万千商家帮你免费找货
0 人在求购买到急需产品
- 详细信息
- 文献和实验
- 技术资料
- 适应物种:
Human,Mouse,Rat,Chicken,Dog,Pig,Cow,Horse,
- 应用范围:
IHC-P,
- 抗体英文名:
KLHL7
- 规格:
100ul
| 英文名称 | KLHL7 |
| 中文名称 | kelch样蛋白7抗体 |
| 别 名 | Kelch like protein 7; kelch-like 6; kelch-like 7; kelch/BTB.KLHL7_HUMAN |
| 研究领域 | 肿瘤 免疫学 染色质和核信号 |
| 抗体来源 | Rabbit |
| 克隆类型 | Polyclonal |
| 交叉反应 | Mouse, Rat, (predicted: Human, Chicken, Dog, Pig, Cow, Horse, ) |
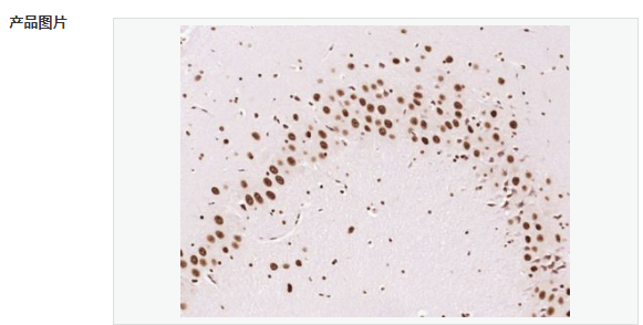
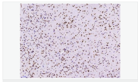
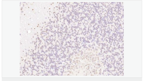
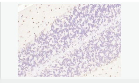
| 产品应用 | ELISA=1:5000-10000 IHC-P=1:100-500 IHC-F=1:100-500 IF=1:100-500 (石蜡切片需做抗原修复) not yet tested in other applications. optimal dilutions/concentrations should be determined by the end user. |
| 分 子 量 | 64kDa |
| 细胞定位 | 细胞核 |
| 性 状 | Liquid |
| 浓 度 | 1mg/ml |
| 免 疫 原 | KLH conjugated synthetic peptide derived from human KLHL7:51-150/856 |
| 亚 型 | IgG |
| 纯化方法 | affinity purified by Protein A |
| 储 存 液 | 0.01M TBS(pH7.4) with 1% BSA, 0.03% Proclin300 and 50% Glycerol. |
| 保存条件 | Shipped at 4℃. Store at -20 °C for one year. Avoid repeated freeze/thaw cycles. |
| PubMed | PubMed |
| 产品介绍 | This gene encodes a BTB-Kelch-related protein. The encoded protein may be involved in protein degradation. Mutations in this gene have been associated with retinitis pigmentosa 42. [provided by RefSeq, Feb 2010]. Function: Substrate-specific adapter of a BCR (BTB-CUL3-RBX1) E3 ubiquitin ligase complex. The BCR(KLHL7) complex acts by mediating ubiquitination and subsequent degradation of substrate proteins. Probably mediates 'Lys-48'-linked ubiquitination. Subunit: Homodimer. Component of the BCR(KLHL7) E3 ubiquitin ligase complex, at least composed of CUL3 and KLHL7 and RBX1. Subcellular Location: Nucleus. Tissue Specificity: Widely expressed, with highest levels in adult and fetal heart, CNS and adult testis. DISEASE: Defects in KLHL7 are the cause of retinitis pigmentosa type 42 (RP42) [MIM:612943]. A retinal dystrophy belonging to the group of pigmentary retinopathies. RP is characterized by retinal pigment deposits visible on fundus examination and primary loss of rod photoreceptor cells followed by secondary loss of cone photoreceptors. Patients typically have night vision blindness and loss of midperipheral visual field. As their condition progresses, they lose their far peripheral visual field and eventually central vision as well. Similarity: Contains 1 BACK (BTB/Kelch associated) domain. Contains 1 BTB (POZ) domain. Contains 6 Kelch repeats. SWISS: Q8IXQ5 Gene ID: 55975 Database links: Entrez Gene: 55975 Human Entrez Gene: 52323 Mouse Omim: 611119 Human SwissProt: Q8IXQ5 Human SwissProt: Q8BUL5 Mouse Important Note: This product as supplied is intended for research use only, not for use in human, therapeutic or diagnostic applications. |





风险提示:丁香通仅作为第三方平台,为商家信息发布提供平台空间。用户咨询产品时请注意保护个人信息及财产安全,合理判断,谨慎选购商品,商家和用户对交易行为负责。对于医疗器械类产品,请先查证核实企业经营资质和医疗器械产品注册证情况。
文献和实验Immunity:厦门大学韩家淮团队揭示 PELO 控制 NOD 样受体家族蛋白寡聚化组装和激活的机制
日,厦门大学细胞应激生物学国家重点实验室、厦门大学生命科学学院、厦门大学医学院韩家淮院士团队在 Immunity 杂志上发表题为 Ribosome-rescuer PELO catalyzes the oligomeric assembly of NOD-like receptor family proteins via activating their ATPase enzymatic activity 的研究论文,报道了核糖体质量控制关键因子 PELO 通过激活 NOD 样受体家族蛋白
,T 和 B 细胞在免疫系统中展现两种不同功能的识别机制。T 细胞识别细胞膜表面 MHC I 或 II 类分子呈递的抗原肽来识别细胞。而 B 细胞没有选择识别机制。近几年,TCR 样抗体研发工作取得较大进展,许多研究团队都具备制作该抗体能力,研发出了许多针对肿瘤和病毒 T 细胞表位的 TCR 样抗体。能够获得被 T 细胞识别的,纯化后自然折叠 MHC-短肽复合物,是 TCR 样抗体制备关键。MHC-短肽复合物可以通过大肠杆菌表达获得。大肠杆菌分别表达 MHC 重链和β-球蛋白,在体外折叠后,与短肽
生理状态或病理状态下蛋白水平的量变,微型化,集成化,高通量化的抗体芯片就是一个非常好的研究工具,它也是蛋白芯片中发展最快的芯片,而且在技术上已经日益成熟。这些抗体芯片有的已经在向临床应用上发展,比如肿瘤标志物抗体芯片等,还有很多已经用在研究的各个领域里。第一张商品化的抗体芯片是由美国BD Clontech公司推出的。这是一张用于研究的抗体芯片,芯片上排列了378种已知蛋白的单抗(Ab Microarray 380,目录号 K1847-1),这些单抗对应的蛋白都是细胞结构和功能上十分重要的蛋白,涉及信号
技术资料暂无技术资料 索取技术资料





