相关产品推荐更多 >
万千商家帮你免费找货
0 人在求购买到急需产品
- 详细信息
- 技术资料
- 抗体名:
STAT1 (Phospho-Ser727) Rabbit mAb [KD Validated]抗体
- 抗体英文名:
STAT1 (Phospho-Ser727) Rabbit mAb [KD Validated]
- 应用范围:
IHC, WB
- 宿主:
Rabbit
- 适应物种:
Human, Mouse, Rat
- 保质期:
6-12个月
- 抗原来源:
详询
- 目录编号:
orb1727756
- 级别:
科研级
- 库存:
88
- 供应商:
biorbyt
- 标记物:
Unconjugated
- 克隆性:
Recombinant
- 保存条件:
参考说明书
- 形态:
Rabbit IgG in phosphate buffered saline , pH 7.4, 150mM NaCl, 0.02% sodium azide and 50% glycerol.
- 亚型:
Rabbit IgG
- 免疫原:
A synthesized peptide derived from human Phospho-STAT1 (S727)
- 规格:
50 ul
产品描述:The protein encoded by this gene is a member of the STAT protein family. In response to cytokines and growth factors, STAT family members are phosphorylated by the receptor associated kinases, and then form homo- or heterodimers that translocate to the cell nucleus where they act as transcription activators.
别名:Signal transducer and activator of transcription 1; Transcription factor ISGF-3 components p91/p84; STAT1; CANDF7; ISGF3;
免疫原:A synthesized peptide derived from human Phospho-STAT1 (S727)
分子量:87kDa
应用稀释比例:WB:1:1000~1:2000IHC:1:50~1:200
纯化:Affinity-chromatography
来源:Recombinant Rabbit
保存说明:Maintain refrigerated at 2-8°C for up to 2 weeks. For long term storage store at -20°C in small aliquots to prevent freeze-thaw cycles.
UniProt ID:P42224
Note:For research use only.



别名:Signal transducer and activator of transcription 1; Transcription factor ISGF-3 components p91/p84; STAT1; CANDF7; ISGF3;
免疫原:A synthesized peptide derived from human Phospho-STAT1 (S727)
分子量:87kDa
应用稀释比例:WB:1:1000~1:2000IHC:1:50~1:200
纯化:Affinity-chromatography
来源:Recombinant Rabbit
保存说明:Maintain refrigerated at 2-8°C for up to 2 weeks. For long term storage store at -20°C in small aliquots to prevent freeze-thaw cycles.
UniProt ID:P42224
Note:For research use only.

All lanes use the Antibody at 1:1K dilution for 1 hour at room temperature.

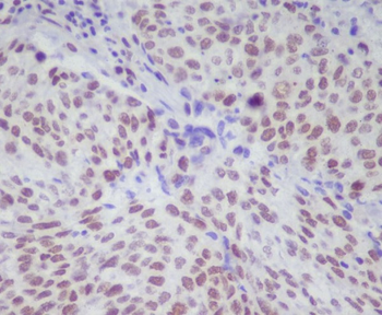
Immunohistochemical analysis of paraffin-embedded human lung cancer, using Phospho-STAT1 (S727) Antibody.

Western blot analysis of Phospho-STAT1 (S727) expression in HeLa cell lysate treated with etoposide.
风险提示:丁香通仅作为第三方平台,为商家信息发布提供平台空间。用户咨询产品时请注意保护个人信息及财产安全,合理判断,谨慎选购商品,商家和用户对交易行为负责。对于医疗器械类产品,请先查证核实企业经营资质和医疗器械产品注册证情况。
技术资料暂无技术资料 索取技术资料
STAT1 (Phospho-Ser727) Rabbit mAb [KD Validated]抗体,orb1727756,biorbyt
¥4030


![STAT1 (Phospho-Ser727) Rabbit mAb [KD Validated]抗体,orb1727756,biorbyt](https://img1.dxycdn.com/p/s14/2025/1208/587/0021103303578387991.jpg)







