相关产品推荐更多 >
万千商家帮你免费找货
0 人在求购买到急需产品
- 详细信息
- 文献和实验
- 技术资料
- 抗体名:
GSK3β(Phospho-Ser9) Rabbit mAb [KD Validated]抗体
- 抗体英文名:
GSK3β(Phospho-Ser9) Rabbit mAb [KD Validated]
- 应用范围:
ICC, IHC, WB
- 宿主:
Rabbit
- 适应物种:
Human
- 保质期:
6-12个月
- 抗原来源:
详询
- 目录编号:
orb1727716
- 级别:
科研级
- 库存:
88
- 供应商:
biorbyt
- 标记物:
Unconjugated
- 克隆性:
Recombinant
- 保存条件:
参考说明书
- 形态:
Rabbit IgG in phosphate buffered saline , pH 7.4, 150mM NaCl, 0.02% sodium azide and 50% glycerol.
- 亚型:
Rabbit IgG
- 免疫原:
A synthesized peptide derived from human Phospho-GSK3 beta (Ser9)
- 规格:
50 ul
产品描述:GSK3B a proline-directed protein kinase of the GSK family. Phosphorylates and inactivates glycogen synthase. Participates in the Wnt signaling pathway. Involved in energy metabolism, neuronal cell development, and body pattern formation.
别名:glycogen synthase kinase 3 beta; GSK-3 beta; GSK3B; GSK3beta isoform;
免疫原:A synthesized peptide derived from human Phospho-GSK3 beta (Ser9)
分子量:46kDa
应用稀释比例:WB:1:5000~1:10000IHC:1:50~1:200ICC/IF:1:50~1:200
纯化:Affinity-chromatography
来源:Recombinant Rabbit
保存说明:Maintain refrigerated at 2-8°C for up to 2 weeks. For long term storage store at -20°C in small aliquots to prevent freeze-thaw cycles.
UniProt ID:P49841
Note:For research use only.




别名:glycogen synthase kinase 3 beta; GSK-3 beta; GSK3B; GSK3beta isoform;
免疫原:A synthesized peptide derived from human Phospho-GSK3 beta (Ser9)
分子量:46kDa
应用稀释比例:WB:1:5000~1:10000IHC:1:50~1:200ICC/IF:1:50~1:200
纯化:Affinity-chromatography
来源:Recombinant Rabbit
保存说明:Maintain refrigerated at 2-8°C for up to 2 weeks. For long term storage store at -20°C in small aliquots to prevent freeze-thaw cycles.
UniProt ID:P49841
Note:For research use only.

All lanes use the Antibody at 1:5K dilution for 1 hour at room temperature.

Immunofluorescent analysis of HeLa cells treated with Calyculin A, using Phospho-GSK3 beta (Ser9) Antibody.

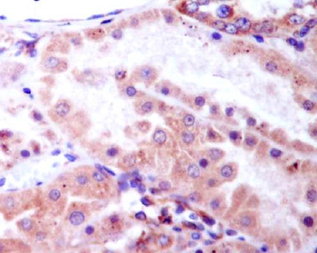
Immunohistochemical analysis of paraffin-embedded human kidney, using Phospho-GSK3 beta (Ser9) Antibody.

Western blot analysis of GSK3 beta (phospho S9) expression in 293T cell lysates, treated with Calyculin A.
风险提示:丁香通仅作为第三方平台,为商家信息发布提供平台空间。用户咨询产品时请注意保护个人信息及财产安全,合理判断,谨慎选购商品,商家和用户对交易行为负责。对于医疗器械类产品,请先查证核实企业经营资质和医疗器械产品注册证情况。
文献和实验相关实验
到 PVDF 膜上,同时减少蛋白不必要降解,这对于最终获得清晰、可信结果也是需要考虑因素。抗体信息:1.ACC1, Recombinant Rabbit monoclonal IgG. HuaAn. HuaAn biotechnology , inc.2.ATGL, Mouse mAb IgG1, Cat#:RT1058. HuaAn biotechnology , inc.3.p-PERK(Thr981), Rabbit Polyclonal IgG primary antibodies, Cat
技术资料暂无技术资料 索取技术资料
GSK3β(Phospho-Ser9) Rabbit mAb [KD Validated]抗体,orb1727716,biorbyt
¥4030











