相关产品推荐更多 >
万千商家帮你免费找货
0 人在求购买到急需产品
- 详细信息
- 技术资料
- 保存条件:
Generally, the shelf life of liquid form is 6 months at -20℃/-80℃. The shelf life of lyophilized form is 12 months at -20℃/-80℃.
- 保质期:
6个月
- 英文名:
Mouse Ccl25 protein
- 库存:
99
- 供应商:
biorbyt
- 规格:
20 ug
产品描述:Recombinant Mouse C-C motif chemokine 25(Ccl25),partial
产品别名:Chemokine TECKSmall-inducible cytokine A25Thymus-expressed chemokine
应用笔记:Partial
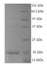
纯度:Greater than 90% as determined by SDS-PAGE.
生物来源:Mus musculus (Mouse)
蛋白序列:GAFEDCCLGYQHRIKWNVLRHARNYHQQEVSGSCNLRAVRFYFRQKVVCGNPEDMNVKRAMRILTARKRLVHWKSASDSQTERKKSNHMKSKVENPNSTSVRSATLGHPRMVMMPRKTNN
分子量:18 kDa
表达区域:25-144aa
标签:N-terminal 6xHis-tagged
防腐剂:If the delivery form is liquid, the default storage buffer is Tris/PBS-based buffer, 5%-50% glycerol. If the delivery form is lyophilized powder, the buffer before lyophilization is Tris/PBS-based buffer, 6% Trehalose, pH 8.0.
来源:E.coli
形态:Liquid or Lyophilized powder
Uniprot ID:O35903
Note:For research use only.

产品别名:Chemokine TECKSmall-inducible cytokine A25Thymus-expressed chemokine
应用笔记:Partial
纯度:Greater than 90% as determined by SDS-PAGE.
生物来源:Mus musculus (Mouse)
蛋白序列:GAFEDCCLGYQHRIKWNVLRHARNYHQQEVSGSCNLRAVRFYFRQKVVCGNPEDMNVKRAMRILTARKRLVHWKSASDSQTERKKSNHMKSKVENPNSTSVRSATLGHPRMVMMPRKTNN
分子量:18 kDa
表达区域:25-144aa
标签:N-terminal 6xHis-tagged
防腐剂:If the delivery form is liquid, the default storage buffer is Tris/PBS-based buffer, 5%-50% glycerol. If the delivery form is lyophilized powder, the buffer before lyophilization is Tris/PBS-based buffer, 6% Trehalose, pH 8.0.
来源:E.coli
形态:Liquid or Lyophilized powder
Uniprot ID:O35903
Note:For research use only.

(Tris-Glycine gel) Discontinuous SDS-PAGE (reduced) with 5% enrichment gel and 15% separation gel.
风险提示:丁香通仅作为第三方平台,为商家信息发布提供平台空间。用户咨询产品时请注意保护个人信息及财产安全,合理判断,谨慎选购商品,商家和用户对交易行为负责。对于医疗器械类产品,请先查证核实企业经营资质和医疗器械产品注册证情况。
技术资料暂无技术资料 索取技术资料
Mouse Ccl25 Protein蛋白,orb603966,biorbyt
¥4680








