相关产品推荐更多 >
万千商家帮你免费找货
0 人在求购买到急需产品
- 详细信息
- 文献和实验
- 技术资料
- 免疫原:
Recombinant protein encompassing a sequence within the center region of human Glutathione Reductase. The exact sequence is proprietary.
- 亚型:
IgG
- 形态:
Liquid
- 保存条件:
Store as concentrated solution. Centrifuge briefly prior to opening vial. For short-term storage (1-2 weeks), store at 4ºC. For long-term storage, aliquot and store at -20ºC or below. Avoid multiple freeze-thaw cycles.
- 克隆性:
Polyclonal
- 标记物:
Unconjugated
- 适应物种:
Human, Mouse, Rat
- 保质期:
12 months from the shipping date of the product.
- 抗原来源:
Human
- 目录编号:
GTX114199
- 级别:
Primary Antibodies
- 库存:
Available
- 供应商:
GeneTex
- 宿主:
Rabbit
- 应用范围:
WB, IHC-P
- 浓度:
0.7 mg/ml (Please refer to the vial label for the specific concentration.)
- 靶点:
Glutathione Reductase
- 抗体英文名:
Glutathione Reductase antibody [N2C2], Internal
- 抗体名:
Glutathione Reductase 抗体 [N2C2], Internal
- 规格:
100 μl/25 μl
| 规格: | 100 μl | 产品价格: | ¥4000.0 |
|---|---|---|---|
| 规格: | 25 μl | 产品价格: | ¥1700.0 |
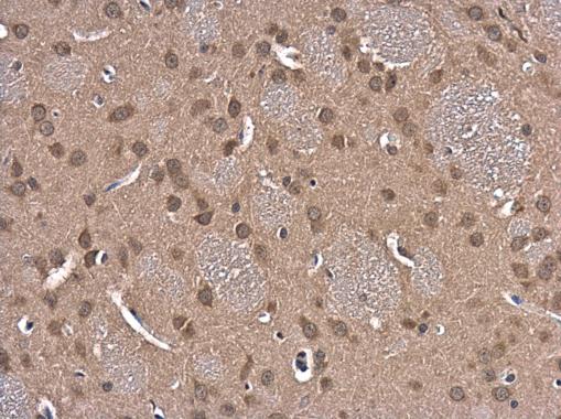
Glutathione reductase antibody [N2C2], Internal detects Glutathione reductase protein at cytoplasm and nucleus in rat brain by immunohistochemical analysis.
Sample: Paraffin-embedded rat brain.
Glutathione reductase antibody [N2C2], Internal (GTX114199) diluted at 1:500.
Antigen Retrieval: Citrate buffer, pH 6.0, 15 min
Whole cell extract (30 μg) was separated by 10% SDS-PAGE, and the membrane was blotted with Glutathione Reductase antibody [N2C2], Internal (GTX114199) diluted at 1:1000. The HRP-conjugated anti-rabbit IgG antibody (GTX213110-01) was used to detect the primary antibody.
Glutathione reductase antibody [N2C2], Internal detects Glutathione reductase protein at cytoplasm and nucleus in rat brain by immunohistochemical analysis.
Sample: Paraffin-embedded rat brain.
Glutathione reductase antibody [N2C2], Internal (GTX114199) diluted at 1:500.
Antigen Retrieval: Citrate buffer, pH 6.0, 15 min
Various whole cell extracts (30 μg) were separated by 10% SDS-PAGE, and the membrane was blotted with Glutathione Reductase antibody (GTX114199) diluted at 1:1000. The HRP-conjugated anti-rabbit IgG antibody (GTX213110-01) was used to detect the primary antibody.
Mouse tissue extract (50 μg) was separated by 10% SDS-PAGE, and the membrane was blotted with Glutathione reductase (GTX114199) diluted at 1:1000. The HRP-conjugated anti-rabbit IgG antibody (GTX213110-01) was used to detect the primary antibody.
Mouse tissue extract (50 μg) was separated by 10% SDS-PAGE, and the membrane was blotted with Glutathione reductase (GTX114199) diluted at 1:1000. The HRP-conjugated anti-rabbit IgG antibody (GTX213110-01) was used to detect the primary antibody.
风险提示:丁香通仅作为第三方平台,为商家信息发布提供平台空间。用户咨询产品时请注意保护个人信息及财产安全,合理判断,谨慎选购商品,商家和用户对交易行为负责。对于医疗器械类产品,请先查证核实企业经营资质和医疗器械产品注册证情况。
文献和实验Zimnol A et al., Am J Physiol Renal Physiol 2017 (PMID:28877878)
Wang YY et al., Head Neck 2017 (PMID:28346709)
Huang CS et al., Biochem Pharmacol 2015 (PMID:25541286)
Chi-Rei Wu et al., Chemico-Biological Interactions 2015 225()
Chou HC et al., Proteome Sci 2014 (PMID:24405781)
Fan CY et al., Electrophoresis 2013 (PMID:24115172)
Pek E et al., J Turk Ger Gynecol Assoc 2020 (PMID:32500677)
Ramos H et al., Antioxidants (Basel) 2020 (PMID:32927585)
Bai X et al., Oxid Med Cell Longev 2019 (PMID:31534619)
Jeongsu Han et al., Oxidative Medicine and Cellular Longevity 2019 2019()
Saudrais E et al., Am J Physiol Cell Physiol 2018 (PMID:29949405)
Maclean KN et al., FASEB J 2017 (PMID:29101223)
secondary antibody review -- data from 99 publications
cytometry used as a control to detect cell responses targeted antigen 7 Alexa Fluor 488 7 Cy3 8 goat IgG Alexa Fluor 488 1:2000 detect antibody binding in human embryonic kidney 293T cells Invitrogen 9 donkey
Measurement of Oxygen Radicals and Lipid Peroxidation in Neural Tissues
of glutathione and the enzymes glutathione peroxidase and glutathione reductase (L = lipid). View Image
[资源] 所有的看家基因(housekeeping genes)列表+引物设计服务
sapiens replication protein A2, 32kDa (RPA2), mRNA 537 NM_004356 Homo sapiens CD81 antigen (target of antiproliferative antibody 1) (CD81), mRNA 3638 NM_001743 Homo sapiens calmodulin 2 (phosphorylase kinase, delta) (CALM2), mRNA 4675 NM_004231
技术资料暂无技术资料 索取技术资料





![MATH1 antibody [C2C3], C-term](https://img1.dxycdn.com/2022/0328/295/0319389984309200453-14.jpg!wh200)

![SNAI1 antibody [6D2]](https://img1.dxycdn.com/2022/0328/581/8933708419882500453-14.jpg!wh200)



