相关产品推荐更多 >
万千商家帮你免费找货
0 人在求购买到急需产品
- 详细信息
- 文献和实验
- 技术资料
- 抗体名:
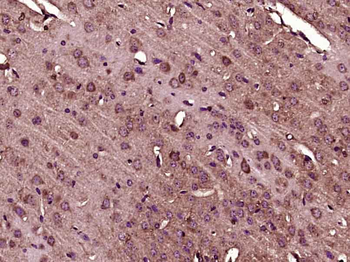
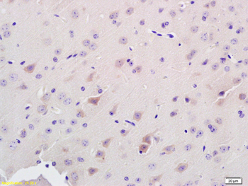
ADAMTS7 (NT) Rabbit Polyclonal Antibody抗体
- 抗体英文名:
ADAMTS7 (NT) Rabbit Polyclonal Antibody
- 靶点:
ADAMTS7
- 浓度:
1mg/ml
- 应用范围:
IF, IHC-Fr, IHC-P, WB
- 宿主:
Rabbit
- 适应物种:
Mouse, Rat
- 保质期:
6-12个月
- 抗原来源:
详询
- 目录编号:
orb10042
- 级别:
科研级
- 库存:
88
- 供应商:
biorbyt
- 标记物:
Unconjugated
- 克隆性:
Polyclonal
- 形态:
Liquid
- 亚型:
IgG
- 免疫原:
KLH conjugated synthetic peptide derived from human ADAMTS7 (241-340/1595aa)
- 规格:
50 ul
别名:A disintegrin and metalloproteinase with thrombospondin motifs 7; ADAM metallopeptidase with thrombospondin type 1 motif 7; A disintegrin and metalloprotease with thrombospondin motifs 7 preproprotein; A disintegrin and metalloproteinase with thrombospondin motifs 7; A disintegrin like and metalloprotease(reprolysin type) with thrombospondin type 1 motif 7; A disintegrin like and metalloprotease with thrombospondin type 1 motif 7; ADAM metallopeptidase with thrombospondin type 1 motif 7; ADAM metallopeptidase with thrombospondin type 1 motif 7 preproprotein; ADAM TS 7; ADAM TS7; ADAMTS 7; ADAMTS7; COMPase; DKFZp434H204; ATS7_MOUSE.
免疫原:KLH conjugated synthetic peptide derived from human ADAMTS7 (241-340/1595aa)
预测反应性:Human
分子量:158 kDa
应用稀释比例:WB=1:500-2000, IHC-P=1:100-500, IHC-F=1:100-500, IF=1:100-500
防腐剂:0.01M TBS (pH7.4) with 1% rAlbumin, 0.02% Proclin300 and 50% Glycerol.
纯化:Affinity purified by Protein A
保存说明:Maintain refrigerated at 2-8°C for up to 2 weeks. For long term storage store at -20°C in small aliquots to prevent freeze-thaw cycles.
Pubmed:25133350
UniProt ID:Q6P7J9
Note:For research use only.




风险提示:丁香通仅作为第三方平台,为商家信息发布提供平台空间。用户咨询产品时请注意保护个人信息及财产安全,合理判断,谨慎选购商品,商家和用户对交易行为负责。对于医疗器械类产品,请先查证核实企业经营资质和医疗器械产品注册证情况。
文献和实验Fluorescent in situ Hybridization Combined with Immunostaining on Polytene Chromosomes
. for most rabbit polyclonal antibodies, dilutions are usually between 1:30 and 1:500). Cover with coverslip and incubate overnight at 40°C in a humid chamber; After the overnight incubation, rinse 2x5 minutes in PBS 5 minutes at RT; Wash 15 minutes
-rabbit serum 羊抗兔血清 GCA gastrin cell antibody 胃泌素细胞抗体 GFAP glial fibrillary acidic protein 胶质纤维酸性蛋白 GFL green fluorescence 绿色荧光 GH growth hormone 生素激素 GLAD gold-labelled antigen detection method 金标抗原检测法 GMA glycol methacrylate
技术资料暂无技术资料 索取技术资料









