相关产品推荐更多 >
万千商家帮你免费找货
0 人在求购买到急需产品
- 详细信息
- 文献和实验
- 技术资料
- 适应物种:
Human,Mouse,Rat,Dog,Pig,Cow,Horse,Rabbit,
- 应用范围:
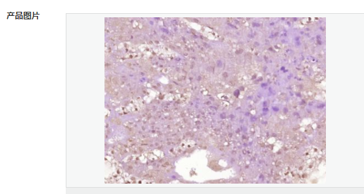
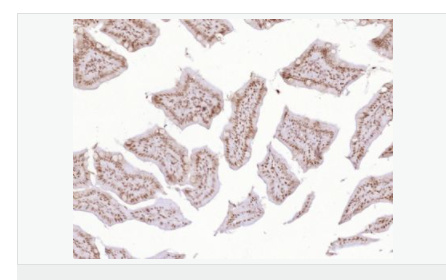
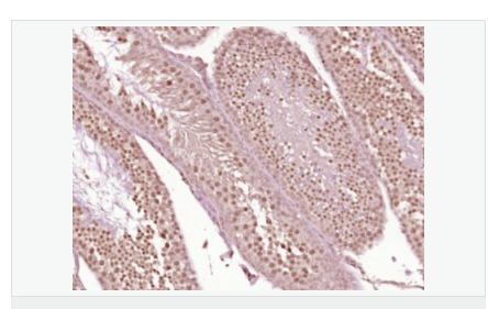
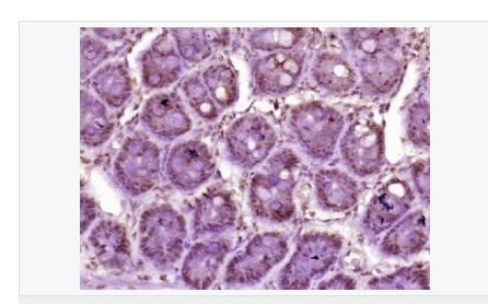
IHC-P,
- 抗体英文名:
phospho-KLF5 (Ser311)
- 规格:
100ul
| 英文名称 | phospho-KLF5 (Ser311) |
| 中文名称 | 磷酸化肠道内富含的Kruppel样因子5抗体 |
| 别 名 | KLF5 (phospho Ser311); KLF5 (phospho S311); Kinesin 5B; Klf5; CKLF; Krueppel-like factor 5; Intestinal-enriched krueppel-like factor; Transcription factor BTEB2; Basic transcription element-binding protein 2; BTE-binding protein 2; Krueppel-like factor 5; KLF5; basic transcription element-binding protein 2;BTEB2; intestine enriched krüppel-like factor; IKLF; Kruppel like factor 5; KLF5_HUMAN. |
| 产品类型 | 磷酸化抗体 |
| 研究领域 | 肿瘤 细胞生物 免疫学 信号转导 转录调节因子 激酶和磷酸酶 |
| 抗体来源 | Rabbit |
| 克隆类型 | Polyclonal |
| 交叉反应 | Mouse, Rat, (predicted: Human, Dog, Pig, Cow, Horse, Rabbit, ) |
| 产品应用 | ELISA=1:5000-10000 IHC-P=1:100-500 IHC-F=1:100-500 IF=1:100-500 (石蜡切片需做抗原修复) not yet tested in other applications. optimal dilutions/concentrations should be determined by the end user. |
| 分 子 量 | 50kDa |
| 细胞定位 | 细胞核 |
| 性 状 | Liquid |
| 浓 度 | 1mg/ml |
| 免 疫 原 | KLH conjugated synthesised phosphopeptide derived from human KLF5 around the phosphorylation site of Ser311:PG(p-S)PD |
| 亚 型 | IgG |
| 纯化方法 | affinity purified by Protein A |
| 储 存 液 | 0.01M TBS(pH7.4) with 1% BSA, 0.03% Proclin300 and 50% Glycerol. |
| 保存条件 | Shipped at 4℃. Store at -20 °C for one year. Avoid repeated freeze/thaw cycles. |
| PubMed | PubMed |
| 产品介绍 | Kinesin 5B; Klf5; CKLF; Krueppel-like factor 5; Intestinal-enriched krueppel-like factor; Transcription factor BTEB2; Basic transcription element-binding protein 2; BTE-binding protein 2; Krueppel-like factor 5; KLF5; basic transcription element-binding protein 2;BTEB2; intestine enriched krüppel-like factor; IKLF; Kruppel like factor 5. Function: Transcription factor that binds to GC box promoter elements. Activates the transcription of these genes. Subunit: Interacts with WWP1. Subcellular Location: Nucleus. Tissue Specificity: Expressed only in testis and placenta. Post-translational modifications: Ubiquitinated. Polyubiquitination involves WWP1 and leads to proteasomal degradation of this protein. Similarity: Belongs to the krueppel C2H2-type zinc-finger protein family. Contains 3 C2H2-type zinc fingers. SWISS: Q13887 Gene ID: 688 Database links: Entrez Gene: 688 Human Entrez Gene: 12224 Mouse Omim: 602903 Human SwissProt: Q13887 Human SwissProt: Q9Z0Z7 Mouse Unigene: 508234 Human Unigene: 30262 Mouse Unigene: 8954 Rat Important Note: This product as supplied is intended for research use only, not for use in human, therapeutic or diagnostic applications. |




风险提示:丁香通仅作为第三方平台,为商家信息发布提供平台空间。用户咨询产品时请注意保护个人信息及财产安全,合理判断,谨慎选购商品,商家和用户对交易行为负责。对于医疗器械类产品,请先查证核实企业经营资质和医疗器械产品注册证情况。
文献和实验吃石榴能抗衰老吗?临床研究表明:石榴的天然代谢产物可提高肌肉力量和运动体能
产物,这种前体很容易获得,在自然界中几乎是无处不在的。常见的富含鞣花酸和鞣花单宁的食物包括石榴、树莓、蓝莓、核桃等。 UA 也已被证明在衰老和疾病的临床前模型中具有诱导损伤线粒体自噬功能。另外,从临床转化的角度来看,久坐的老年人口服 UA 4 周后,能显著增强骨骼肌中线粒体基因的表达,从而达到改善细胞健康的目标。 2022 年 5 月 17 日,来自瑞士的一个科研团队在 Cell Reports Medicine 发表了题为 Urolithin A improves muscle
很容易获得,在自然界中几乎是无处不在的。常见的富含鞣花酸和鞣花单宁的食物包括石榴、树莓、蓝莓、核桃等。 UA 也已被证明在衰老和疾病的临床前模型中具有诱导损伤线粒体自噬功能。另外,从临床转化的角度来看,久坐的老年人口服 UA 4 周后,能显著增强骨骼肌中线粒体基因的表达,从而达到改善细胞健康的目标。 2022 年 5 月 17 日,来自瑞士的一个科研团队在 Cell Reports Medicine 发表了题为 Urolithin A improves muscle strength
Cell Metab:肥胖的元凶或许是免疫稳态的紊乱?来自哈佛的科学家给出了最新的解释
导读肥胖,已经成为威胁人类健康的全球性公共卫生问题,肥胖者容易出现包括 2 型糖尿病(T2D)、心脏病和中风在内的一系列代谢相关的疾病,其中,脂肪组织的慢性、低度炎症,是肥胖相关代谢紊乱的主要驱动因素。瘦人的内脏脂肪组织(Visceral Adipose Tissue, VAT)富含各类免疫细胞,如抗炎巨噬细胞,2 型先天性淋巴样细胞和调节性 T 细胞(Treg),这些细胞可以抑制炎症,以维持组织稳态。但是在肥胖状态下,这种抗炎状态就会被扰乱,导致某些促炎免疫细胞的积累。然而,肥胖是如何使免疫
技术资料暂无技术资料 索取技术资料






