相关产品推荐更多 >
万千商家帮你免费找货
0 人在求购买到急需产品
- 详细信息
- 文献和实验
- 技术资料
- 免疫原:
Peptide with sequence KTCRKHRKENQGSH, from the internal region of the protein sequence according to NP_000034.1; NP_690610.1; NP_690611.1.
- 亚型:
IgG
- 形态:
Liquid
- 保存条件:
Store as concentrated solution. Centrifuge briefly prior to opening vial. For short-term storage (1-2 weeks), store at 4ºC. For long-term storage, aliquot and store at -20ºC or below. Avoid multiple freeze-thaw cycles.
- 克隆性:
Polyclonal
- 标记物:
Unconjugated
- 适应物种:
Human
- 保质期:
12 months from the shipping date of the product.
- 抗原来源:
Human
- 目录编号:
GTX88349
- 级别:
Primary Antibodies
- 库存:
Available
- 供应商:
GeneTex
- 宿主:
Goat
- 应用范围:
WB, IHC-P
- 浓度:
0.50 mg/ml (Please refer to the vial label for the specific concentration.)
- 靶点:
This antibody is expected to recognize reported isoforms 1 (NP_000034.1), 2 (NP_690610.1) and 3 (NP_690611.1).
- 抗体英文名:
Fas antibody, Internal
- 抗体名:
Fas 抗体, Internal
- 规格:
100 μg
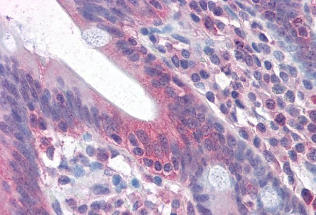
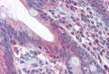
IHC-P analysis of human small intestine using GTX88349 Fas antibody, Internal.
Antigen retrieval : citrate buffer pH 6
Dilution : 3.75μg/ml
WB analysis of Molt-4 cell lysate using GTX88349 Fas antibody, Internal.
Dilution : 0.1μg/ml
Loading : 35μg protein in RIPA buffer
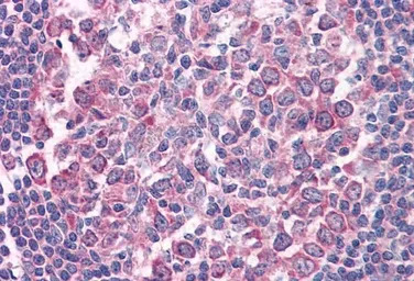
IHC-P analysis of human tonsil using GTX88349 Fas antibody, Internal.
Antigen retrieval : citrate buffer pH 6
风险提示:丁香通仅作为第三方平台,为商家信息发布提供平台空间。用户咨询产品时请注意保护个人信息及财产安全,合理判断,谨慎选购商品,商家和用户对交易行为负责。对于医疗器械类产品,请先查证核实企业经营资质和医疗器械产品注册证情况。
文献和实验an important role in regulation of the immune system. In the method described, hepatoma MH134 (Fas− and FasL− ) is transfected with murine Fas and FasL cDNA. A single administration of monoclonal anti-Fas antibody efficiently suppresses the growth of F6b (MH134
Preparation and Assay of Acetylcholinesterase Antibody
structures mimicking external antigen results from the fact that the conformation of some of the anti-idiotypic antibodies may be complementary to the three-dimensional structure of the binding site of the first antibody, and therefore, represents
Protocol for anti-HA antibody Western Blotting
film for ~2 mins. Notes on the primary antibody: Source : Covance/Babco Description: Crude ascites fluid monoclonal anti-HA antibody (CATLN#135032002, 11mms-101R, 0.5 ml) Handling: Aliquoted into 10ul portions in -20℃ Internal notes: labelled anti
技术资料暂无技术资料 索取技术资料





![ZNF703 antibody [GT372]](https://img1.dxycdn.com/2022/0329/939/3601984045895020453-14.jpg!wh200)
![Lcp1 antibody [HL2501]](https://custom.dxycdn.com/trademd/upload/pic/2013/11/12/A1383891150.jpg!small.t.1)
![Phospholipid scramblase 1 antibody [13A6(TEC-23)]](https://img1.dxycdn.com/2022/0328/494/1070936160117700453-14.jpg!wh200)



