相关产品推荐更多 >
万千商家帮你免费找货
0 人在求购买到急需产品
- 详细信息
- 技术资料
- 抗体名:
CD45 Mouse mAb抗体
- 抗体英文名:
CD45 Mouse mAb
- 靶点:
PTPRC
- 浓度:
1 mg/ml
- 应用范围:
IHC-P, WB
- 适应物种:
Human, Mouse
- 保质期:
6-12个月
- 抗原来源:
详询
- 目录编号:
orb1563134
- 级别:
科研级
- 库存:
88
- 供应商:
biorbyt
- 标记物:
Unconjugated
- 克隆性:
Monoclonal
- 保存条件:
参考说明书
- 形态:
Liquid
- 亚型:
IgG1
- 免疫原:
Purified recombinant fragment of human PTPRC expressed in E. Coli.
- 规格:
20 ul
产品描述:CD45 Mouse mAb
别名:PTPRC; CD45; Receptor-type tyrosine-protein phosphatase C; Leukocyte common antigen; L-CA; T200; CD antigen CD45
免疫原:Purified recombinant fragment of human PTPRC expressed in E. Coli.
克隆性:5D3A3
分子量:Calculated MW: 147 kDa; Observed MW: 180-240kDa
应用稀释比例:WB: 1/500-1/1000 IHC: 1/50-1/100
防腐剂:Liquid in PBS containing 50% glycerol, 0.5% rAlbumin and 0.02% sodium azide, pH 7.3.
纯化:Affinity Purified
保存说明:Maintain refrigerated at 2-8°C for up to 2 weeks. For long term storage store at -20°C in small aliquots to prevent freeze-thaw cycles.
UniProt ID:P08575
Note:For research use only.



别名:PTPRC; CD45; Receptor-type tyrosine-protein phosphatase C; Leukocyte common antigen; L-CA; T200; CD antigen CD45
免疫原:Purified recombinant fragment of human PTPRC expressed in E. Coli.
克隆性:5D3A3
分子量:Calculated MW: 147 kDa; Observed MW: 180-240kDa
应用稀释比例:WB: 1/500-1/1000 IHC: 1/50-1/100
防腐剂:Liquid in PBS containing 50% glycerol, 0.5% rAlbumin and 0.02% sodium azide, pH 7.3.
纯化:Affinity Purified
保存说明:Maintain refrigerated at 2-8°C for up to 2 weeks. For long term storage store at -20°C in small aliquots to prevent freeze-thaw cycles.
UniProt ID:P08575
Note:For research use only.

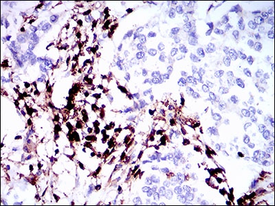
Immunohistochemistry analysis of paraffin-embedded breast cancer tissues using PTPRC antibody with DAB staining.High-pressure and temperature Sodium Citrate pH 6.0 was used for antigen retrieval.

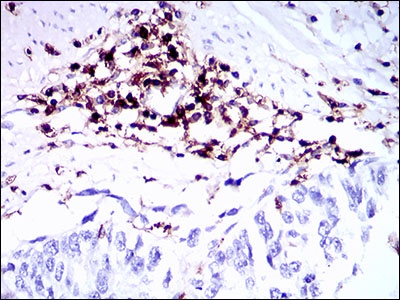
Immunohistochemistry analysis of paraffin-embedded esophageal cancer tissues using PTPRC antibody with DAB staining.High-pressure and temperature Sodium Citrate pH 6.0 was used for antigen retrieval.

Western blot analysis of PTPRC antibody in Ramos, Raw264.7 lysates using PTPRC antibody.
风险提示:丁香通仅作为第三方平台,为商家信息发布提供平台空间。用户咨询产品时请注意保护个人信息及财产安全,合理判断,谨慎选购商品,商家和用户对交易行为负责。对于医疗器械类产品,请先查证核实企业经营资质和医疗器械产品注册证情况。
技术资料暂无技术资料 索取技术资料
CD45 Mouse mAb抗体,orb1563134,biorbyt
¥1560







![IL3 Receptor beta antibody [N1N3] 抗体,orb1741807,Biorbyt](https://img1.dxycdn.com/p/s14/2024/0315/016/4830021017478748671.jpg!wh200)


