相关产品推荐更多 >

Rac2 Antibody - C-terminal region : FITC 抗体,orb2098440,Biorbyt
¥8216
ZNF607 Antibody - middle region : FITC 抗体,orb2132449,Biorbyt
¥8216
OLIG3 Antibody - N-terminal region : Biotin 抗体,orb2126392,Biorbyt
¥8216
Mouse Gsk3a Antibody (C-term) 抗体,orb1935434,Biorbyt
¥7293
IFITM1 Rabbit mAb抗体,orb1564750,biorbyt
¥1560
万千商家帮你免费找货
0 人在求购买到急需产品
- 详细信息
- 文献和实验
- 技术资料
- 抗体名:
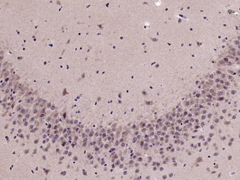
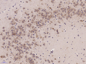
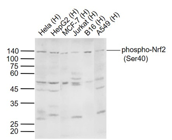
Phospho-Nrf2 (Ser40) Rabbit Polyclonal Antibody抗体
- 抗体英文名:
Phospho-Nrf2 (Ser40) Rabbit Polyclonal Antibody
- 靶点:
NFE2L2
- 浓度:
1mg/ml
- 应用范围:
ICC, WB
- 宿主:
Rabbit
- 适应物种:
Human
- 保质期:
6-12个月
- 抗原来源:
详询
- 目录编号:
orb6544
- 级别:
科研级
- 库存:
88
- 供应商:
biorbyt
- 标记物:
Unconjugated
- 克隆性:
Polyclonal
- 形态:
Liquid
- 亚型:
IgG
- 免疫原:
KLH conjugated Synthesised phosphopeptide derived from human Nrf2 around the phosphorylation site of Ser40 DF(p-S)QR
- 规格:
50 ul
别名:NF2L2_HUMAN; Nuclear factor erythroid 2-related factor 2; NFE2L2; NF-E2-related factor 2; NFE2-related factor 2; Nrf-2; Nrf 2; Nuclear factor, erythroid derived 2, like 2; NFE2L2; NRF2; NFE2 like bZIP transcription factor 2; HEBP1; IMDDHH;
免疫原:KLH conjugated Synthesised phosphopeptide derived from human Nrf2 around the phosphorylation site of Ser40 DF(p-S)QR
预测反应性:Bovine, Canine, Gallus, Mouse, Rat
分子量:68 kDa
应用稀释比例:WB=1:500-2000, ICC/IF=1:100-500
防腐剂:0.01M TBS (pH7.4) with 1% rAlbumin, 0.02% Proclin300 and 50% Glycerol.
纯化:Affinity purified by Protein A
保存说明:Maintain refrigerated at 2-8°C for up to 2 weeks. For long term storage store at -20°C in small aliquots to prevent freeze-thaw cycles.
Pubmed:39312096, 40299297, 40999314, 26363155
UniProt ID:Q16236
Note:For research use only.





风险提示:丁香通仅作为第三方平台,为商家信息发布提供平台空间。用户咨询产品时请注意保护个人信息及财产安全,合理判断,谨慎选购商品,商家和用户对交易行为负责。对于医疗器械类产品,请先查证核实企业经营资质和医疗器械产品注册证情况。
文献和实验Polyclonal Antibody Production
to the pre-bleed, but get at least 20 mL per rabbit, with 40 mL being the upper limit for an adult rabbit (any more and they get anemic). Monitoring of Titer The quality of the antibodies in serum (humoral immune response) of the bleeds
Polyclonal Antibody Production
Polyclonal Antibody Production Very useful for rapid and simple generation of antibodies for western blots, ELISA assays, and immunoprecipitation. Rabbit Immunization Initial Preparation Your antigen
Polyclonal Antibody Production 简单快捷制备多抗方法,可用于western、ELISA和免疫/b
the process for the other rabbits. Injections will be done every 4-6 weeks, with bleeds 7-10 days after each injection. Bleeds are performed identically to the pre-bleed, but obtain at least 20 mL per rabbit, with 40 mL being the upper limit for an adult
技术资料暂无技术资料 索取技术资料






