相关产品推荐更多 >
万千商家帮你免费找货
0 人在求购买到急需产品
- 详细信息
- 技术资料
- 提供商:
晶莱生物
- 服务名称:
前列腺癌类器官
- 规格:
元
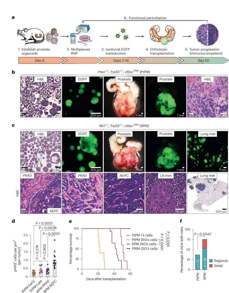
前列腺癌是最常见的男性恶性肿瘤之一,目前对于由前列腺癌向神经内分泌前列腺癌转化的分子机制尚不清晰,亟需一种新的模型解决此困境。近日,科学家升级了研究模型,高度还原了这个转变过程,并发现其中的关键因子ASCL1,相关研究成果刊发在《Nature Cancer》(IF:23.5)上。该研究能更全面、更动态地分析前列腺癌进展过程,利用ASCL1作为潜在靶点,有望开辟前列腺癌治疗新策略。
前列腺是男人特有的器官,与男性生殖功能息息相关,被称为男人的“生命线”。前列腺癌是最常见的男性恶性肿瘤之一,也是全球男性癌症相关死亡的主要原因之一。2015年至2022年间,我国肿瘤登记地区前列腺癌的发病率由10.2/10万上升至18.6/10万,位列男性恶性肿瘤发病率的第6位,已然成为严重危害男性的“健康杀手”。
前列腺癌早期症状较轻,且不易被察觉,被成为“沉默的癌症”。尽管雄激素受体(AR)信号抑制剂改善了患者的生存率,但许多患者仍发展为致死性的转移性去势抵抗性前列腺癌(CRPC),一些肿瘤甚至经历了“谱系可塑性”——一种使肿瘤细胞适应并抵抗治疗的过程。
其中一种特别具有侵袭性且对治疗具有抵抗性的形式是神经内分泌前列腺癌(NEPC),其特征是前列腺腺癌标志物的丧失和神经内分泌特征的出现。由前列腺癌(PRAD)向NEPC转变的分子机制尚不完全清楚,现有的大多数模型未能重现体内肿瘤微环境(TME)或提供对这种谱系转变的全面理解,因此,亟需一种新的体外模型解决此学术困境。

通过将前列腺类器官移植到免疫活性同基因宿主中,快速建立遗传定义的前列腺癌
与传统的类器官培养不同,前列腺癌向NEPC转变需要一个体内微环境,这一复杂的转变过程涉及到肿瘤微环境(tumor microenvironment,TME)的显著变化,包括间充质细胞、浸润性CD8+ T细胞和CD4+调节性T细胞的几乎完全丧失。
使用多路复用空间技术,研究人员检测到从管腔上皮细胞中出现的分离的NE细胞,这些细胞随后进化为完全渗透的NEPC,以及TME内的时间变化,并执行对谱系可塑性程序产生巨大影响的功能扰动。

Ascl1 Dox 诱导体内平台示意图
前列腺癌类器官原代培养:
1、取材与处理
首先,从前列腺癌组织中取材,并迅速将其放入含有组织保存液的取样瓶中。然后将取样瓶快速转运至洁净实验室,进行组织处理和干细胞分离。记得拍照并登记相关信息。
2、准备培养皿
准备若干个培养皿,并加入4℃预冷的前列腺癌类器官培养缓冲液备用。
3、组织处理
对取样瓶进行消毒后,将组织放入培养皿中。利用前列腺癌类器官培养缓冲液清洗三次,然后用眼科剪或手术刀将肿瘤组织剪切成体积约为1~3 mm3的组织块。
4、消化与过滤
将组织用前列腺癌原代组织消化液进行消化,37℃震荡消化10-20分钟。消化过程中随时观察消化情况,并在显微镜下观察消化情况。当观察到较多的单个细胞或70μm以下的细胞簇时,加入三倍体积的宫颈癌类器官培养缓冲液终止消化。
5、离心与铺板
使用100μm孔径的筛网进行过滤,将滤液收集后,于300g富集离心5分钟。移去上清后,添加前列腺癌类器官培养缓冲液重新重悬离心。根据收集到的组织体积,添加25倍组织体积的基质胶重悬铺板。例如,以24孔细胞培养板为例,每孔点胶25ul组织基质胶混合物进行铺板(4℃下操作)。
6、培养与成胶
将铺好的培养板放入37℃培养箱中10-15分钟成胶,然后添加500ul前列腺癌类器官培养基(恢复室温)进行培养。

前列腺癌类器官原代(P0)培养生长过程示例:
D0以单细胞和较小的细胞团为主,在生长至第3天(D3)时可观察到明显的3D细胞球,继续生长至第7天(D7)这些细胞球明显增大,平均直径约100μm。

前列腺癌类器官首次传代后(P1)生长过程示例:
经消化后的类器官在传代培养起始时为单细胞或不规则细胞团块的状态,生长至第6天(D6)可看到3D细胞球克隆,继续生长至第10天(D10)时类器官直径明显增大,约为100-150μm。

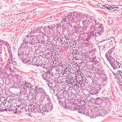
其中细胞核呈现蓝紫色,细胞质和细胞外基质呈现红色。HE染色显示前列腺癌组织和类器官内细胞的细胞核、细胞质颜色,核质比以及细胞排布均近似,提示类器官和来源组织在组织形态上相似。

由图可见在前列腺癌组织含有Ki67(细胞增殖的组化标志物)阳性细胞,前列腺癌类器官Ki67的表达排布类似于前列腺癌组织。

前列腺癌组织和类器官均在管腔外缘显示CK5(基底细胞标记物)阳性,可见建立的类器官存在亲代前列腺癌基底上皮谱系,表明肿瘤组织和对应类器官在前列腺癌组化标志物上的一致性。

晶莱生物服务流程
收费标准/服务周期/提供结果:
欢迎咨询详谈,我们会根据您的方案及需求制定详细的服务协议。
更多实验技术服务请浏览网站其他内容,或来电咨询!
做实验,找晶莱!您的科研生涯,我们一路相伴!
【平台项目开展范围】慢病毒,腺病毒,RNAi类,分子生物实验,病理实验,免疫学实验,细胞实验,动物实验,蛋白组学实验,芯片类实验,并为广大客户朋友们提供课题设计指导、基金申请指导等服务。
【北京公司】北京经济技术开发区科创十三街12号院德为科技园1号楼5层
【长沙公司】长沙市高新区麓谷大道627号新长海中心A1-1203室
【晶莱生物】已开展了数千个实验外包项目。我们专注于医学课题研究,已从课题申请、方案设计、试剂采购、模型构造、标本检测、数据分析,各个环节积累了数千个成功案例经验,为数千个来自临床的科研工作者解决了大量的科研问题。更多相关实验服务信息请咨询晶莱生物。
风险提示:丁香通仅作为第三方平台,为商家信息发布提供平台空间。用户咨询产品时请注意保护个人信息及财产安全,合理判断,谨慎选购商品,商家和用户对交易行为负责。对于医疗器械类产品,请先查证核实企业经营资质和医疗器械产品注册证情况。
技术资料暂无技术资料 索取技术资料










