万千商家帮你免费找货
0 人在求购买到急需产品
- 详细信息
- 文献和实验
- 技术资料
- 适应物种:
Human,Mouse,Rat,Dog,Pig,Cow,Horse,Rabbit,Sheep,
- 应用范围:
IHC-P,
- 抗体英文名:
GLRB
- 规格:
100ul
| 英文名称 | GLRB |
| 中文名称 | 甘氨酸受体β/GlyR β抗体 |
| 别 名 | Glycine receptor 58 kDa subunit; Glycine receptor beta; Glycine receptor subunit beta; Glycine receptor, beta subunit; GLRB_HUMAN. |
| 研究领域 | 细胞生物 神经生物学 信号转导 通道蛋白 细胞膜受体 |
| 抗体来源 | Rabbit |
| 克隆类型 | Polyclonal |
| 交叉反应 | Mouse, Rat, (predicted: Human, Dog, Pig, Cow, Horse, Rabbit, Sheep, ) |
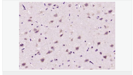
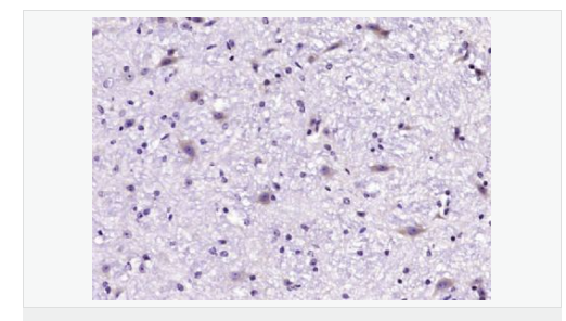
| 产品应用 | WB=1:500-2000 IHC-P=1:100-500 IHC-F=1:100-500 ICC=1:100-500 IF=1:100-500 (石蜡切片需做抗原修复) not yet tested in other applications. optimal dilutions/concentrations should be determined by the end user. |
| 分 子 量 | 54kDa |
| 细胞定位 | 细胞浆 细胞膜 |
| 性 状 | Liquid |
| 浓 度 | 1mg/ml |
| 免 疫 原 | KLH conjugated synthetic peptide derived from human GLRB:51-150/497 <Extracellular> |
| 亚 型 | IgG |
| 纯化方法 | affinity purified by Protein A |
| 储 存 液 | Preservative: 15mM Sodium Azide, Constituents: 1% BSA, 0.01M PBS, pH 7.4 |
| 保存条件 | Shipped at 4℃. Store at -20 °C for one year. Avoid repeated freeze/thaw cycles. |
| PubMed | PubMed |
| 产品介绍 | GLRB (Glycine receptor beta) is a neurotransmitter-gated ion channel concentrated within the spinal cord and brainstem. Expression is also observed in several upper brain regions including the cortex, cerebellum, hippocampus and amygdala. Binding of glycine to GLRB increases the chloride conductance and thus produces hyperpolarization (inhibition of neuronal firing), controlling spinal reflexes and locomotor behavior. Function: The glycine receptor is a neurotransmitter-gated ion channel. Binding of glycine to its receptor increases the chloride conductance and thus produces hyperpolarization (inhibition of neuronal firing). Subunit: Pentamer composed of alpha and beta subunits. Interacts with GPHN Subcellular Location: Plasma membrane; multi-pass membrane protein. DISEASE: Defects in GLRB are the cause of hyperekplexia type 2 (HKPX2) [MIM:614619]. HKPX2 is a neurologic disorder characterized by muscular rigidity of central nervous system origin, particularly in the neonatal period, and by an exaggerated startle response to unexpected acoustic or tactile2 stimuli. Similarity: Belongs to the ligand-gated ion channel (TC 1.A.9) family. Glycine receptor (TC 1.A.9.3) subfamily. GLRB sub-subfamily. SWISS: P48167 Gene ID: 2743 Database links: Entrez Gene: 2743 Human Entrez Gene: 14658 Mouse Omim: 138492 Human SwissProt: P48167 Human SwissProt: P48168 Mouse Unigene: 32973 Human Unigene: 275639 Mouse Important Note: This product as supplied is intended for research use only, not for use in human, therapeutic or diagnostic applications. |
风险提示:丁香通仅作为第三方平台,为商家信息发布提供平台空间。用户咨询产品时请注意保护个人信息及财产安全,合理判断,谨慎选购商品,商家和用户对交易行为负责。对于医疗器械类产品,请先查证核实企业经营资质和医疗器械产品注册证情况。
文献和实验Nature!中美学者共同破译粘附类 GPCR 自激活机制之谜
activation of adhesion GPCRs 工作中,研究者们回答了这一未解谜题。 孙金鹏教授团队解析了粘附类受体 GPR133 和 GPR114 结构,发现 GPR133 GPS 位点发生水解,在质膜上发生 NTF-CTF 分离,GPR114 不发生自水解,能够感知机械力。通过功能实验证明了受体感知机械力后通过 Stachel 序列激活受体,并确定 Stachel 中的 5 个疏水氨基酸组成的保守 HIM(Fss-03xφφφxφss-09),其在 Stachel 序列与受体相互作用中起着核心
同日 4 篇 Nature!中美学者共同破译粘附类 GPCR 自激活机制之谜
水解,在质膜上发生 NTF-CTF 分离,GPR114 不发生自水解,能够感知机械力。通过功能实验证明了受体感知机械力后通过 Stachel 序列激活受体,并确定 Stachel 中的 5 个疏水氨基酸组成的保守 HIM(Fss-03xφφφxφss-09),其在 Stachel 序列与受体相互作用中起着核心作用,对 Stachel 序列介导的粘附类受体机制有了深入了解。同时为 Stachel 序列外源短肽设计提供了依据,为靶向粘附类受体相关疾病的鉴定和治疗奠定了基础。 图 3:GPR133-CTF–
三句话读懂一篇 CNS,NEJM 报道减肥奇药,抑郁症可能通过精子 miRNA 遗传,电刺激修复中风后遗症...
agriculture 的综述文章,对植物中基因组编辑工具的发展和应用进行了系统总结并提出新的发展方向,概述了基于基因组编辑技术的新育种技术的过去、现在以及未来,讨论了基因组编辑技术在促进未来粮食生产时面临的挑战和待解决的问题,为植物育种领域的发展提供了研究亮点。 图 8:来源 Cell 9. Cell:解析甘氨酸受体门控机制 甘氨酸受体广泛分布在突触后的细胞膜上,能介导抑制神经递质的传递,传播抑制信号。 2021 年 2 月 9 日,美国俄勒冈健康科学大学 Eric Gouaux 课题组在 Cell 杂志
技术资料暂无技术资料 索取技术资料






