相关产品推荐更多 >
万千商家帮你免费找货
0 人在求购买到急需产品
- 详细信息
- 文献和实验
- 技术资料
- 抗体名:
TGF beta 1 antibody抗体
- 抗体英文名:
TGF beta 1 antibody
- 靶点:
TGF beta 1
- 浓度:
- 100 μg (in 200 μl): 0.5 mg/ml- 200 μg (in 400 μl): 0.5 mg/ml
- 应用范围:
ELISA, ICC, IF, IHC-P, WB
- 宿主:
Rabbit
- 保质期:
6-12个月
- 抗原来源:
详询
- 目录编号:
orb11468
- 级别:
科研级
- 库存:
88
- 供应商:
biorbyt
- 标记物:
Unconjugated
- 克隆性:
Polyclonal
- 形态:
10 mM PBS, 0.02% sodium azide
- 亚型:
IgG
- 免疫原:
KLH conjugated synthetic peptide derived from human TGF beta 1. Please contact us for the exact immunogen sequence. The peptide is available as orb374750.
- 规格:
15 ug
产品描述:TGF beta 1 antibody
别名:anti-beta 1a antibody, anti-Camurati Engelmann disease antibody, anti-CED antibody, anti-Diaphyseal dysplasia 1 progressive antibody, anti-DPD1 antibody, anti-LAP antibody, anti-Latency-associated peptide antibody, anti-TGFB antibody, anti-Tgfb-1 antibody, anti-TGFbeta antibody, anti-TGF-beta1 antibody, anti-TGF-beta-5 antibody, anti-Transforming growth factor antibody, anti-Transforming Growth Factor beta 1 antibody, anti-TGFB1 antibody
免疫原:KLH conjugated synthetic peptide derived from human TGF beta 1. Please contact us for the exact 免疫原 sequence. The peptide is available as orb374750.
分子量:44 kDa
应用稀释比例:WB: 2μg/ml, IF/ICC: 1:500, IHC-P:1:400 - 800 (based on 0.5 mg/ml)
应用注释:This antibody can be used for WB, the correct bands. Predicted weight: 45-50 kDa Tested weight: 50kDa
纯度:Polyclonal antibodies are purified by peptide affinity chromatography
保存说明:Maintain refrigerated at 2-8°C for up to 2 weeks. For long term storage store at -20°C in small aliquots to prevent freeze-thaw cycles.
Pubmed:35509267, 39243827, 40638418, 40751072, 26261504
NCBI:000651, 41, 000660, 31
Entrez:7040
UniProt ID:P01137, P17246, P04202
Note:For research use only.










别名:anti-beta 1a antibody, anti-Camurati Engelmann disease antibody, anti-CED antibody, anti-Diaphyseal dysplasia 1 progressive antibody, anti-DPD1 antibody, anti-LAP antibody, anti-Latency-associated peptide antibody, anti-TGFB antibody, anti-Tgfb-1 antibody, anti-TGFbeta antibody, anti-TGF-beta1 antibody, anti-TGF-beta-5 antibody, anti-Transforming growth factor antibody, anti-Transforming Growth Factor beta 1 antibody, anti-TGFB1 antibody
免疫原:KLH conjugated synthetic peptide derived from human TGF beta 1. Please contact us for the exact 免疫原 sequence. The peptide is available as orb374750.
分子量:44 kDa
应用稀释比例:WB: 2μg/ml, IF/ICC: 1:500, IHC-P:1:400 - 800 (based on 0.5 mg/ml)
应用注释:This antibody can be used for WB, the correct bands. Predicted weight: 45-50 kDa Tested weight: 50kDa
纯度:Polyclonal antibodies are purified by peptide affinity chromatography
保存说明:Maintain refrigerated at 2-8°C for up to 2 weeks. For long term storage store at -20°C in small aliquots to prevent freeze-thaw cycles.
Pubmed:35509267, 39243827, 40638418, 40751072, 26261504
NCBI:000651, 41, 000660, 31
Entrez:7040
UniProt ID:P01137, P17246, P04202
Note:For research use only.

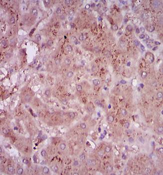
Immunohistochemical analysis of paraffin-embedded human liver tissue using tgf-beta antibody(5ug/ml)

Western blot analysis of Rat heart (lane 1), Rat liver (lane 2), Rat brain (lane 3), Rat kidney (lane 4), Mouse large intestine (lane 5) TGF beta 1 antibody dilution of primary antibody - (2 ug/ml)

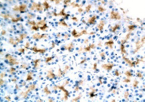
Rat kidney cells expressing TGF beta 1 (IHC-p with DAB as chromogen)

IHC-P image of mouse skin tissue using TGF beta 1 antibody (dilution of primary antibody at 1:600)

Immunohistochemical staining of mouse skin tissue using TGF beta 1 antibody (dilution of primary antibody - 1:300)

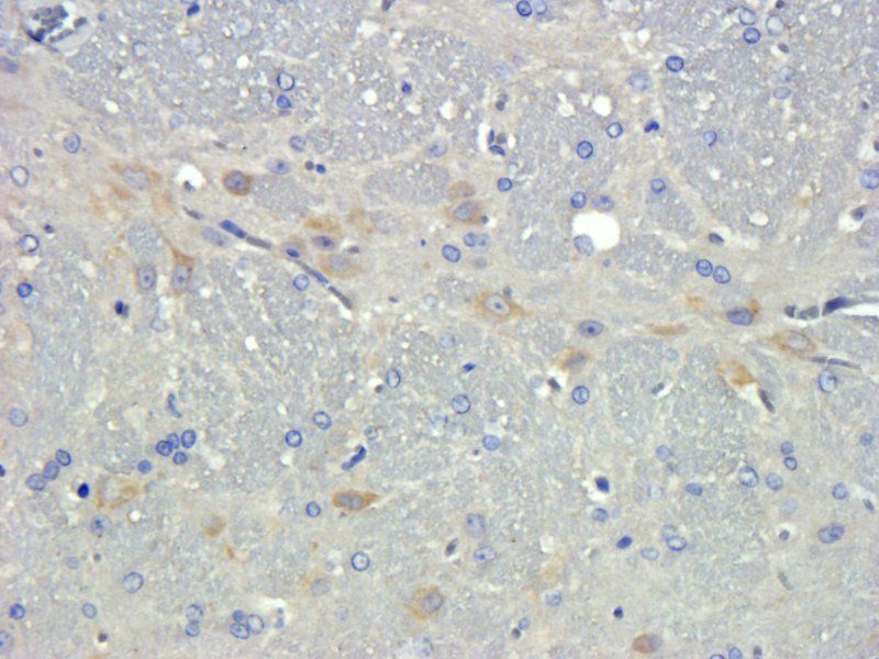
IHC-P image of rat brain tissue using TGF beta 1 antibody (dilution of primary antibody at 1:300)

Immunohistochemical staining of pig large intestines tissue using anti-TGF beta 1 (dilution of primary antibody - 1:300)

IF analysis of mouse skin tissue using anti-TGF beta 1 (dilution of primary antibody at 1:500)

IF analysis of mouse skin tissue using TGF beta 1 antibody (dilution of primary antibody at 1:500)

IHC-P image of rat brain tissue using anti-TGF beta 1 (dilution of primary antibody at 1:300)
风险提示:丁香通仅作为第三方平台,为商家信息发布提供平台空间。用户咨询产品时请注意保护个人信息及财产安全,合理判断,谨慎选购商品,商家和用户对交易行为负责。对于医疗器械类产品,请先查证核实企业经营资质和医疗器械产品注册证情况。
文献和实验该产品被引用文献
Xu, Ji-Hua et al. Bone marrow mesenchymal stem cells alleviate the formation of pathological scars in rats Regen Ther, 20, 86-94 (2022), EwaTomaszewska 1,* , Monika Hułas-Stasiak 2,Siemowit Muszy´nski 4, Piotr Dobrowolski 2, Agnieszka Tomczyk-Warunek 5, Marcin B. Arciszewski 8, Michał ´ Swietlicki 9,1, Małgorzata ´ Swi ˛ atkiewicz 3, Tomasz Blicharski 6,Janine Donaldson 7, Iwona Puzio 1 andJoannaBonior Does Chronic Pancreatitis in Growing Pigs Lead to Articular Cartilage Degradation and Alterations in Subchondral Bone? IJMS, 25, 4 (2024), Yuhui Peng 1, Jian Zhang 1, Ting Zhang 1, Chanjuan Wang 1, Jingdi Bai 2, Yi Li 1, Juanjuan Duan 1, Daogui Fan 1, Wenli Fu 1, Xinming Liang 1, Xin Xie 1, Xiaolan Qi 1, Wei Hong 1, Yan He 1, ChangXue Wu 1, Jing Zhou 1, Pingping Chen 1, Hongmei Zeng 1, Yun Dai 3, Wenfeng Yu 4, Hua Bai 5, Pengxiang Guo 6, Zhu Zeng 7, Qifang Zhang S100A4 mediates the accumulation and functions of myeloid-derived suppressor cells via GP130/JAK2/STAT3 signaling in acute myeloid leukemia Biochim Biophys Acta Mol Basis Dis, (2024), Alexandre Henrique Dos Reis-Prado 1, Isabela Joane Prado Silva 2, Juliana Goto 2, Nathália Evelyn da Silva Machado 2, Gleide Fernandes de Avelar 3, Juliano Douglas Silva Albergaria 3, Raphael Escorsim Szawka 4, Marco Cícero Bottino 5, Luciano Tavares Angelo Cintra 2, Edilson Ervolino 6, Antônio Paulino Ribeiro-Sobrinho 1, Francine Benetti EDTA enhances cementum-like tissue formation, TGF-β1 & VEGF in rat molars during regenerative endodontics Braz Oral Res ., (2025), Melissa Marchese # 1, Gilda La Regina # 1, Rachele Amato 1, Gianmarco Bertoni 1, Jessica Ruzzolini 1, Daniele Martinucci 1, Laura Papucci 1, Silvia Peppicelli 2, Francesca Bianchini The unexplored mechanism of antitumoral effect of pirfenidone in melanoma cells Sci Rep, (2025), K Bugatti, E Ferrini, M Restori, C Bonfini, M Marchese, F Bianchini, S Tomassetti, A Maurizio Antifibrotic Efficacy of a Nintedanib–Peptide Conjugate and Diagnostic Potential of a Fluorescent Companion Probe Targeting αVβ6 Integrin in Idiopathic Pulmonary Fibrosis ACS Pharmacology & Translational Science, (2025), Noor, Neveen A. et al. Nigella sativa amliorates inflammation and demyelination in the experimental autoimmune encephalomyelitis-induced Wistar rats Int J Clin Exp Pathol, 8, 6269-6286 (2015)
技术资料暂无技术资料 索取技术资料
文献支持
TGF beta 1 antibody抗体,orb11468,biorbyt
¥2990










