 免疫原:
KLH conjugated 8-OHdG
- 规格:
50 ul
产品名:8-Hydroxy-2-deoxyguanosine antibody
货号:orb10011
产品中文名:8-Hydroxy-2-deoxyguanosine 抗体
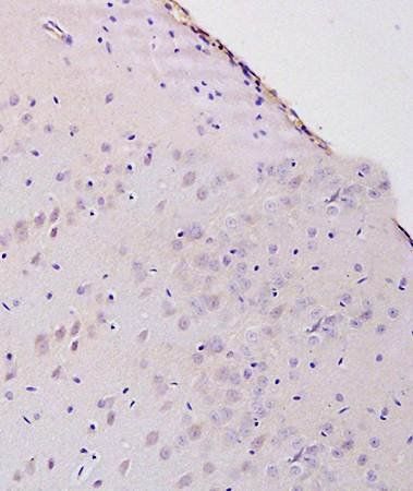
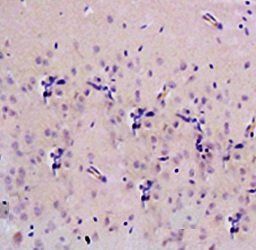
IHC-P of rat brain tissue(Normal)(8-Hydroxy-2-deoxyguanosine antibody at 1:300)
武汉博欧特生物科技有限公司为英国品牌Biorbyt中国办事处,即biorbyt中国总代理,即biorbyt总代。负责biorbyt品牌产品在中 国市场的推广、销售及售后服务。为您提供各种biorbyt原装进口产品,主推四 大类:
一. 抗体(antibody):24万种的一抗。 可应用于Western blot,IP,IHC,IF,FACS,ELISA等实验。
二. 蛋白(protien):3.6万种的高纯度蛋白 。
三. elisa试剂盒(elisa kit):可以提 供超过1.5万种的ELISA试剂盒,包括人源,大鼠源,小鼠源等。
四. 小分子(Small Molecules):超过 1.5万种的生物活性小分子,主要包括:拮抗剂、抑制剂、抗生素、天然产物。
所有biorbyt品牌的抗体,蛋白,elisa试剂 盒,小分子等产品国际航空低温运输,货期短,多数产品货期在1~两周,快捷 便利。
我们为研究者们提供免费的专业的售前售中 售后服务,为您的实验保驾护航。
公司对外诚接特色技术外包服务如下:
重组蛋白表达与纯化服务、单克隆抗体定制 服务、多克隆抗体定制服务、免疫学检测服务、动物实验技术服务。我们为客户 提供详实的生物信息咨询和全方位的可行性分析方案,为您的科研项目保驾护航 。
风险提示:丁香通仅作为第三方平台,为商家信息发布提供平台空间。用户咨询产品时请注意保护个人信息及财产安全,合理判断,谨慎选购商品,商家和用户对交易行为负责。对于医疗器械类产品,请先查证核实企业经营资质和医疗器械产品注册证情况。
用户评价
暂无用户评价
文献和实验. Therefore, immunohistochemical quantification of 8-OHdG would be a valuable tool in determining the extent of oxidative DNA damage caused by ROS. On the other hand, methods analyzing the oxidative damage to the DNA, are not sufficient alone either, since they do not reveal
Electrochemical Detection of 8-Hydroxy-2-Deoxyguanosine Levels in Cellular DNA
(5 ), inflammatory disease (1 ) and carcinogenesis (1 –3 ,6 ). The 8-hydroxy-2-deoxyguanosine lesion (8-OHdG) is often used in the assessment of oxidative DNA damage and has become the de facto marker for oxidative damage to DNA. 8-OHdG
化物质检测等。 美国著名细胞产品公司Cell BioLabs为您提供完备的细胞氧化应激分析解决方案,其产品包含蛋白质羰基化、硝基化损伤及晚期氧化蛋白产物(AOPP)分析,脂质过氧化的标志物壬烯(HNE)和丙二醛(MDA)以及8-异前列腺素F2a快速检测试剂盒,核酸DNA/RNA的常规损伤分析如8-OHdG/8-OHG和AP位点检测,还包括细胞水平的彗星分析和DNA双链断裂分析试剂盒;除此之外,还有多种抗氧化物的活性检测方案供您选择,如过氧化物歧化酶(SOD)、过氧化氢酶 (CAT)及ORAC指标













