相关产品推荐更多 >
万千商家帮你免费找货
0 人在求购买到急需产品
- 详细信息
- 文献和实验
- 技术资料
- 抗体名:
Alkaline Phosphatase Rabbit pAb抗体
- 抗体英文名:
Alkaline Phosphatase Rabbit pAb
- 靶点:
ALPL
- 应用范围:
FC, ICC, IF, IHC-P, IP, WB
- 适应物种:
Human, Mouse, Rat
- 保质期:
6-12个月
- 抗原来源:
详询
- 目录编号:
orb1563120
- 级别:
科研级
- 库存:
88
- 供应商:
biorbyt
- 标记物:
Unconjugated
- 克隆性:
Polyclonal
- 保存条件:
参考说明书
- 形态:
Liquid
- 亚型:
IgG
- 免疫原:
A synthesized peptide derived from human Alkaline Phosphatase
- 规格:
20 ul
产品描述:Alkaline Phosphatase Rabbit pAb
别名:ALPL; Alkaline phosphatase; tissue-nonspecific isozyme; AP-TNAP; TNSALP; Alkaline phosphatase liver/bone/kidney isozyme
免疫原:A synthesized peptide derived from human Alkaline Phosphatase
分子量:Calculated MW: 57 kDa; Observed MW: 75 kDa
应用稀释比例:WB: 1/500-1/1000 IHC: 1/50-1/100 IF: 1/50-1/200 IP: 1/20 FC: 1/50-1/100
防腐剂:50mM Tris-Glycine(pH 7.4), 0.15M NaCl, 40%Glycerol, 0.01% sodium azide and 0.05% rAlbumin.
纯化:Affinity Chromatography
保存说明:Maintain refrigerated at 2-8°C for up to 2 weeks. For long term storage store at -20°C in small aliquots to prevent freeze-thaw cycles.
Pubmed:40138277
UniProt ID:P05186
Note:For research use only.




别名:ALPL; Alkaline phosphatase; tissue-nonspecific isozyme; AP-TNAP; TNSALP; Alkaline phosphatase liver/bone/kidney isozyme
免疫原:A synthesized peptide derived from human Alkaline Phosphatase
分子量:Calculated MW: 57 kDa; Observed MW: 75 kDa
应用稀释比例:WB: 1/500-1/1000 IHC: 1/50-1/100 IF: 1/50-1/200 IP: 1/20 FC: 1/50-1/100
防腐剂:50mM Tris-Glycine(pH 7.4), 0.15M NaCl, 40%Glycerol, 0.01% sodium azide and 0.05% rAlbumin.
纯化:Affinity Chromatography
保存说明:Maintain refrigerated at 2-8°C for up to 2 weeks. For long term storage store at -20°C in small aliquots to prevent freeze-thaw cycles.
Pubmed:40138277
UniProt ID:P05186
Note:For research use only.

Western blot analysis of Alkaline Phosphatase in (1) HepG2 lysates; (2) JAR lysates using Alkaline Phosphatase antibody.

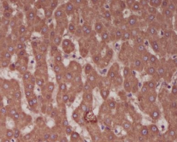
Immunohistochemistry analysis of paraffin-embedded Human liver using Alkaline Phosphatase antibody. High-pressure and temperature Sodium Citrate pH 6.0 was used for antigen retrieval.

Immunofluorescence analysis of Alkaline Phosphatase in Hela using Alkaline Phosphatase antibody.

Western blot analysis of Alkaline Phosphatase in SKOV-3, Jurkat and MCF-7 lysates using Alkaline Phosphatase antibody.
风险提示:丁香通仅作为第三方平台,为商家信息发布提供平台空间。用户咨询产品时请注意保护个人信息及财产安全,合理判断,谨慎选购商品,商家和用户对交易行为负责。对于医疗器械类产品,请先查证核实企业经营资质和医疗器械产品注册证情况。
文献和实验该产品被引用文献
Juliano Milanezi de Almeida 1 2, Halef Diego Turini 1, Henrique Rinaldi Matheus 1 2 3, Otávio Augusto Pacheco Vitória 1 2, Bianca Rafaeli Piovezan 1 2, Ruan Henrique Barra Dalmonica 1 2, Elisa Mara de Abreu Furquim 1 2, Edilson Ervolino Omega-3 attenuates the severity of medication-related osteonecrosis of the jaws in rats treated with zoledronate PLoS One, (2025)
技术资料暂无技术资料 索取技术资料
文献支持
Alkaline Phosphatase Rabbit pAb抗体,orb1563120,biorbyt
¥1560










