相关产品推荐更多 >
万千商家帮你免费找货
0 人在求购买到急需产品
- 详细信息
- 文献和实验
- 技术资料
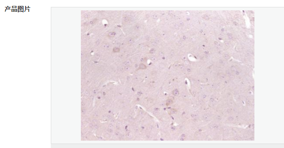
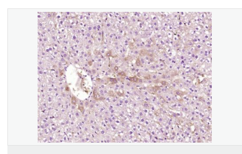
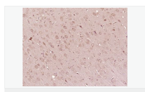
- 适应物种:
Human,Mouse,Rat,Chicken,Pig,
- 应用范围:
IHC-P,
- 抗体英文名:
ATP7B
- 规格:
100ul
| 英文名称 | ATP7B |
| 中文名称 | 铜转运蛋白质β链抗体 |
| 别 名 | ATPase Cu++ transporting beta polypeptide; Copper pump 2; Copper transporting ATPase 2; PWD; Toxic milk; tx; WC1; Wilson disease associated protein; WND. |
| 研究领域 | 细胞生物 激酶和磷酸酶 线粒体 |
| 抗体来源 | Rabbit |
| 克隆类型 | Polyclonal |
| 交叉反应 | Mouse, Rat, (predicted: Human, Chicken, Pig, ) |
| 产品应用 | WB=1:500-2000 ELISA=1:5000-10000 IHC-P=1:100-500 IHC-F=1:100-500 IF=1:100-500 (石蜡切片需做抗原修复) not yet tested in other applications. optimal dilutions/concentrations should be determined by the end user. |
| 分 子 量 | 161kDa |
| 细胞定位 | 细胞浆 细胞膜 线粒体 |
| 性 状 | Liquid |
| 浓 度 | 1mg/ml |
| 免 疫 原 | KLH conjugated synthetic peptide derived from human ATP7B:1351-1465/1465 <Cytoplasmic> |
| 亚 型 | IgG |
| 纯化方法 | affinity purified by Protein A |
| 储 存 液 | 0.01M TBS(pH7.4) with 1% BSA, 0.03% Proclin300 and 50% Glycerol. |
| 保存条件 | Shipped at 4℃. Store at -20 °C for one year. Avoid repeated freeze/thaw cycles. |
| PubMed | PubMed |
| 产品介绍 | ATP7b is an important protein for copper transport and elimination of excess copper from the body. ATP7b transports metals in and out of cells using ATP. There are 3 known isoforms of the ATP7b gene; A is found in the liver, kidney, and brain, the shorter form B is found in brain tissue, and the third isoform, known as WND/140 KDA is found in mitochondria. Mutations in the ATP7b gene can cause Wilson's disease, an inherited disorder causing copper poisoning in the brain and liver. Function: Involved in the export of copper out of the cells, such as the efflux of hepatic copper into the bile. Subunit: Monomer. Interacts with COMMD1/MURR1. Subcellular Location: Golgi apparatus, trans-Golgi network membrane; Multi-pass membrane protein. Isoform 2: Cytoplasm. WND/140 kDa: Mitochondrion. Tissue Specificity: Most abundant in liver and kidney and also found in brain. Isoform 2 is expressed in brain but not in liver. The cleaved form WND/140 kDa is found in liver cell lines and other tissues. Post-translational modifications: Isoform 1 may be proteolytically cleaved at the N-terminus to produce the WND/140 kDa form. DISEASE: Defects in ATP7B are the cause of Wilson disease (WD) [MIM:277900]. WD is an autosomal recessive disorder of copper metabolism in which copper cannot be incorporated into ceruloplasmin in liver, and cannot be excreted from the liver into the bile. Copper accumulates in the liver and subsequently in the brain and kidney. The disease is characterized by neurologic manifestations and signs of cirrhosis. Similarity: Belongs to the cation transport ATPase (P-type) (TC 3.A.3) family. Type IB subfamily. Contains 6 HMA domains. SWISS: P35670 Gene ID: 540 Database links: Entrez Gene: 540 Human Omim: 606882 Human SwissProt: P35670 Human Unigene: 492280 Human Important Note: This product as supplied is intended for research use only, not for use in human, therapeutic or diagnostic applications. 铜转运蛋白质β链是铜转运蛋白质家族中的一种,可调节细胞内铜离子水平的铜转运P型三磷酸腺苷酶,ATP7B是生物体内广泛存在的一种极为重要的细胞膜上的酶,它的功能主要是维持细胞内外的离子及渗透压平衡、跨膜电化学和细胞的能量代谢. |



风险提示:丁香通仅作为第三方平台,为商家信息发布提供平台空间。用户咨询产品时请注意保护个人信息及财产安全,合理判断,谨慎选购商品,商家和用户对交易行为负责。对于医疗器械类产品,请先查证核实企业经营资质和医疗器械产品注册证情况。
文献和实验特异性使免疫测定能在一非常复杂的蛋白质化合物(例如血清)中测定某一特定的物质,而不需先分离待检物。 但是这种特异性也不是绝对的。假使两种化合物有着部分相同的结构,在抗原抗体反应中可出现交叉反应。例如:绒毛膜促性腺激素(hCG)和黄体生成激素(LH)均由 α 和 β 两个亚单位组成,其结构的不同处在 β 亚单位,而两者的 α 亚单位是同类的。用 hCG 免疫动物所得的抗血清中含有抗 α-hCG 和抗 β-hCG两种抗体,抗 α-hCG 抗体将与LH中的 α 酶位发生交叉反应。在临床检验中,如用抗 hCG
颜宁团队 2021 首秀+ 2020 年度文章赏析,看大牛如何玩转结构生物学!
的纳米盘嵌入嵌合体的 Cryo-EM 结构分别确定为 3.5Å 和 3.2Å 分辨率。与 HWTX-IV 结合的人 Nav1.7 的结构相比,该结构的总分辨率为 3.2Å,毒素的局部分辨率已从约 6Å 提升到了约 4Å。此解决方案可实现毒素对接的可视化。因此,NaChBac 可以用作膜环境中 GMT 与 Nav 通道之间相互作用的结构研究的便捷替代品。 图片来自:PNAS 5. 首次解析 NPC1/2 复合物结构,揭示胆固醇分子「转运旅程」溶酶体胆固醇的排出需要两种蛋白质 NPC1 和 NPC
DR基因的组合 (2)HLA-DQ亚区:DQ亚区位于DRBl基因和DOB基因之间。有2个DQA基因和3个DQB基因。其中DQA1和DQB1为功能基因,分别编码DQ分子的DQα链和DQβ链。DQA2、DQB2和DQB3是假基因。与DR基因不同,DQA1和DQB1基因均具有高度多态性。 (3)HLA-DP亚区:DP亚区位于IX)A内侧靠近着丝粒方向。有2对DPA和DPB基因。DPAl和DPBl为功能基因,分别编码DP分子的。链和p链,DPA2和DPB2为假基因。 DR、DQ、DP基因因其编码
技术资料暂无技术资料 索取技术资料







